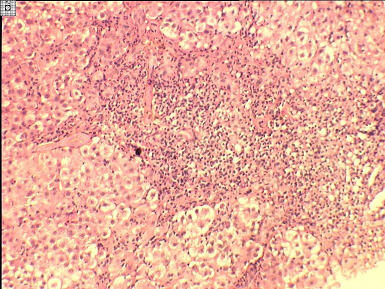
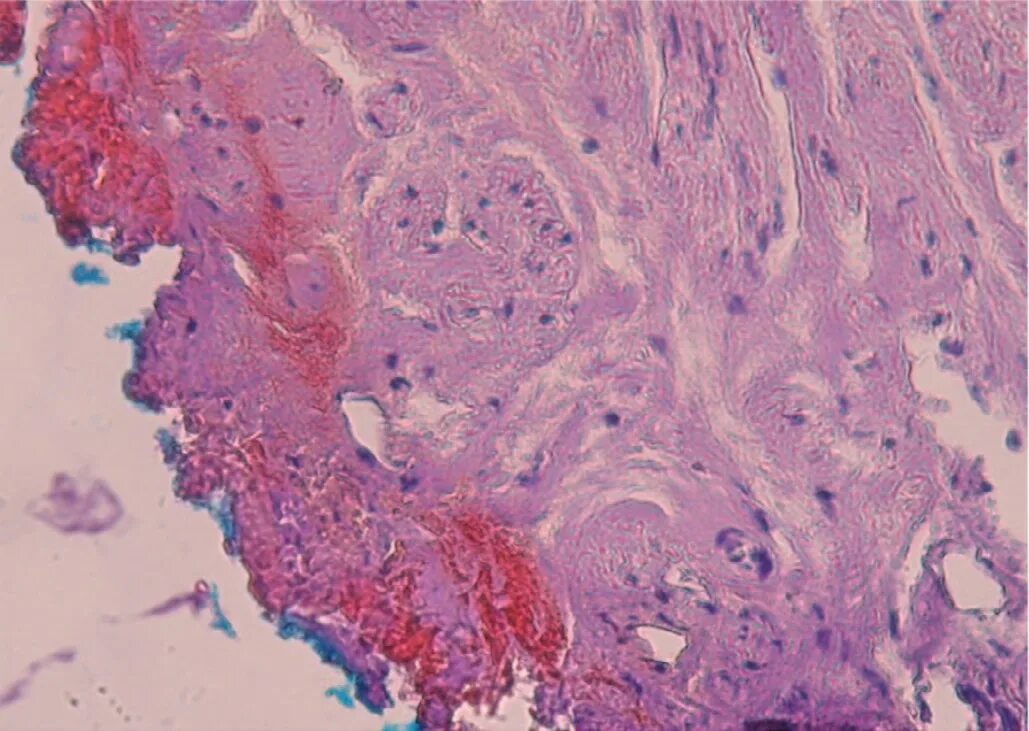
Колликвационный некроз это