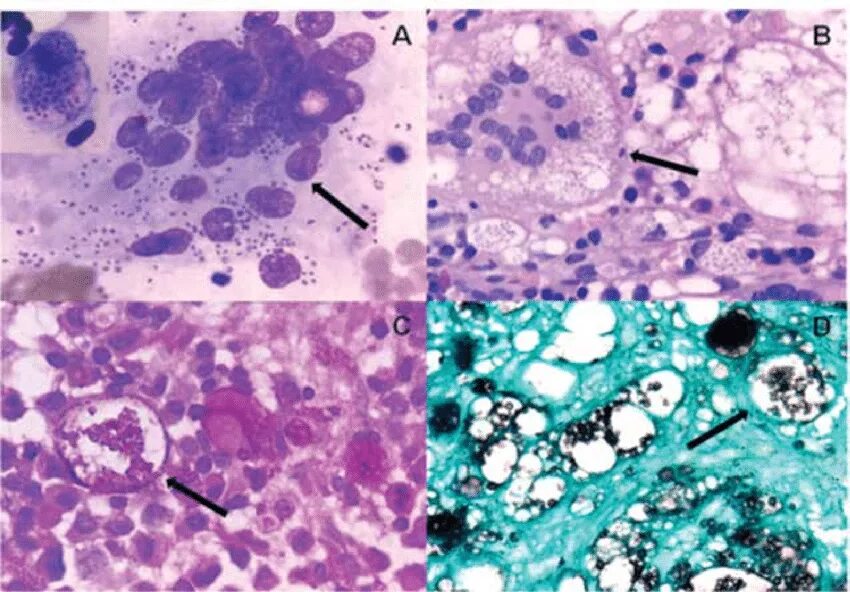
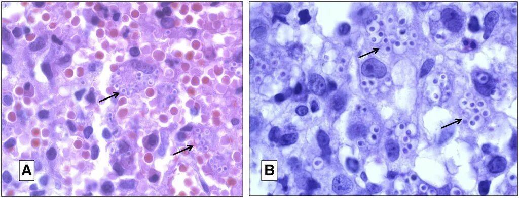
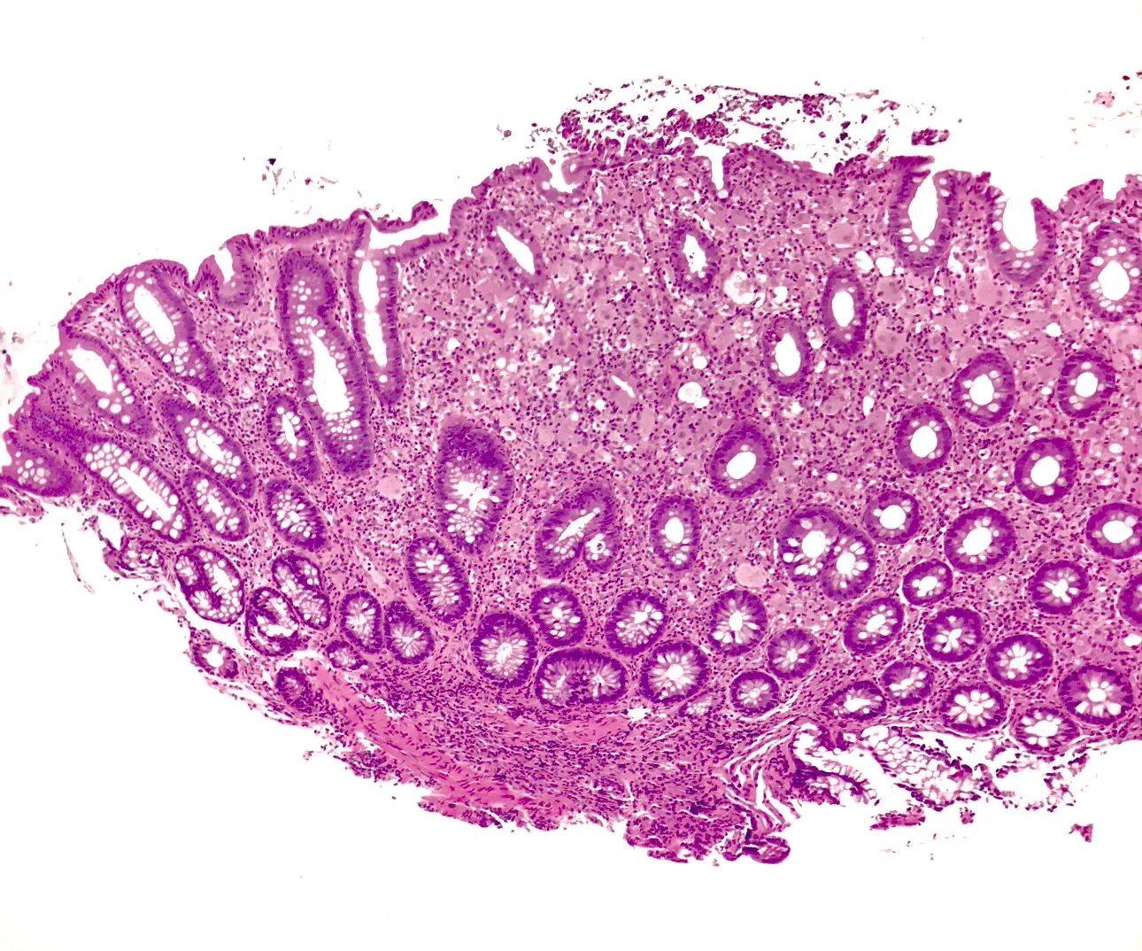
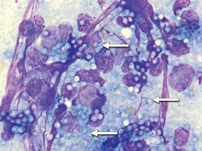
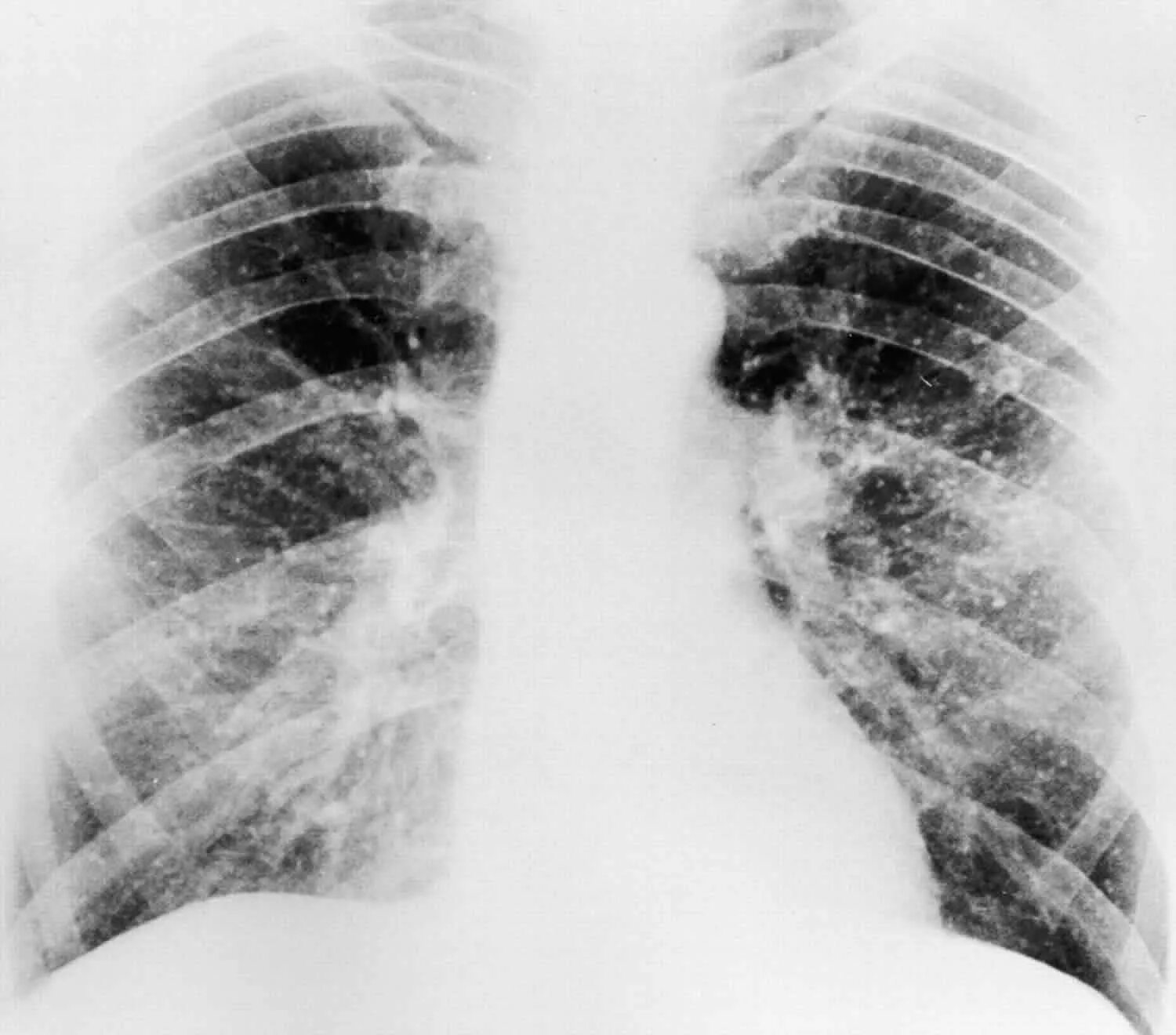
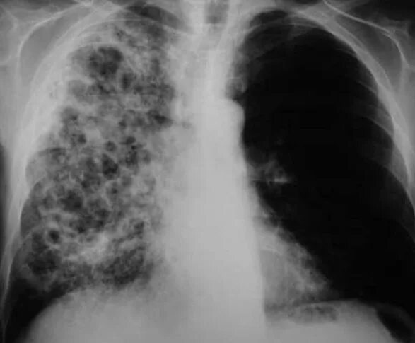
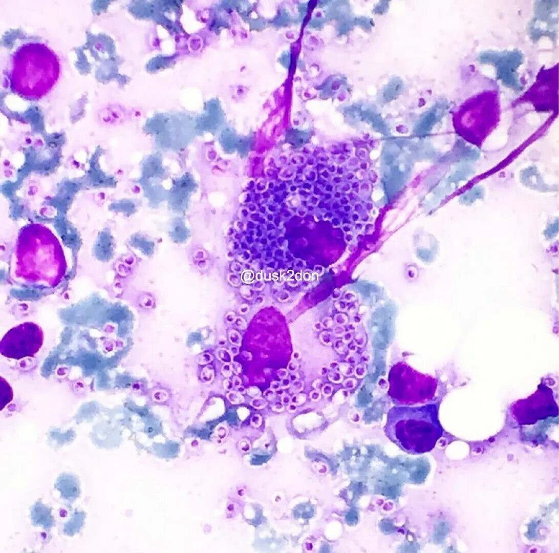
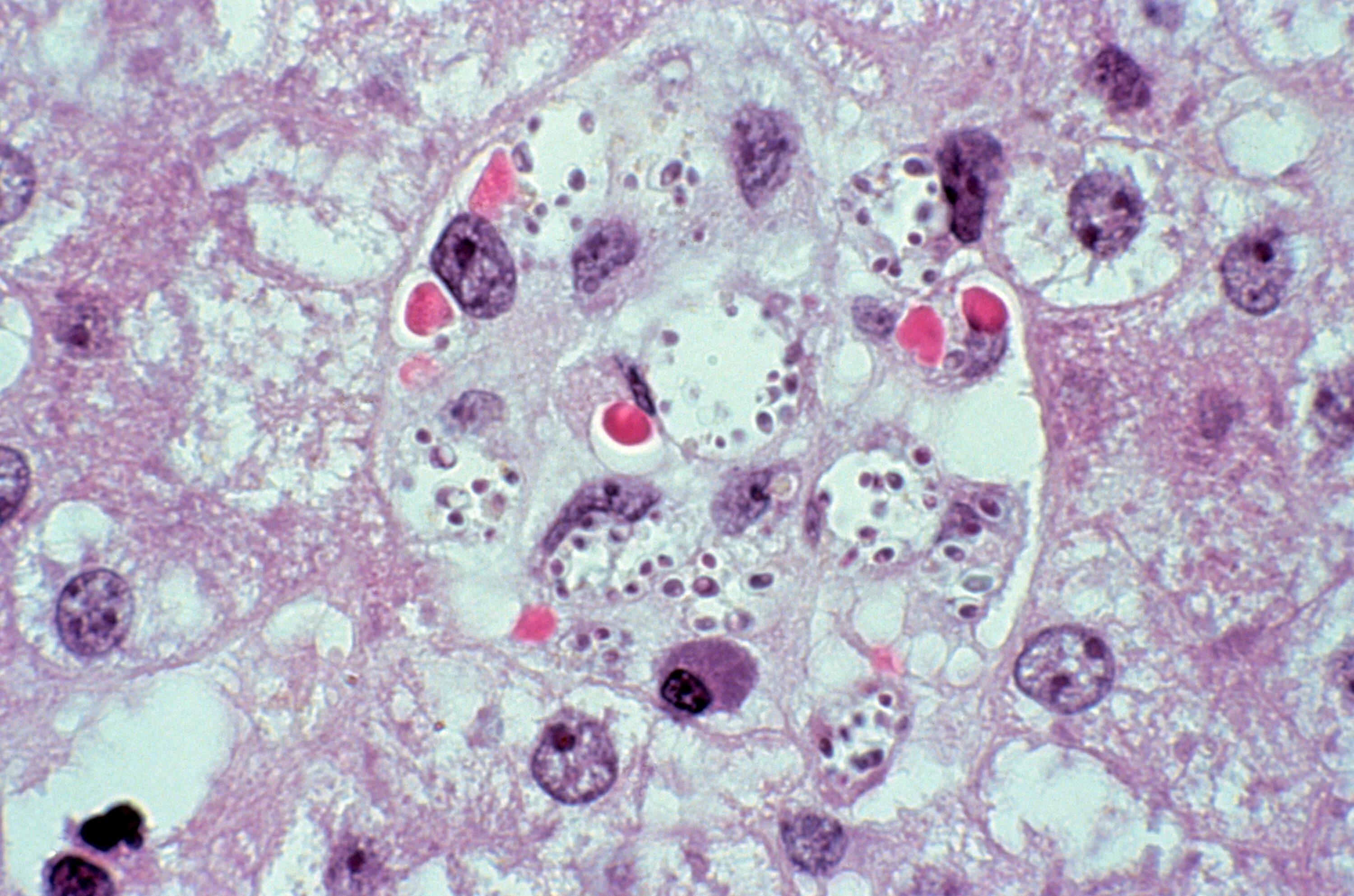
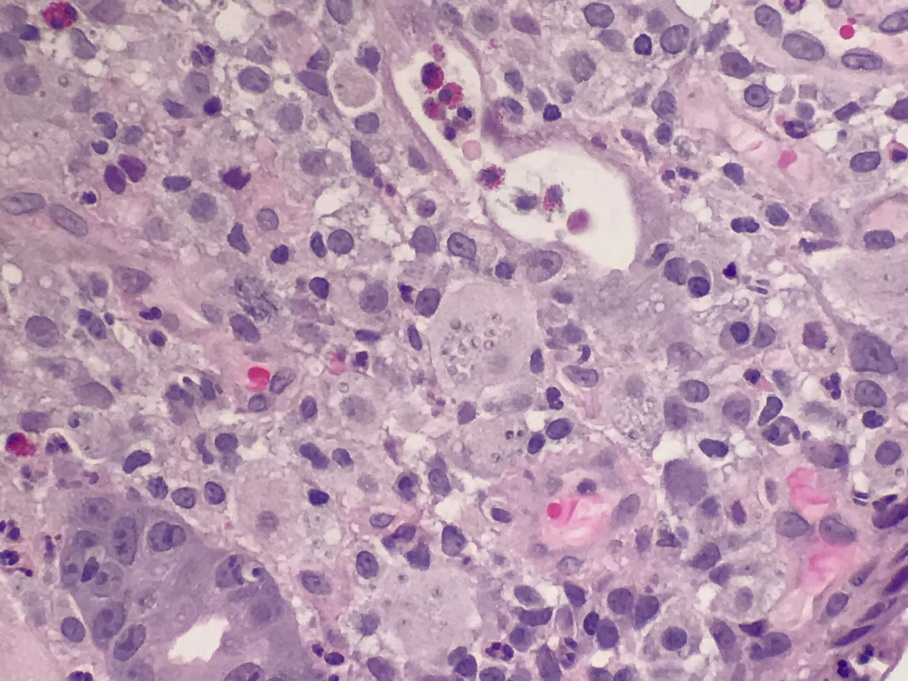
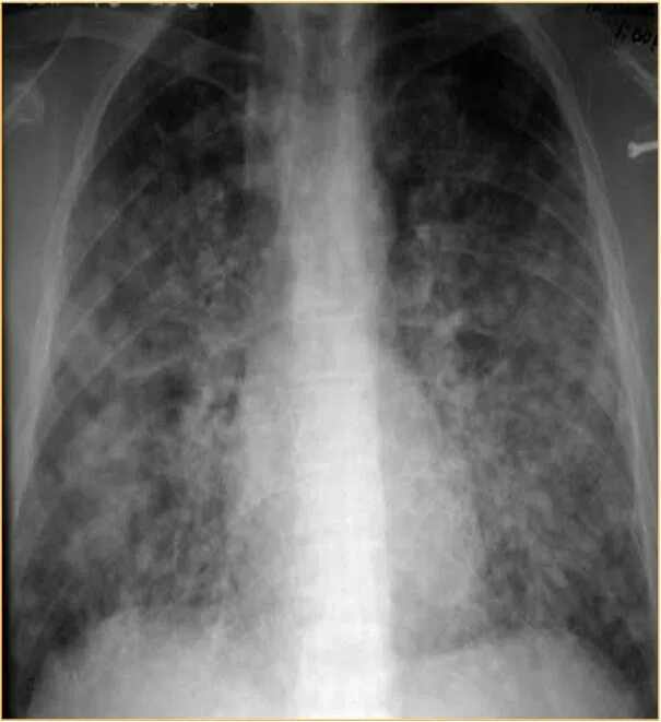
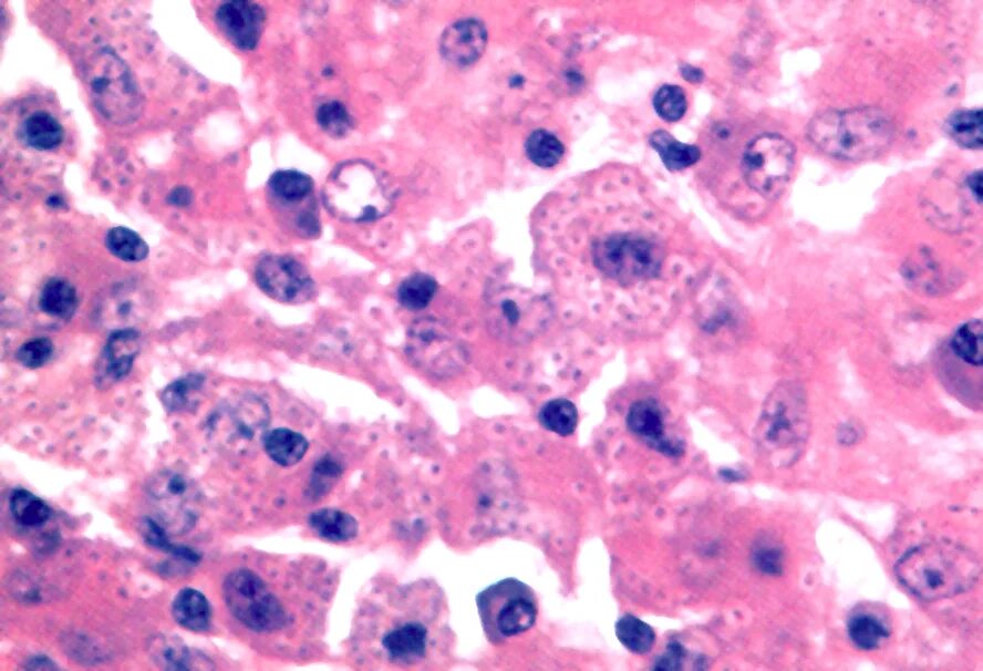
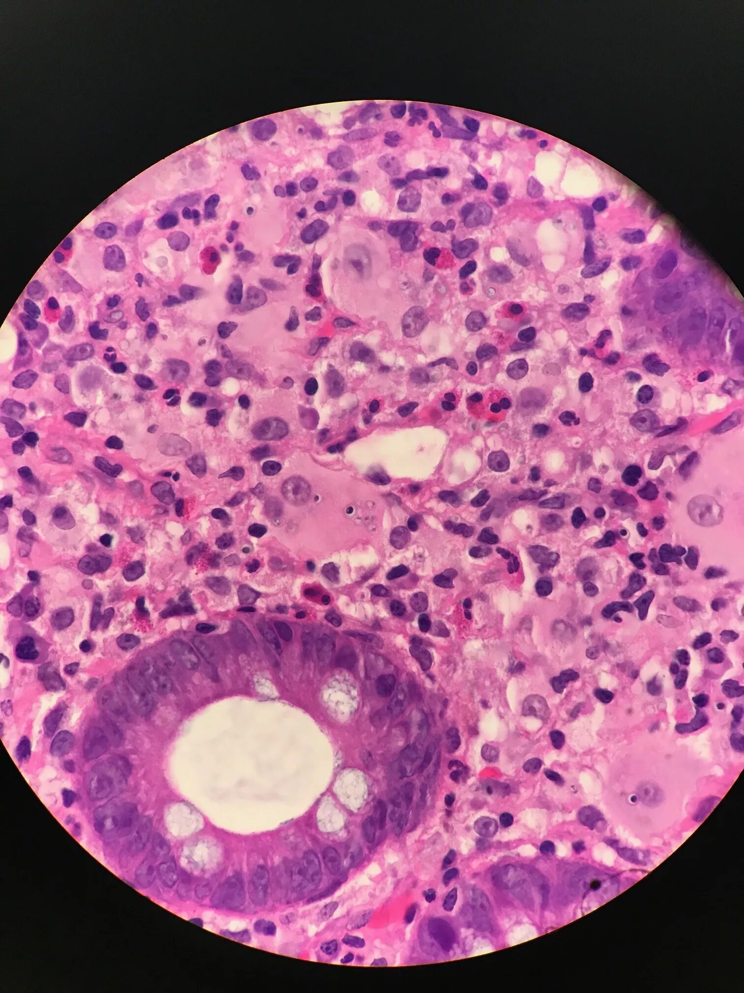
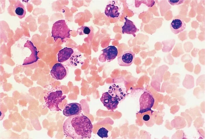
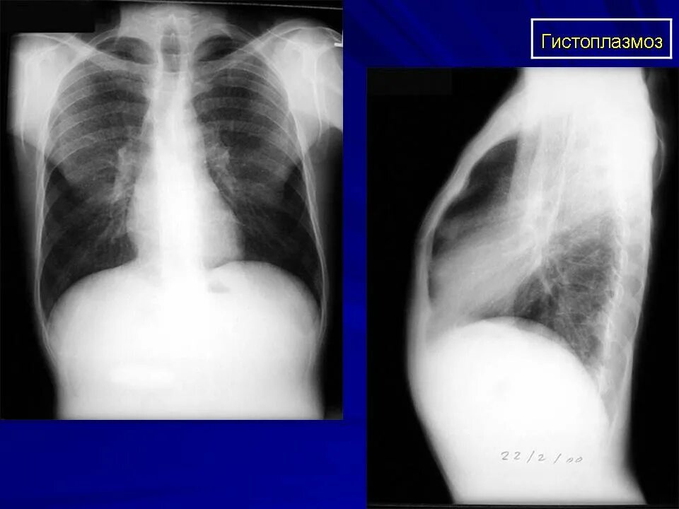
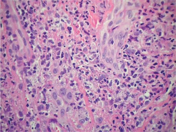
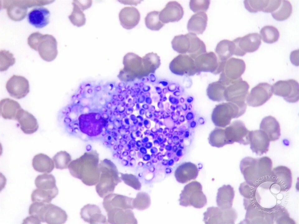
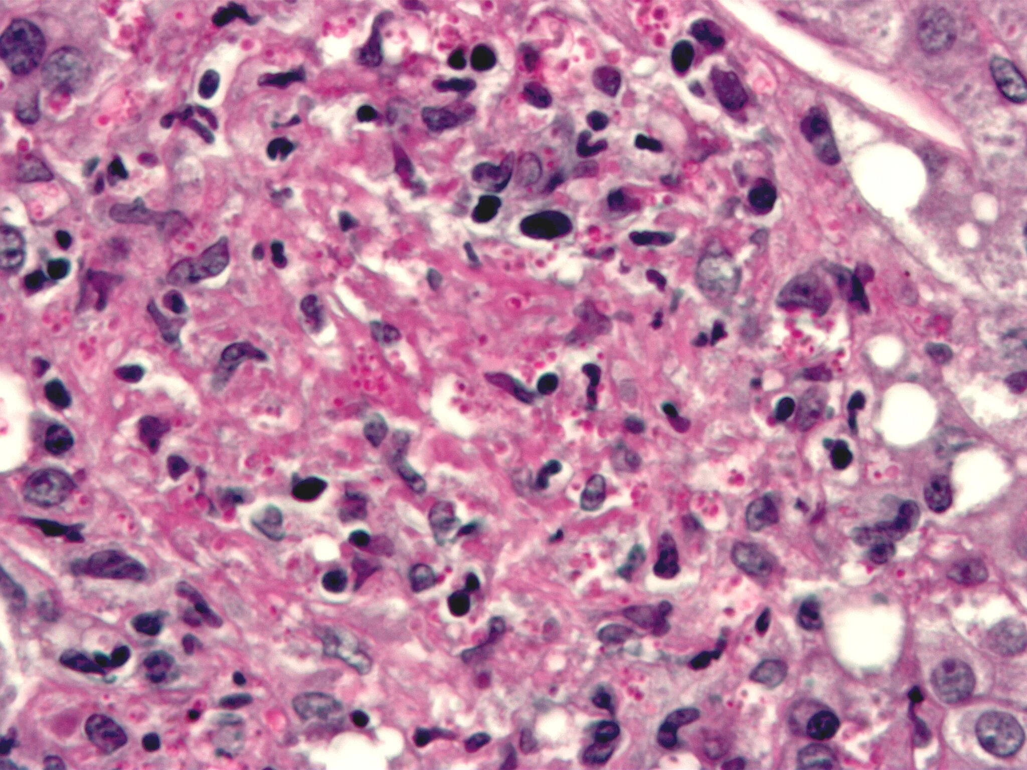
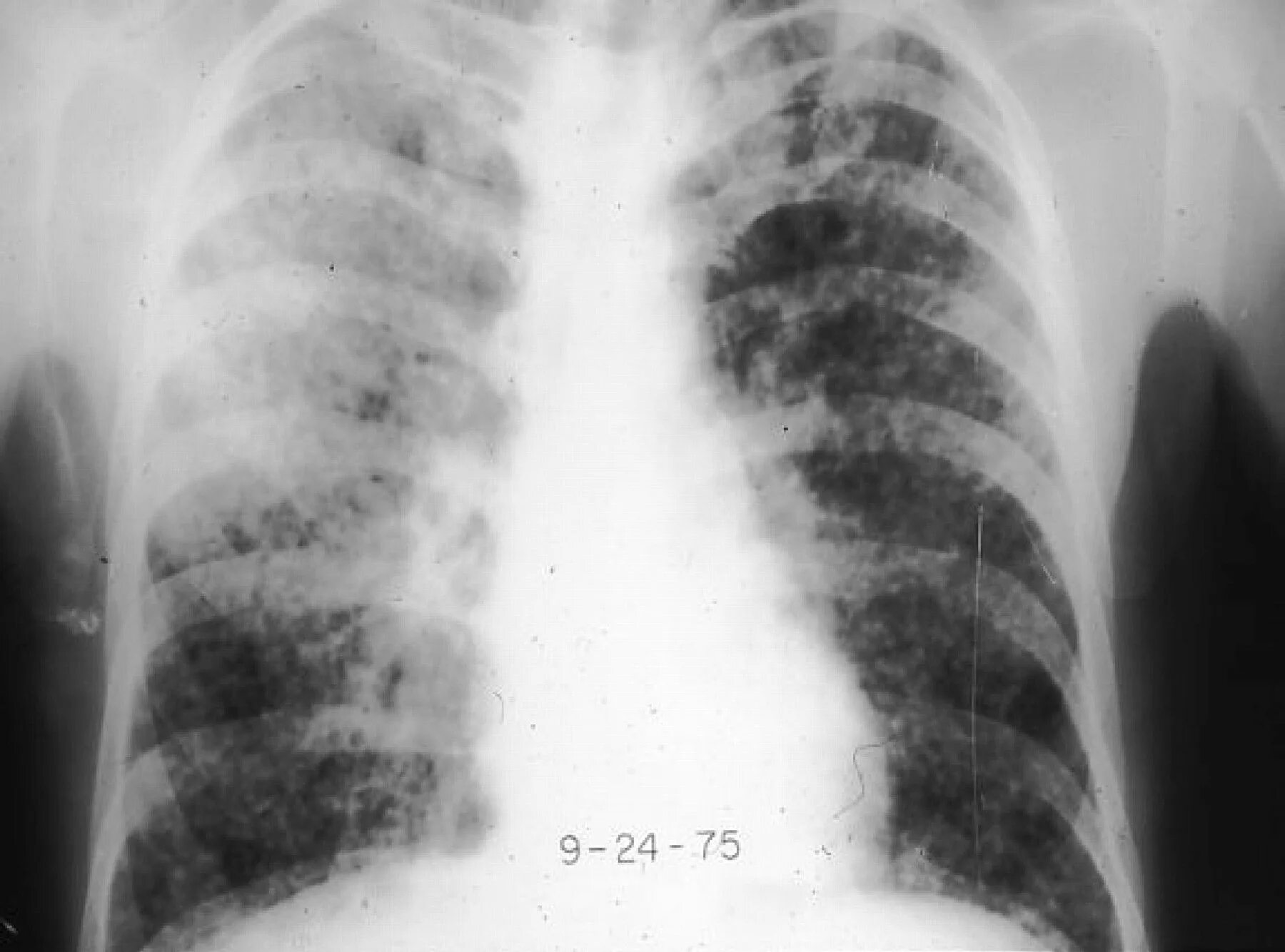
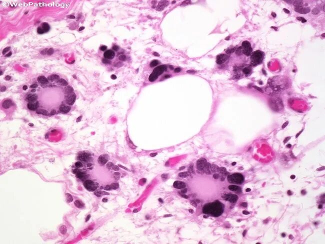
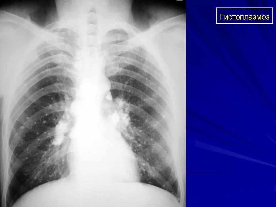
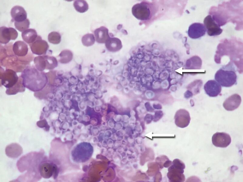
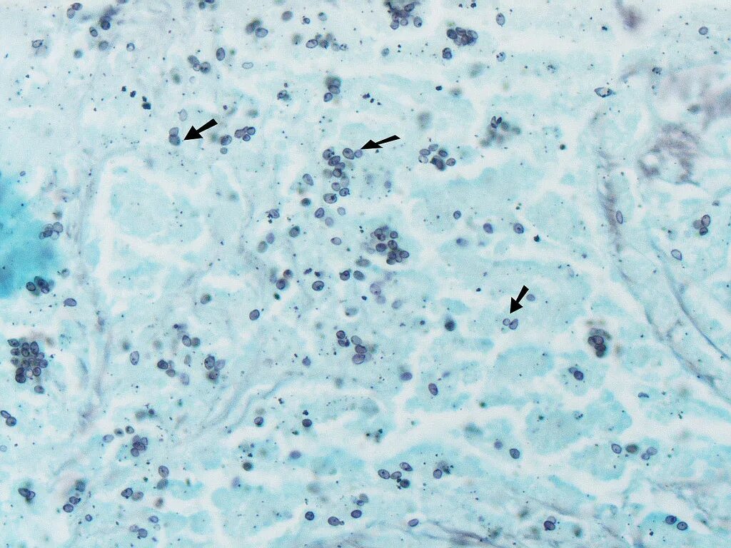
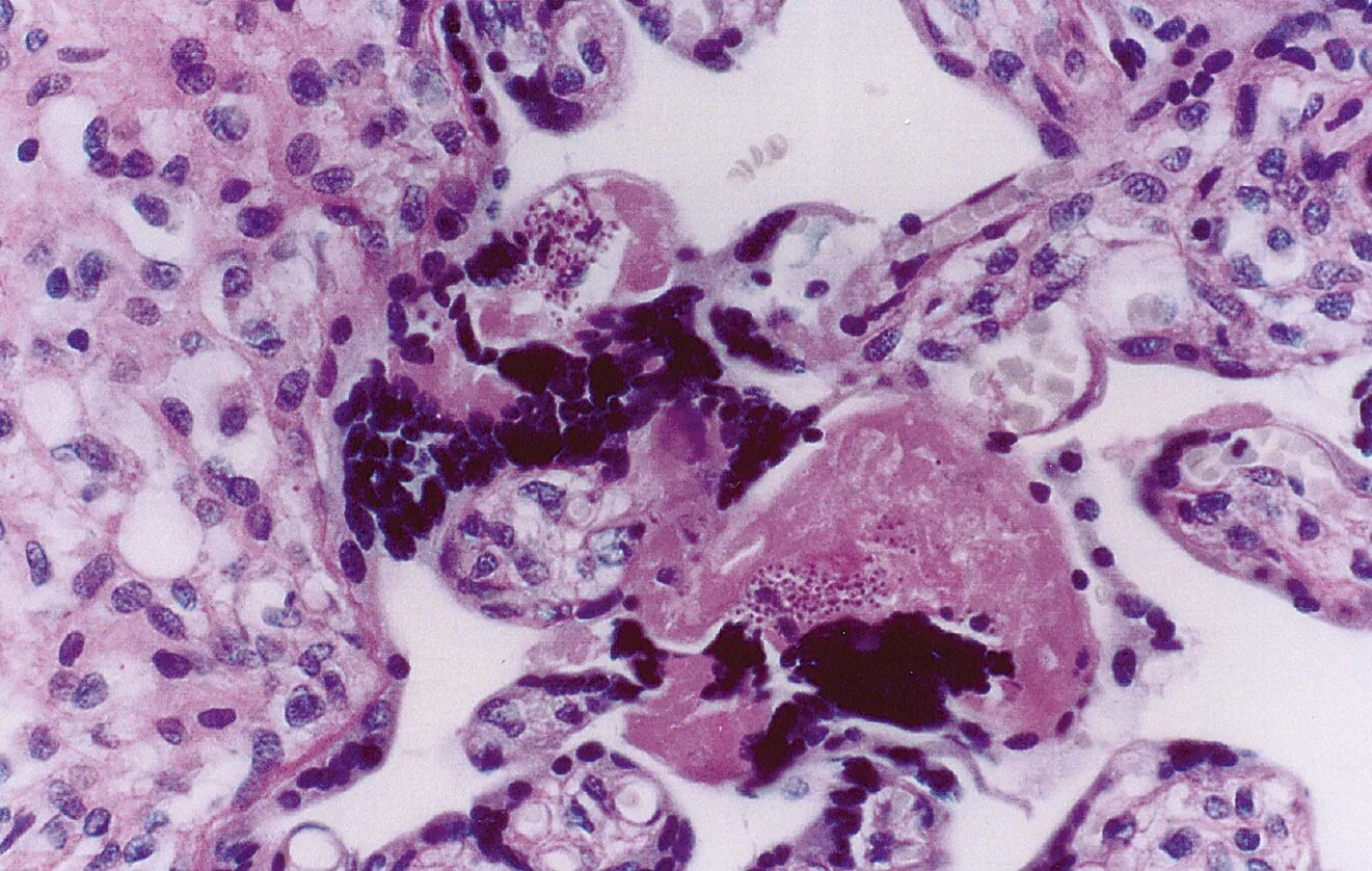
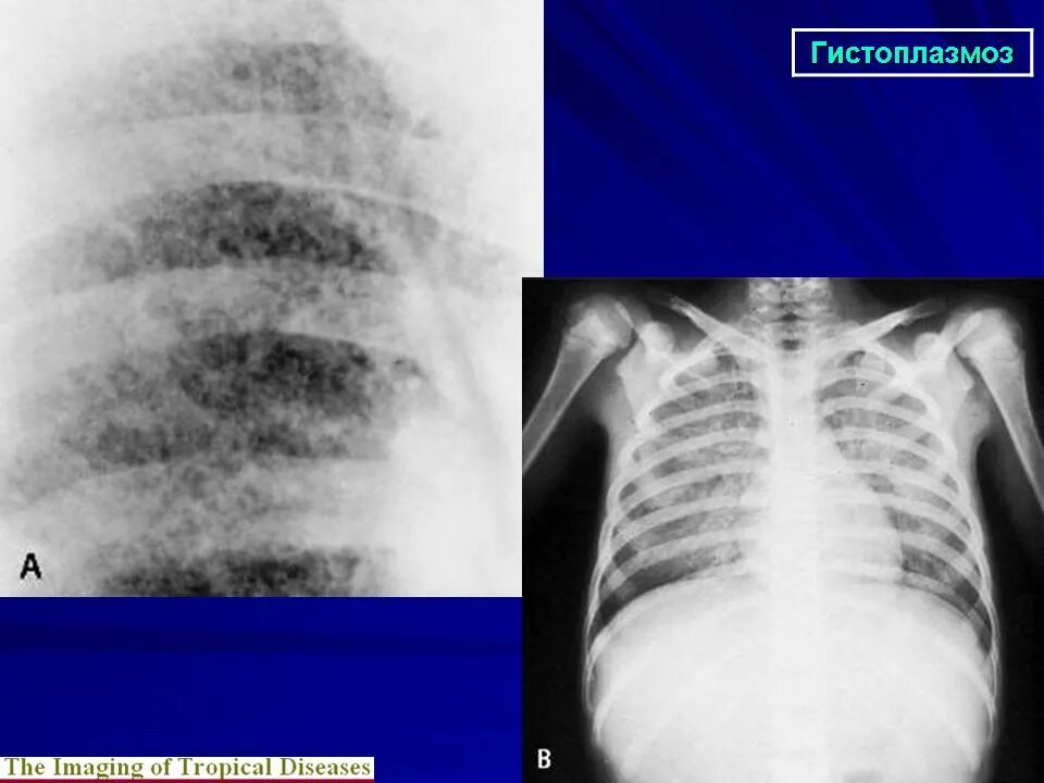
Гистоплазмоз это