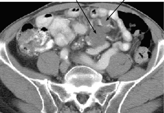
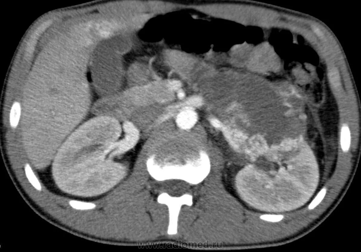
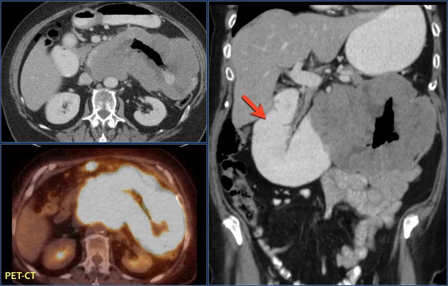
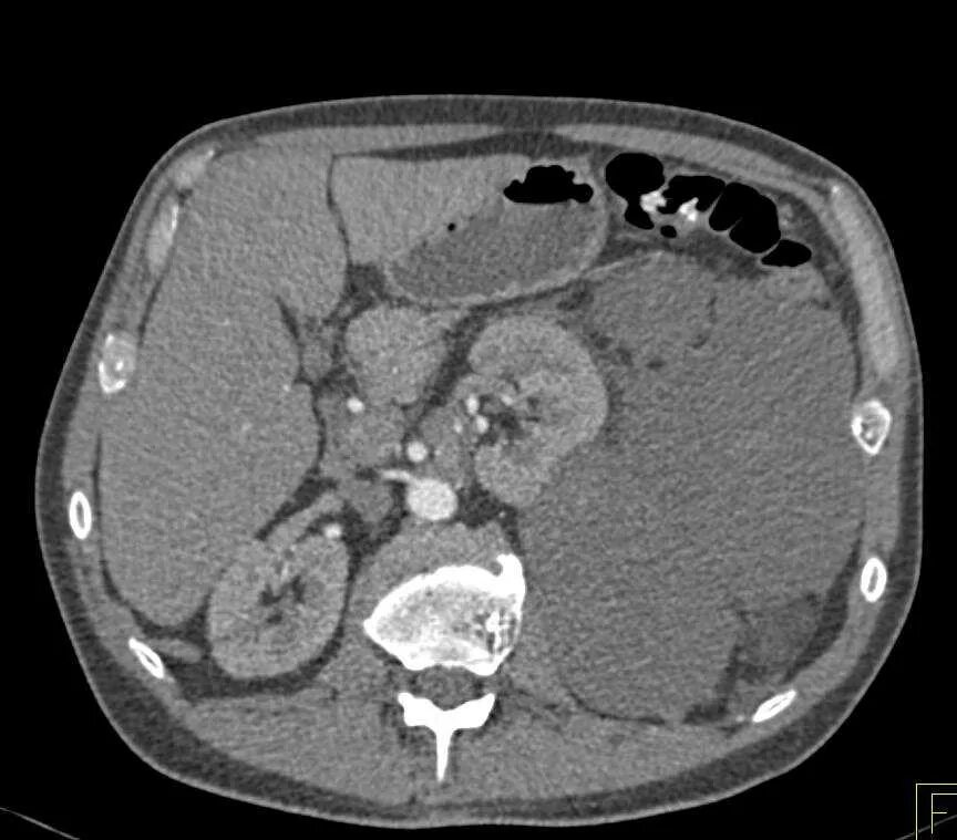
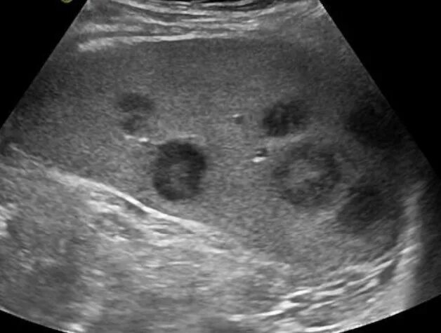
Метастазы при лимфоме