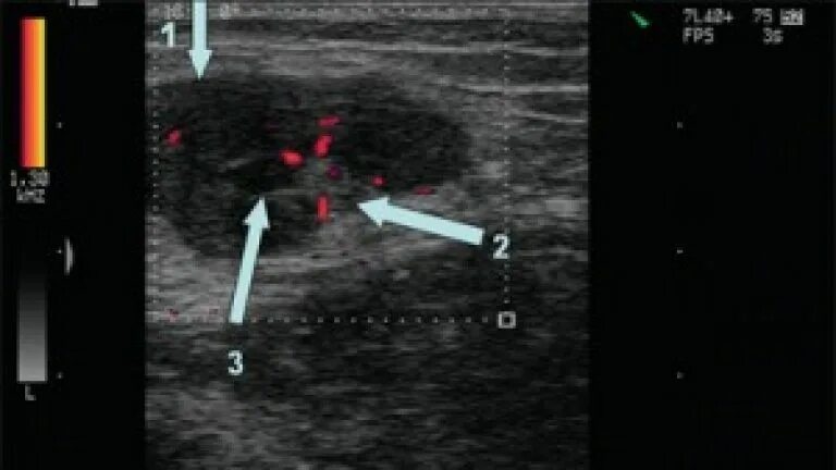
Лимфоузлы гиперплазированы