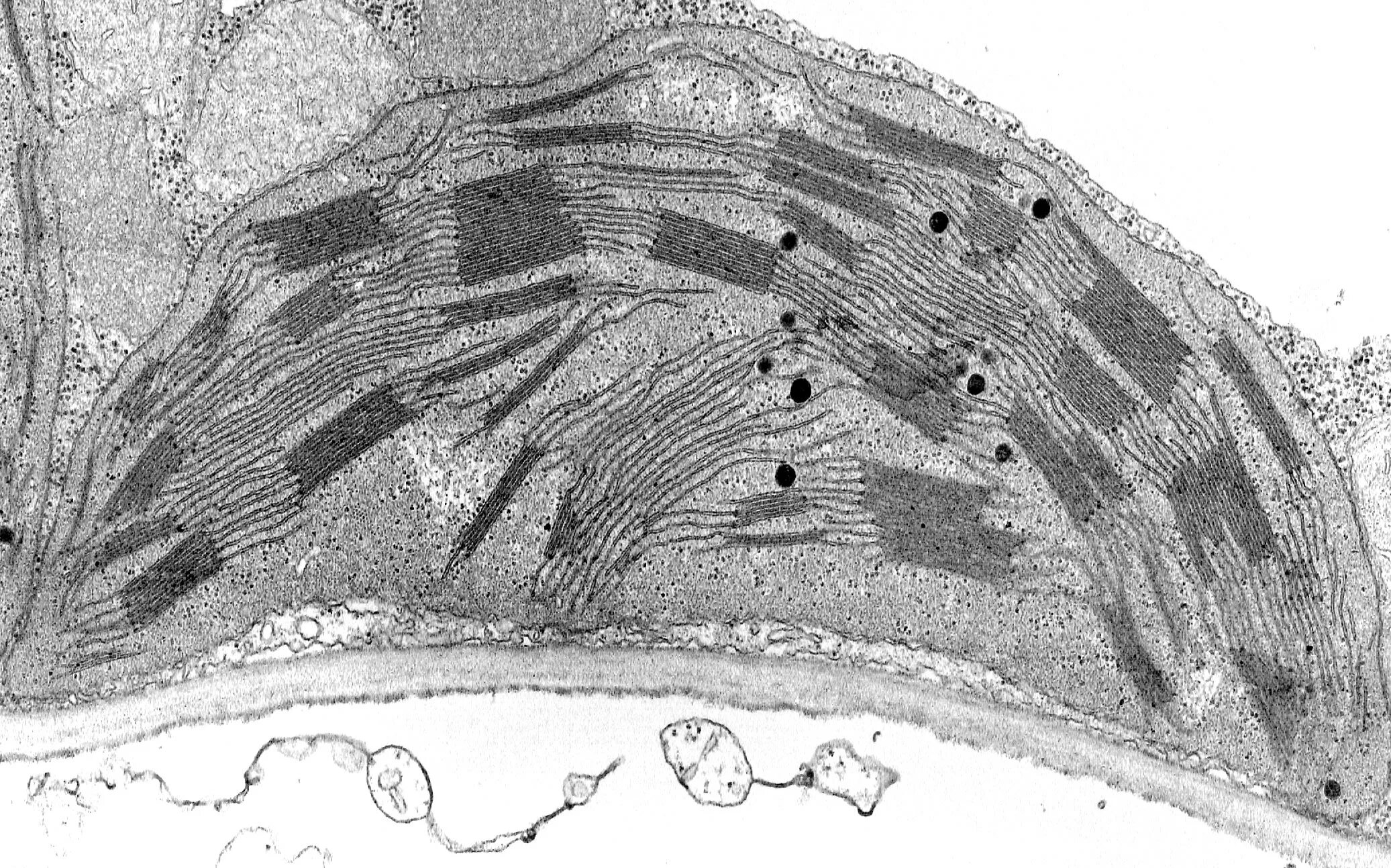
Хлоропласт комплекс гольджи ядро митохондрии