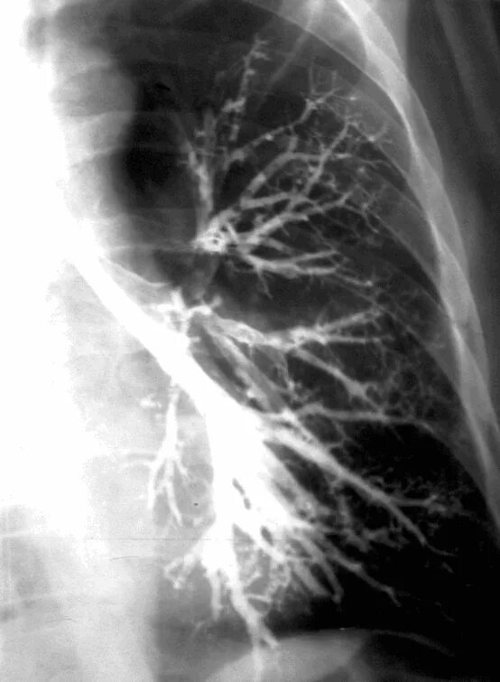
Как лечить бронхоэктазы