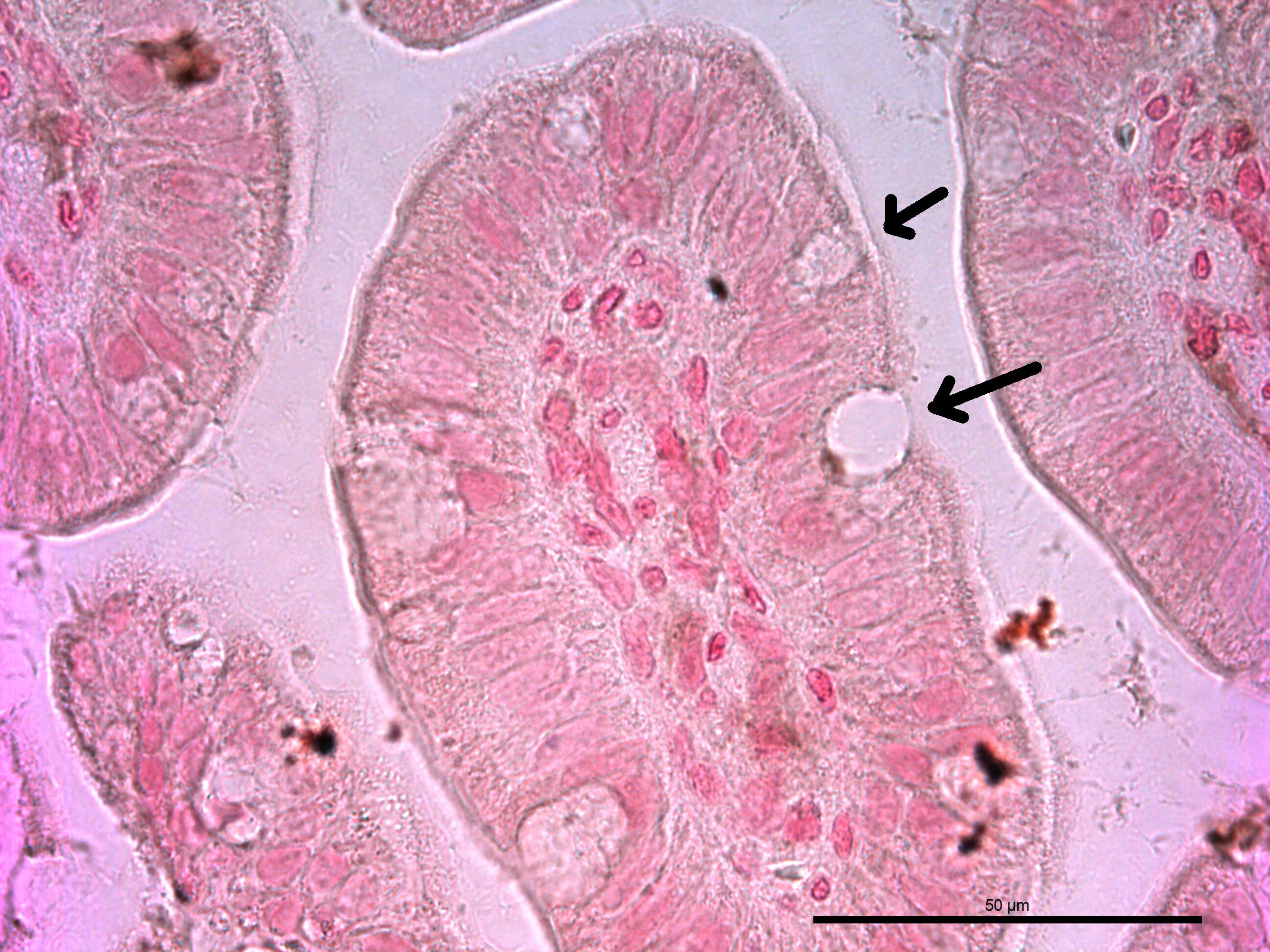
Клетки кишечника гистология