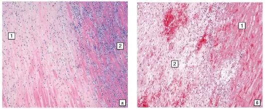
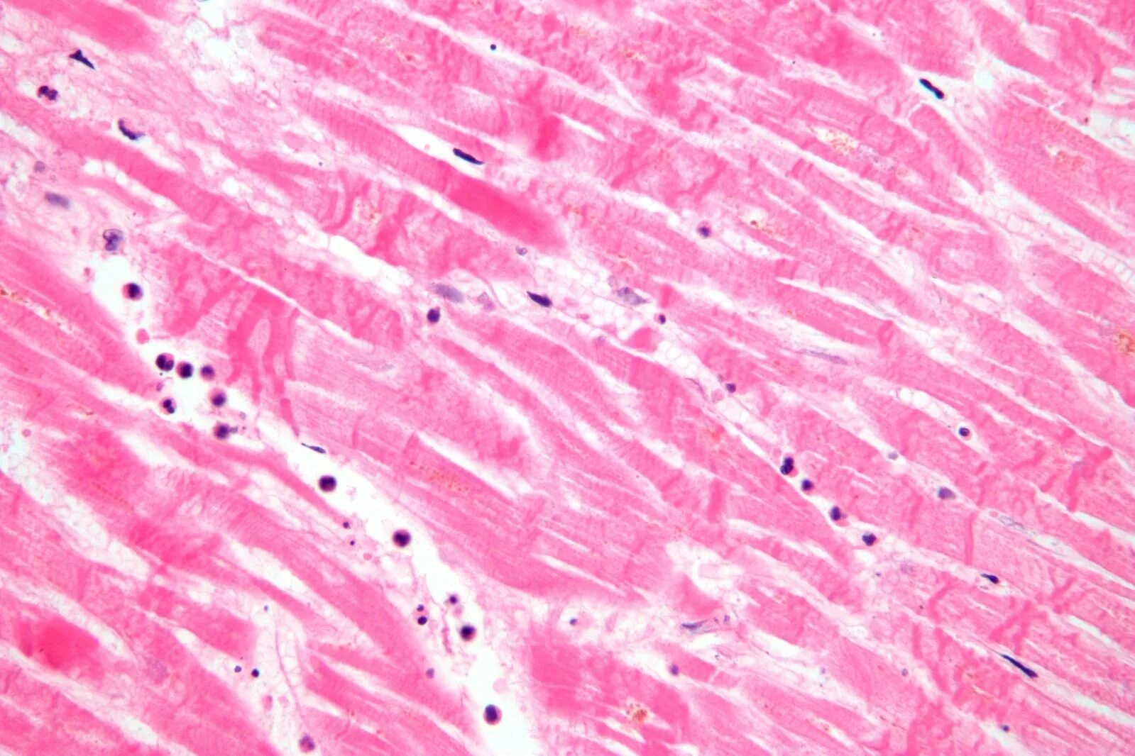
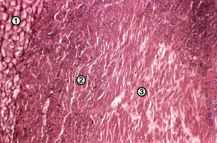
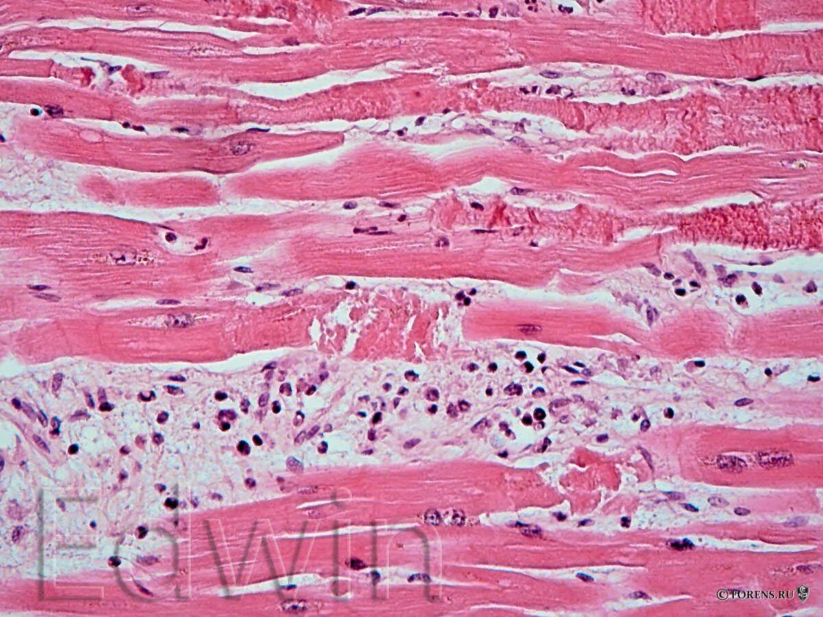
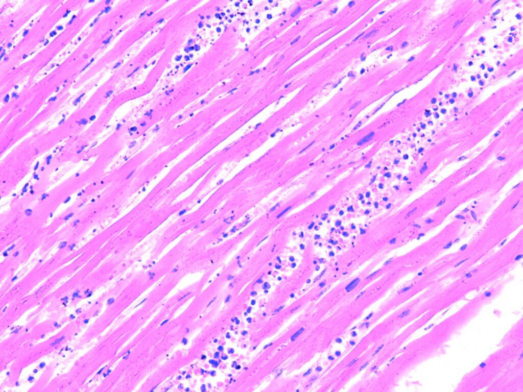
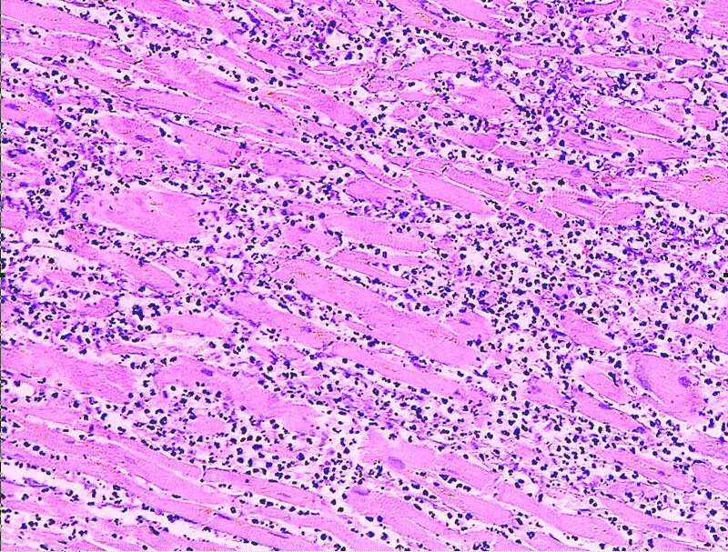
Инфаркт гистология