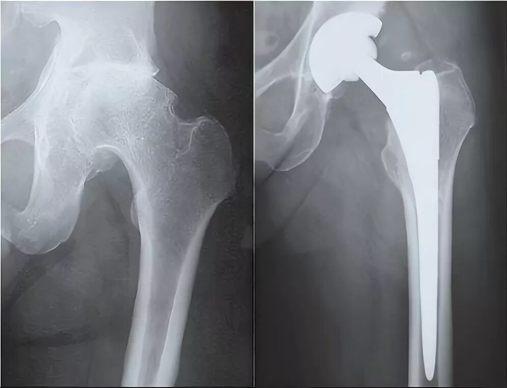
Инвалидность после эндопротезирования