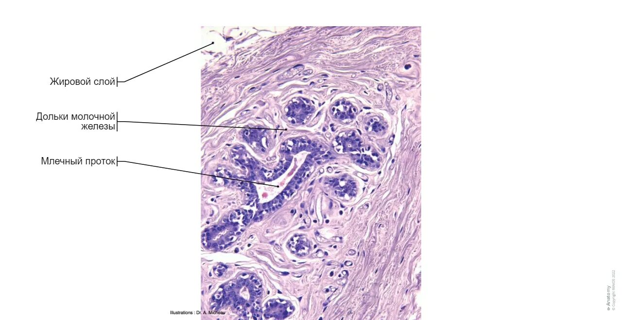
Гистология молочной железы после операции