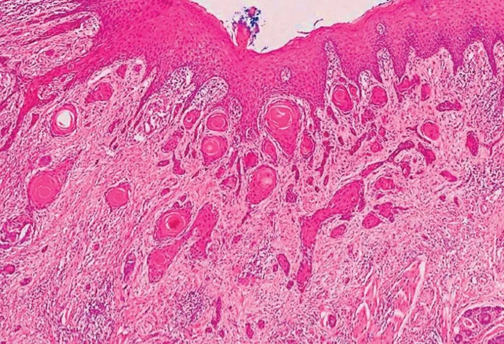
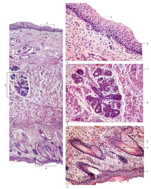
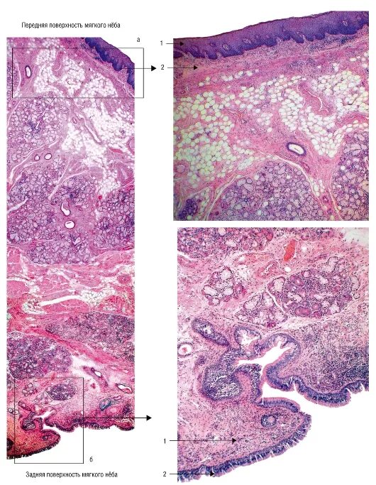
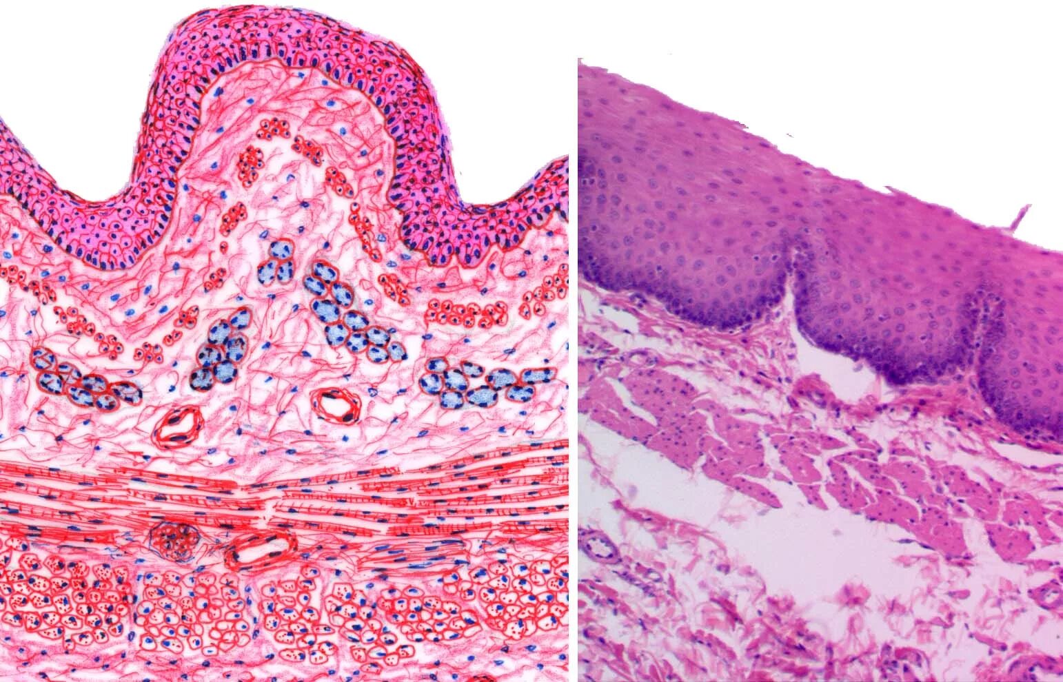
Гистология рта