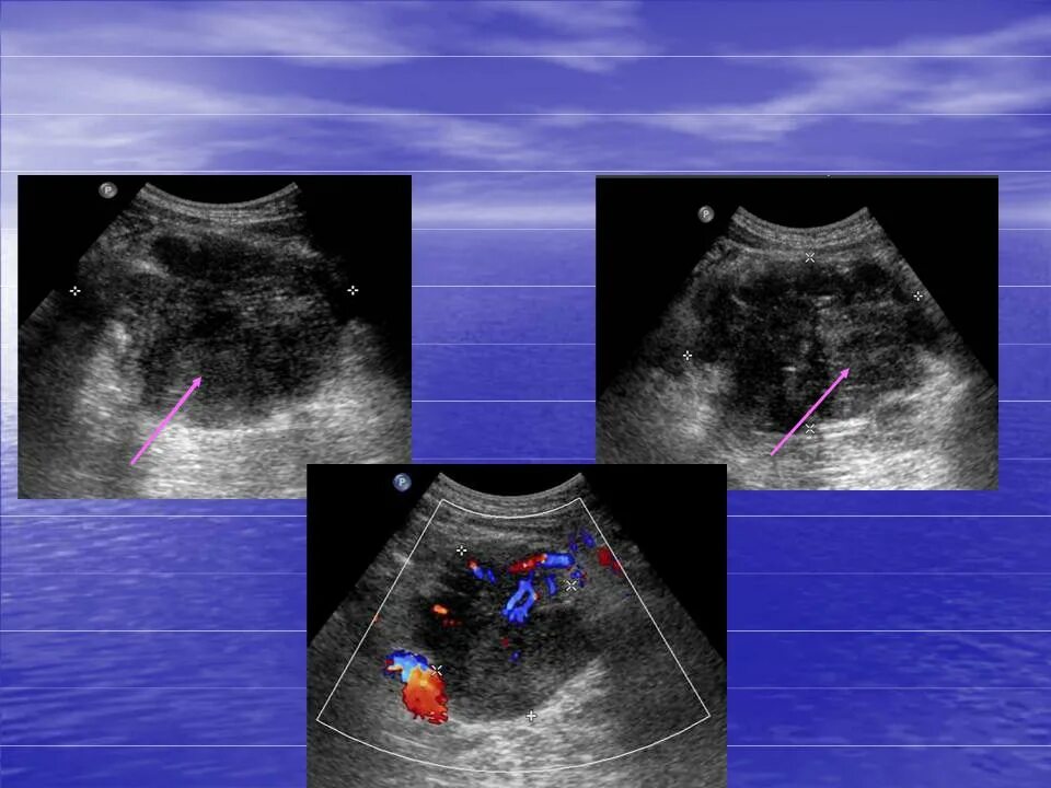
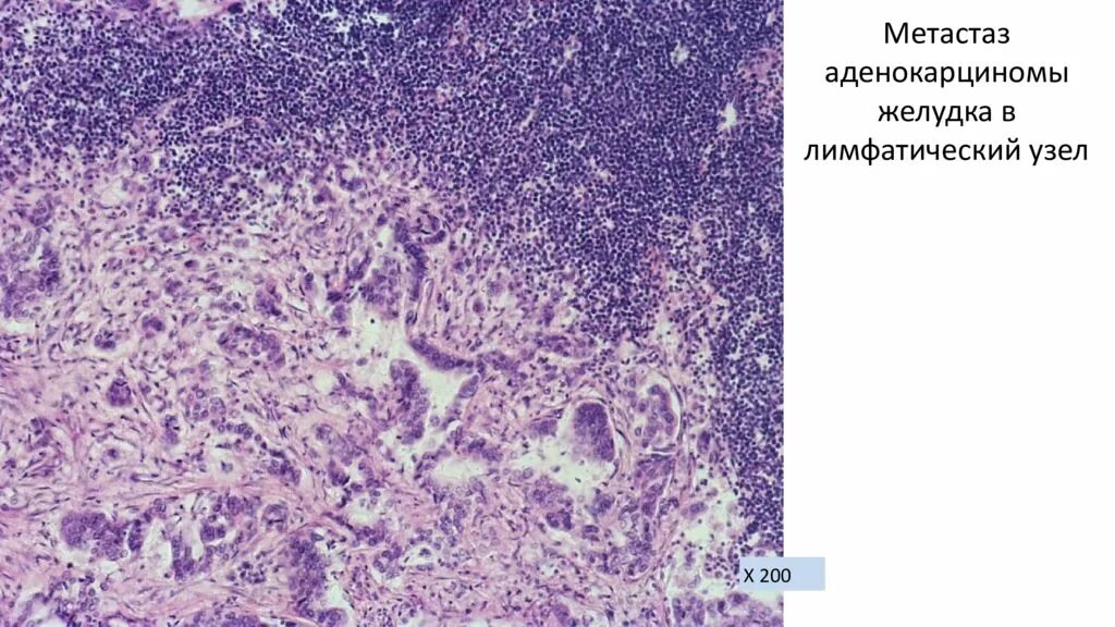
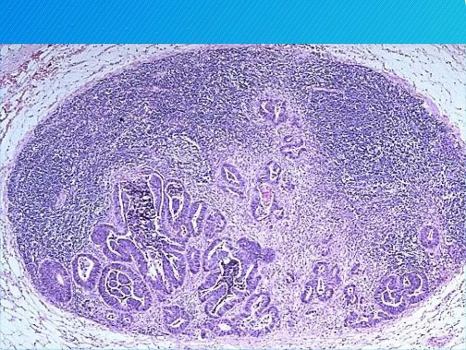
Лучевая терапия метастазов в лимфоузлах