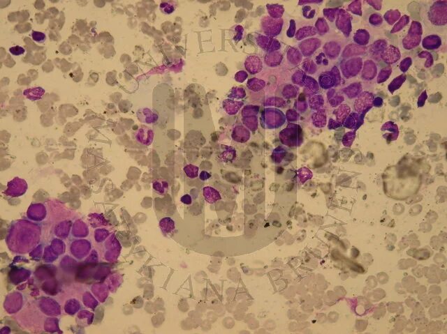
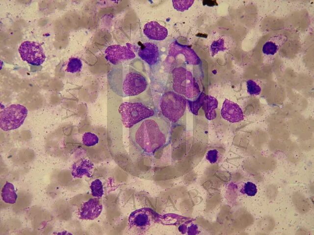
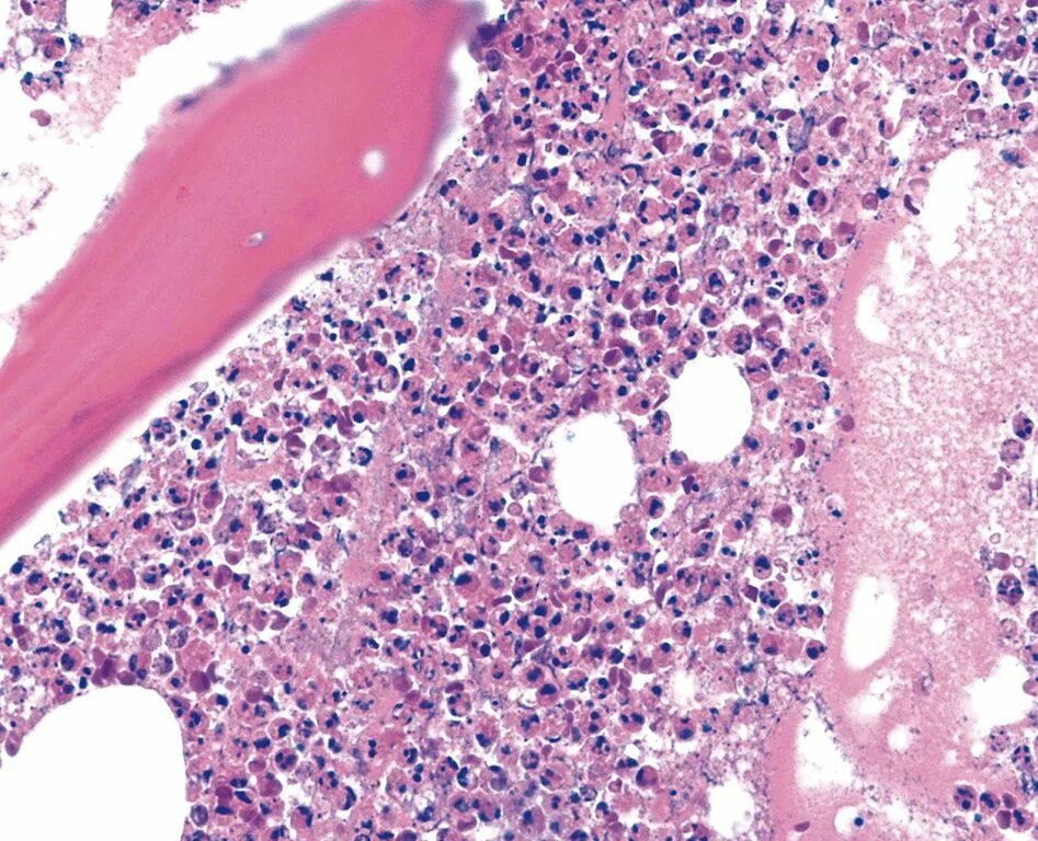
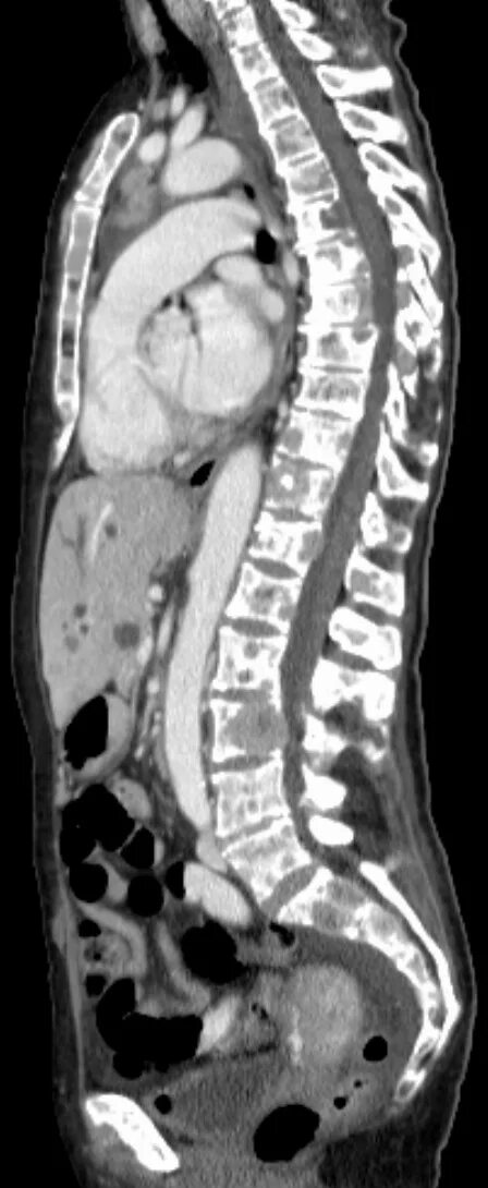
Метастазы в костном мозге