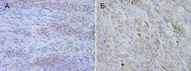
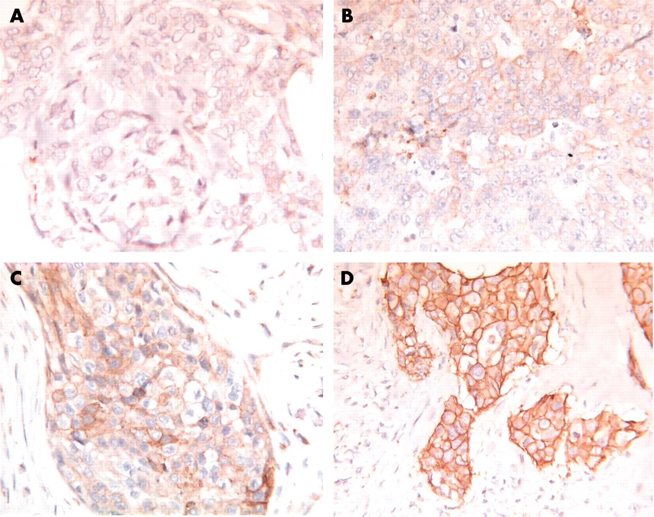
Игх после гистологии