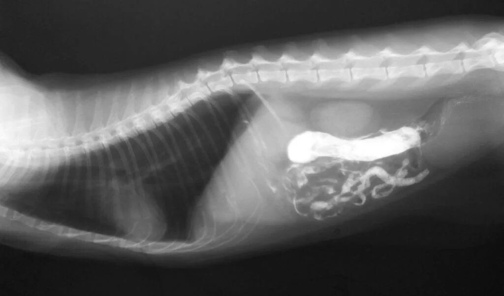
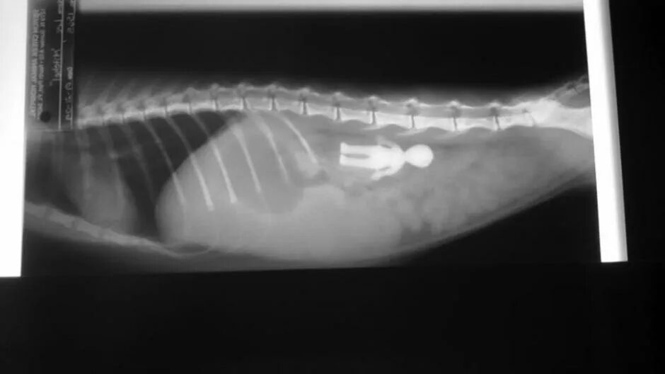
Кот проглотил