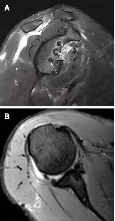
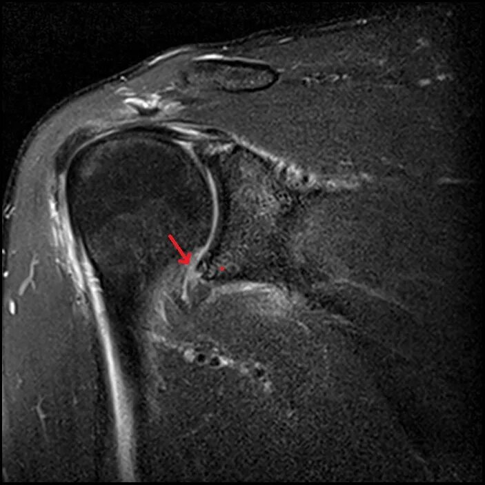
Изменение фиброзной губы гленоида