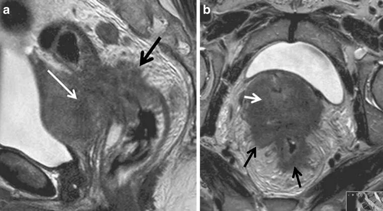
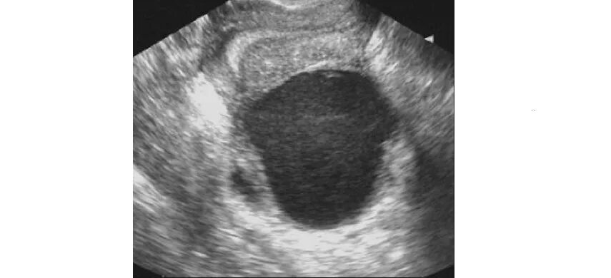
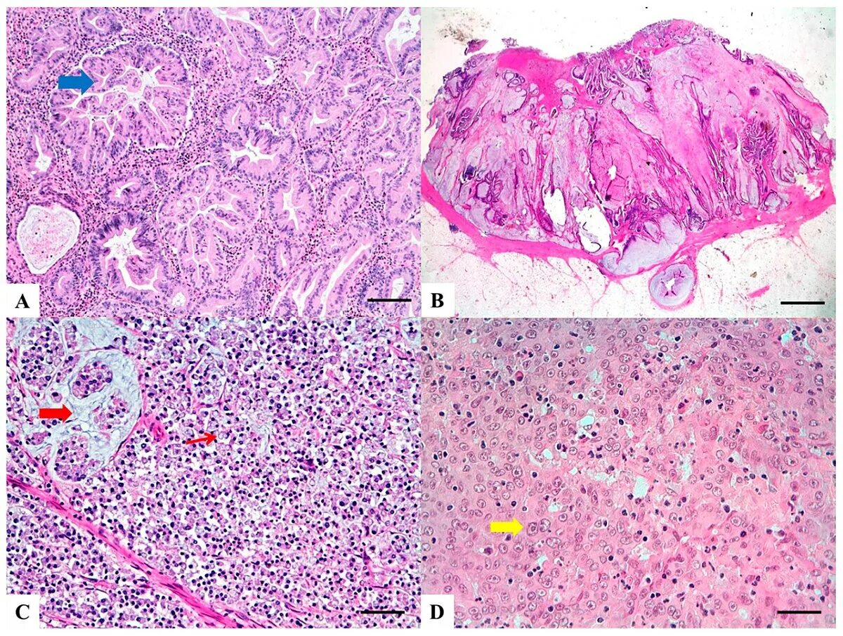
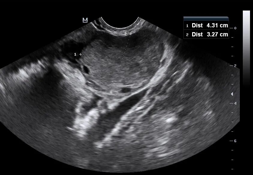
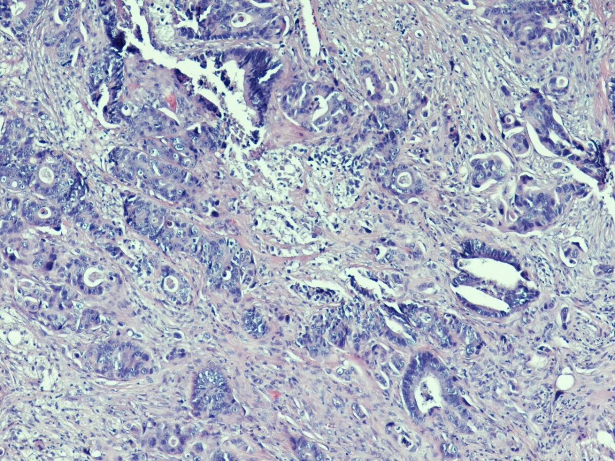
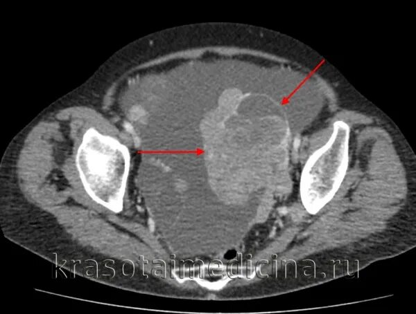
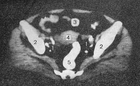
Метастазы в матке