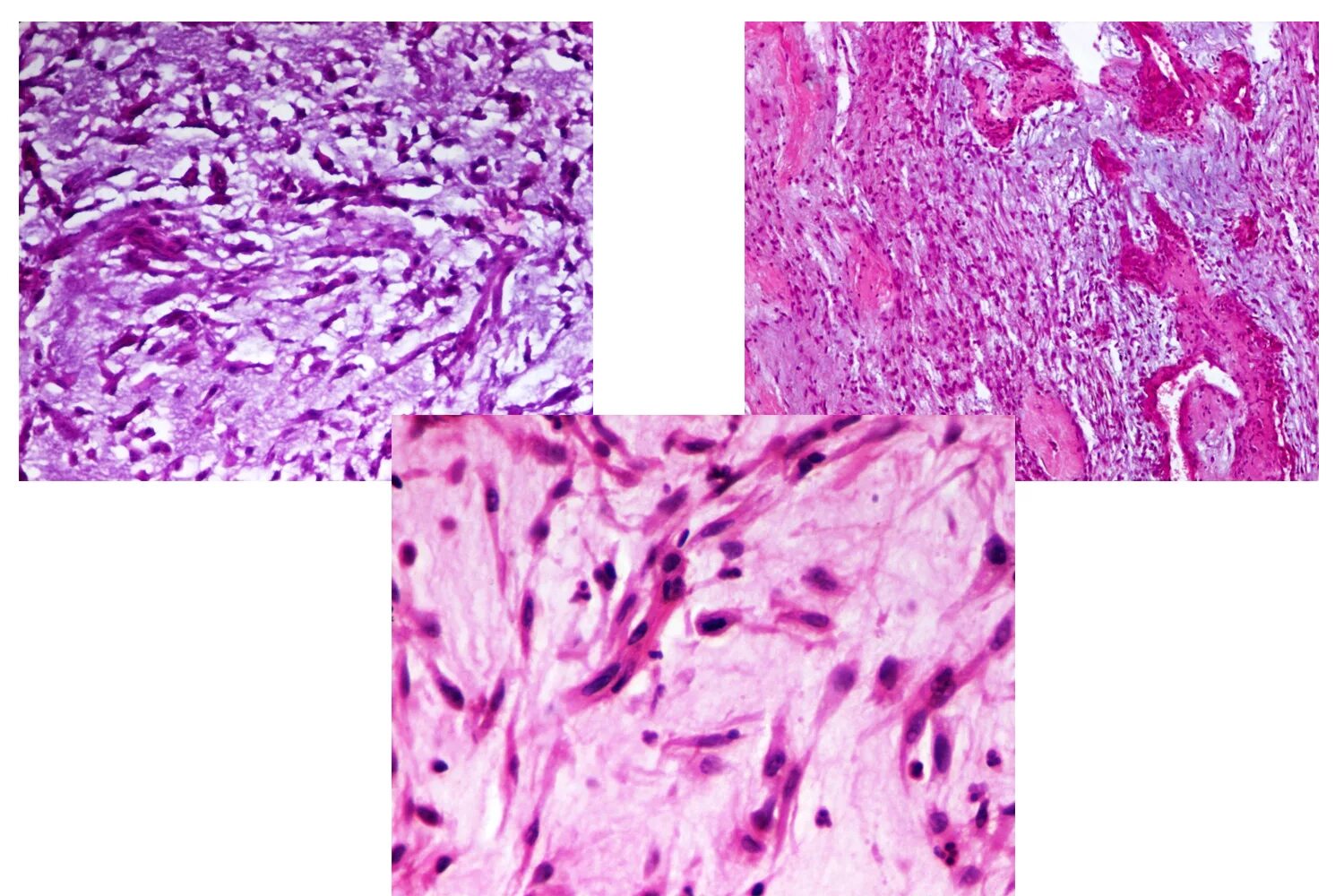
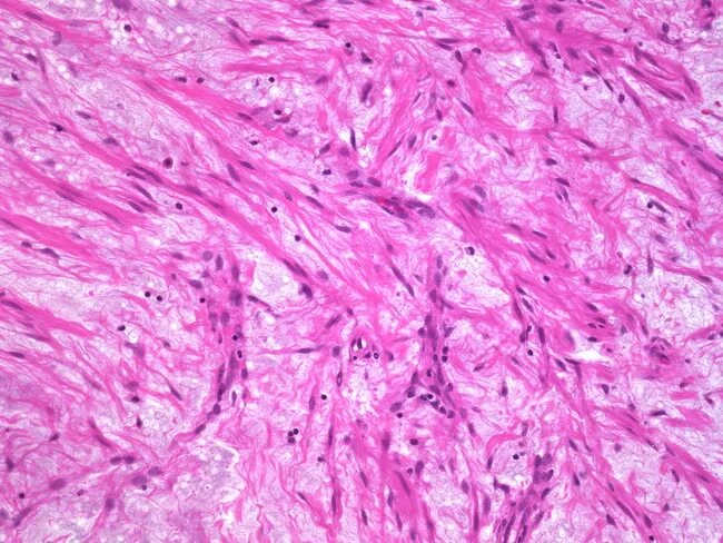
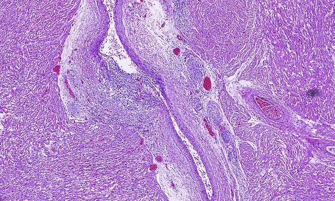
Гистология миомы