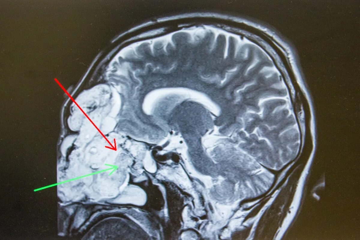
Какие опухоли в голове