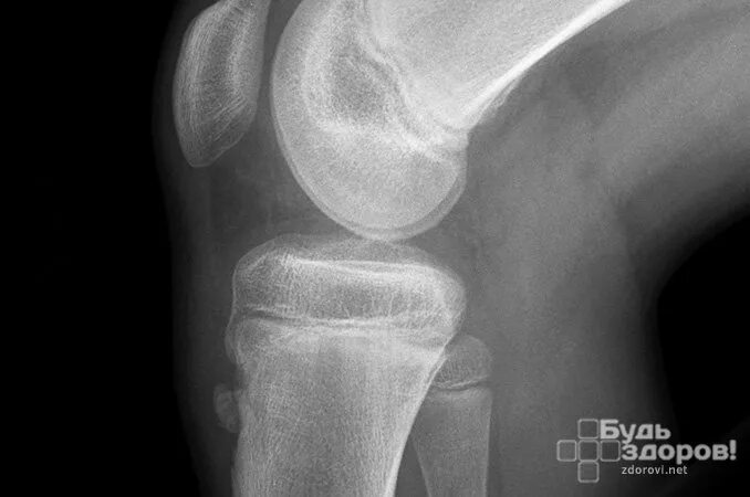
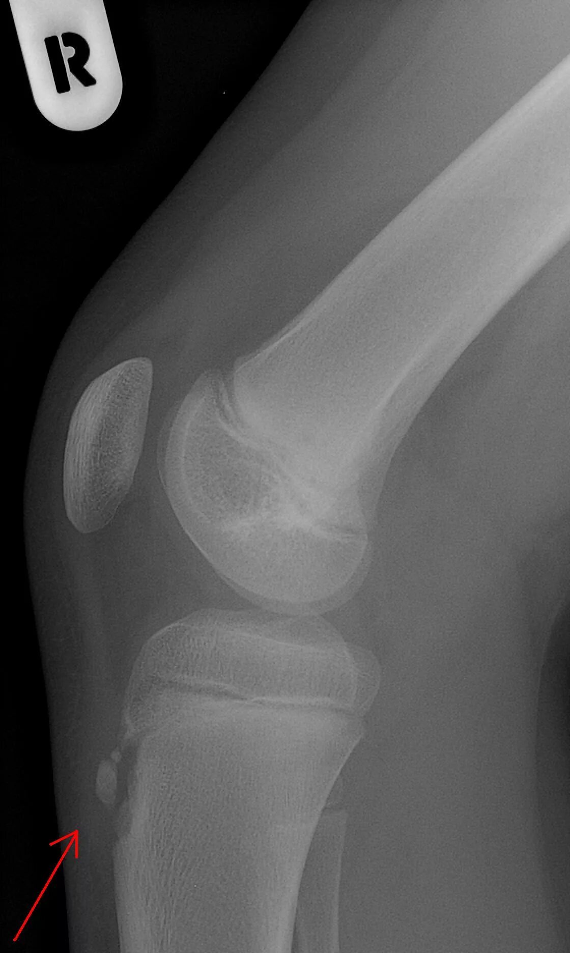
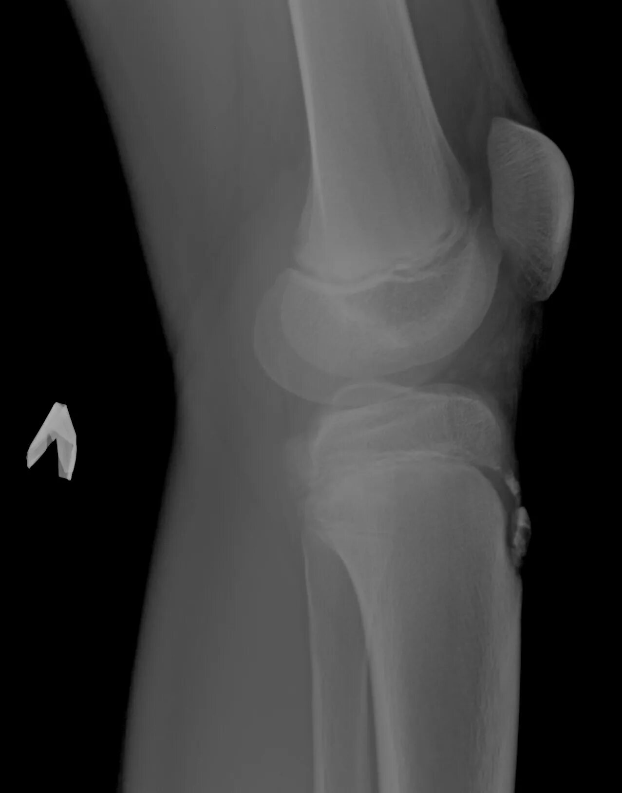
Код мкб шляттера