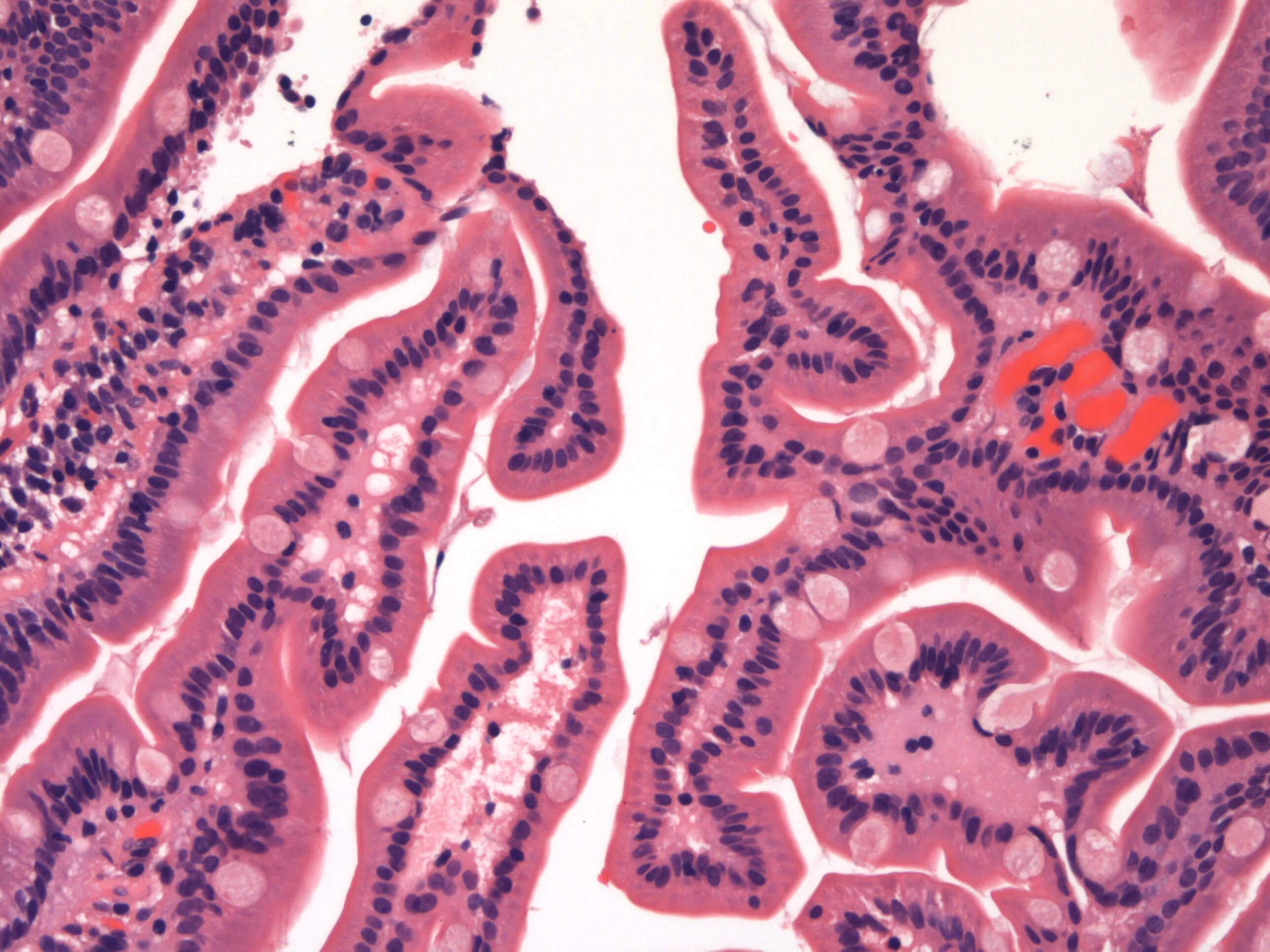
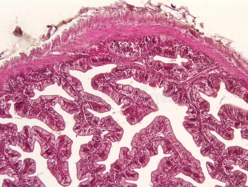
Какая ткань в кишечнике