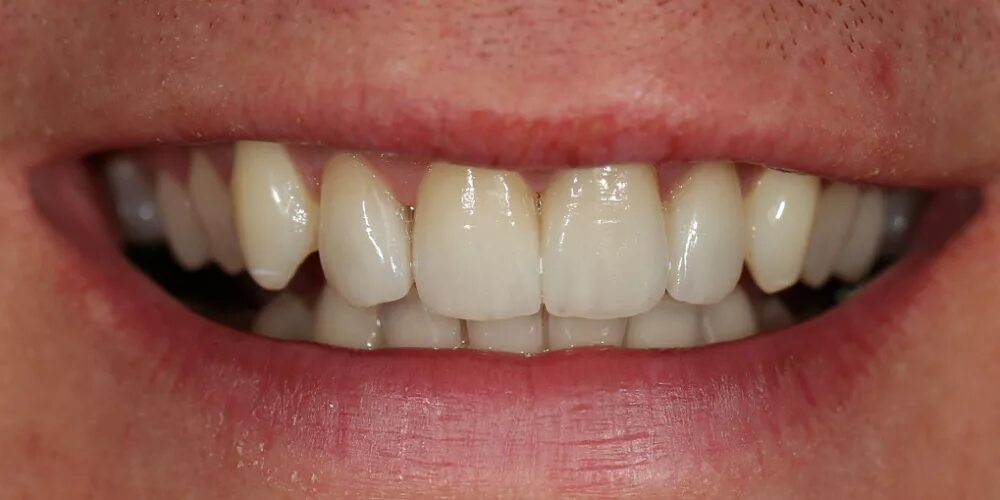
Какого цвета зубы