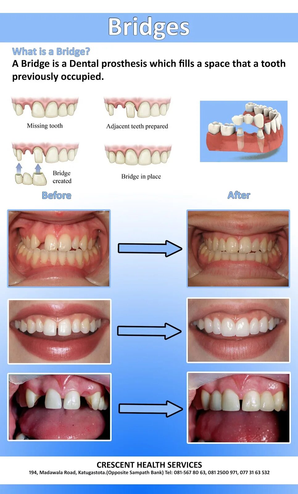
Какой мост поставить на зубы