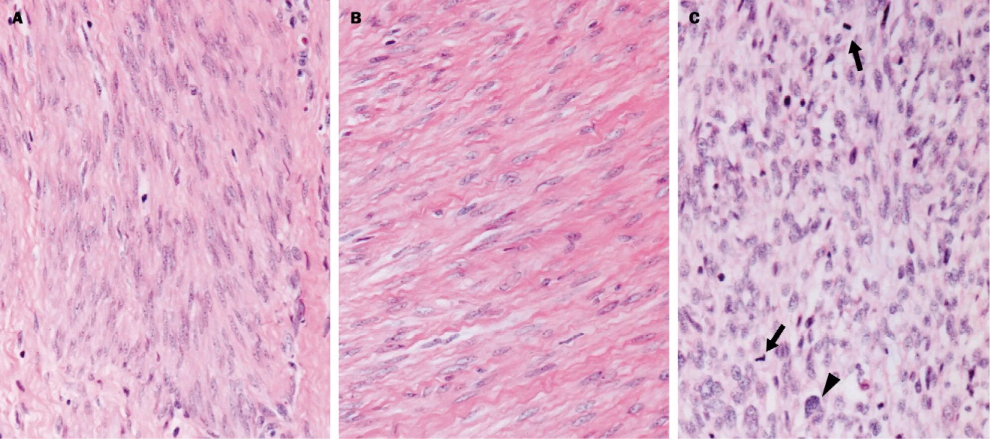
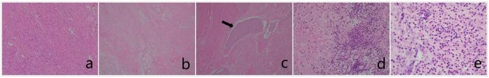
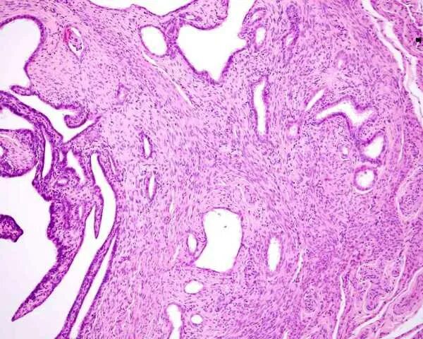
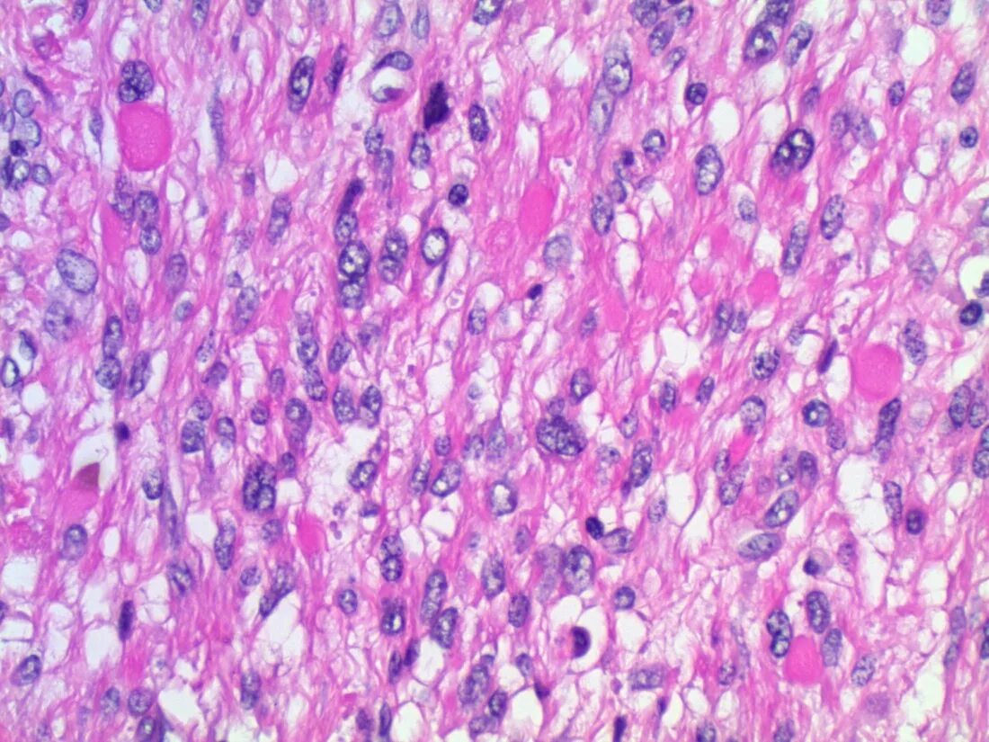
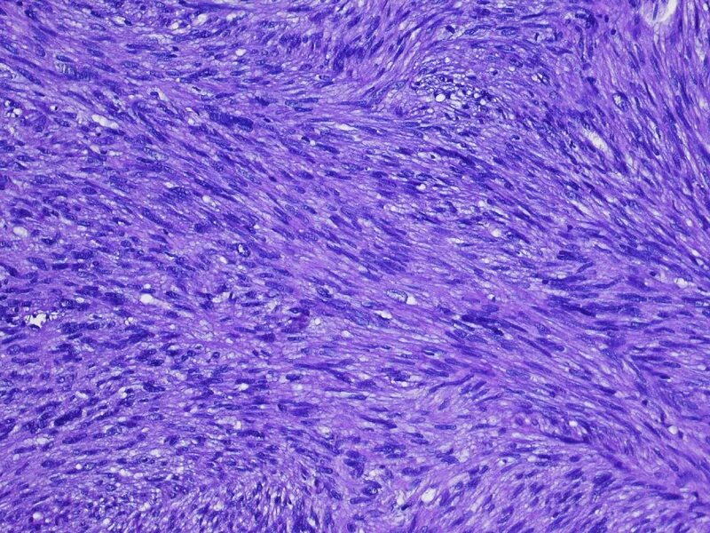
Гистология миомы матки