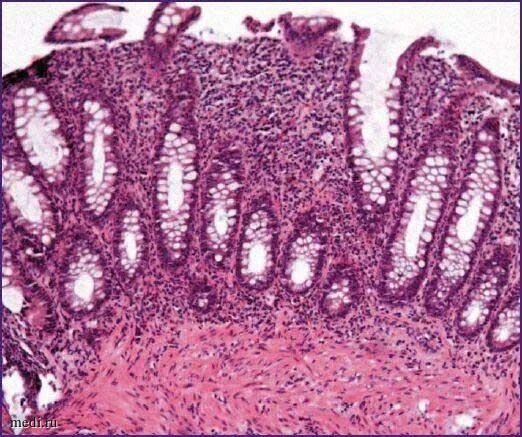
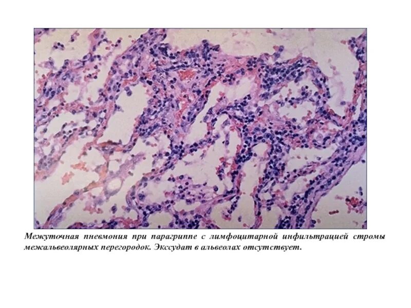
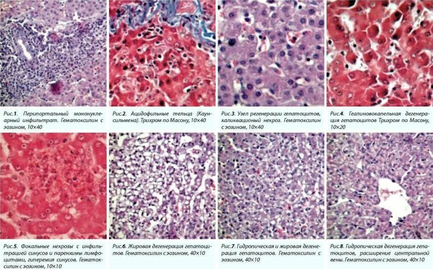
Лимфоплазмоцитарная инфильтрация стромы