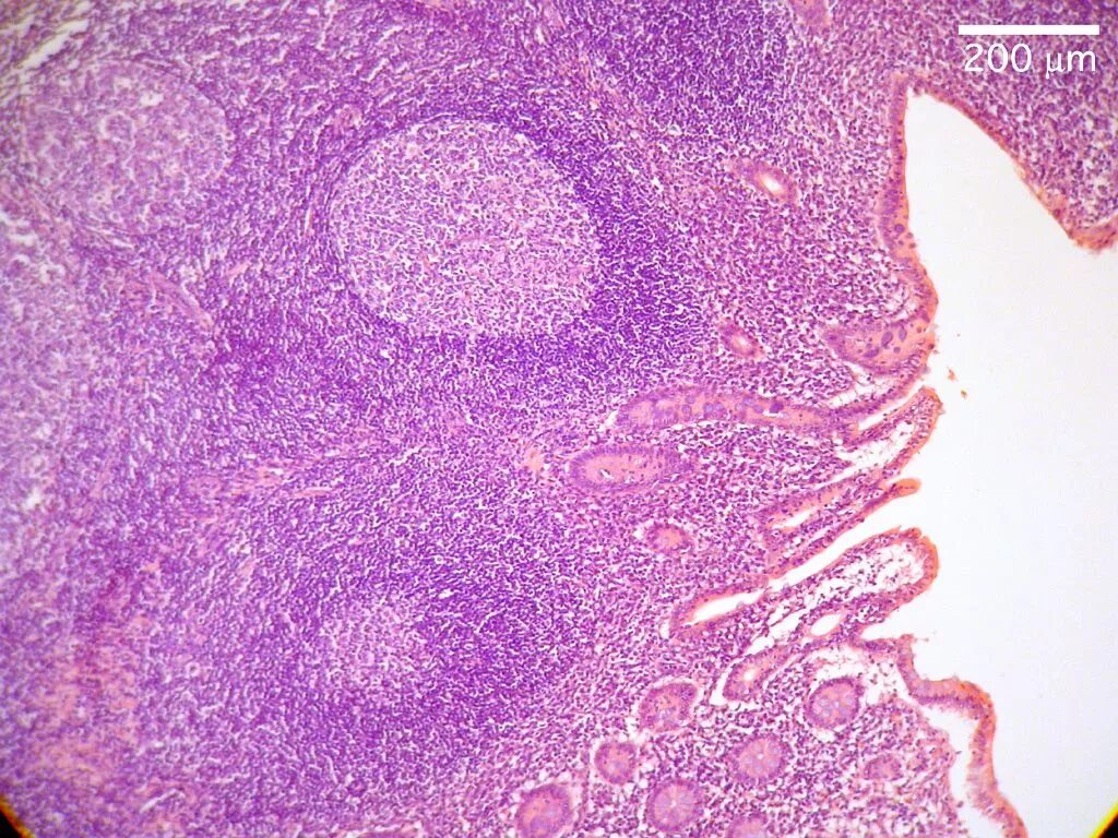
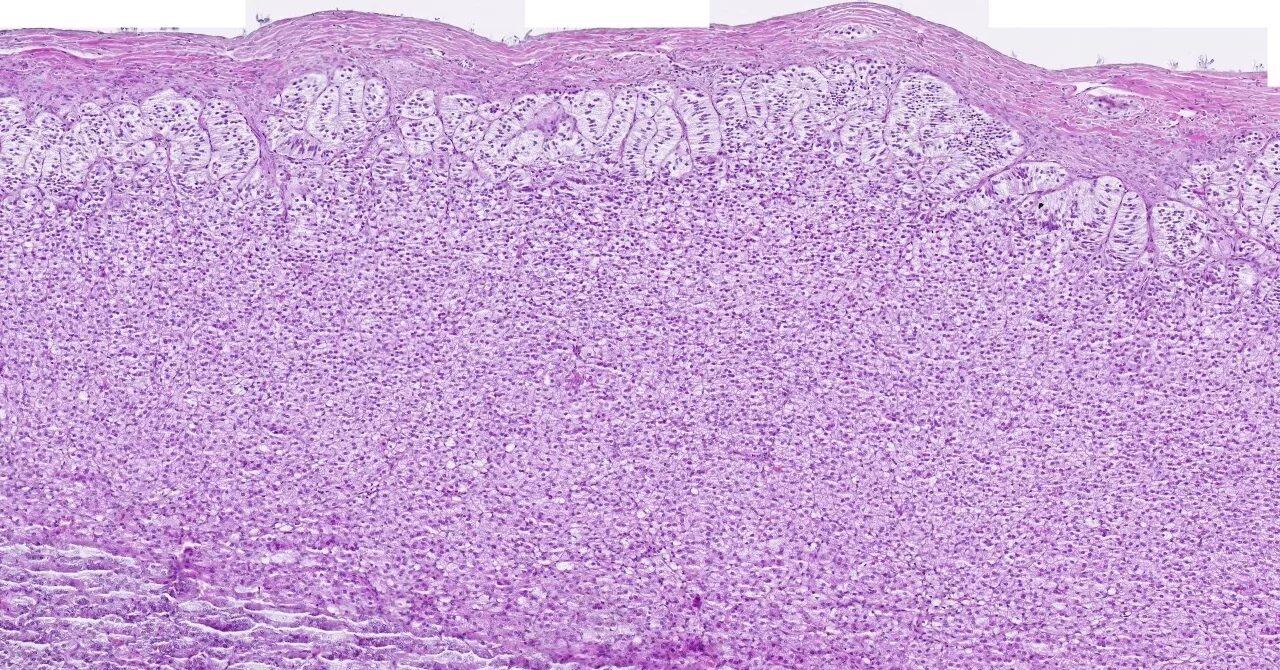
Гистология после