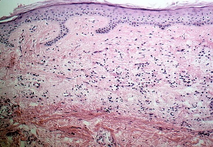
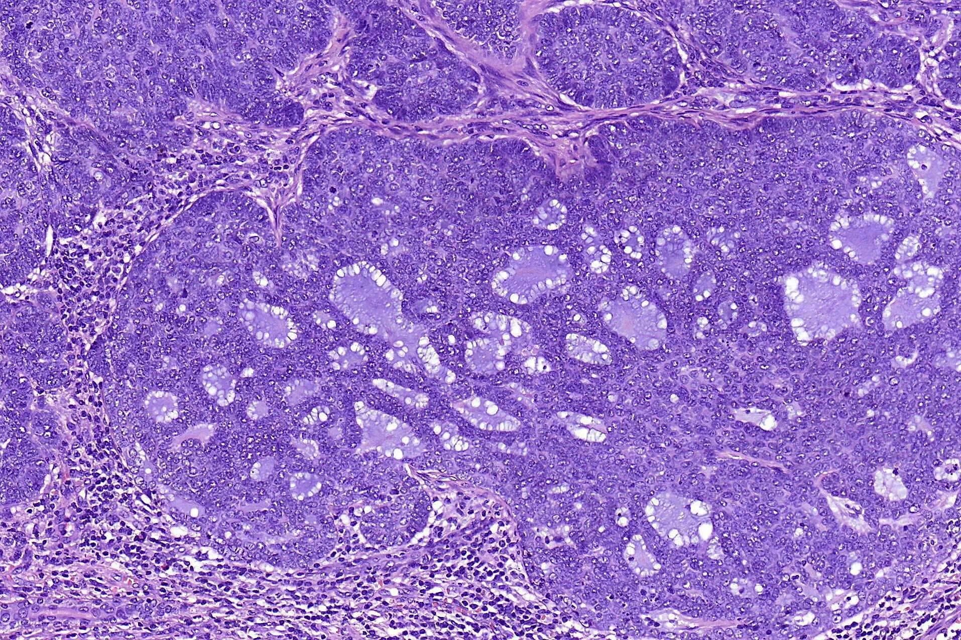
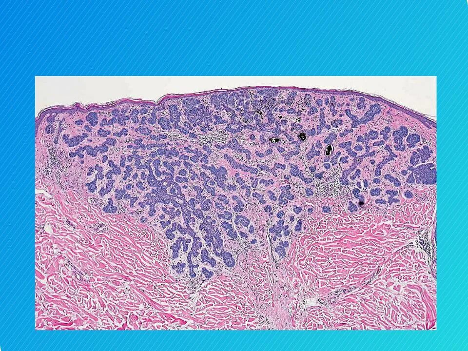
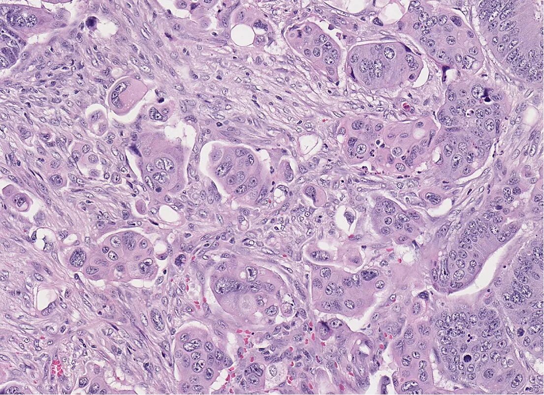
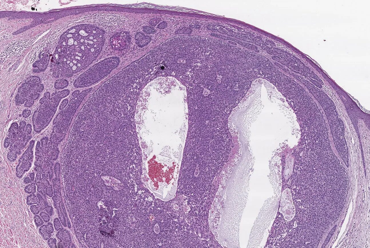
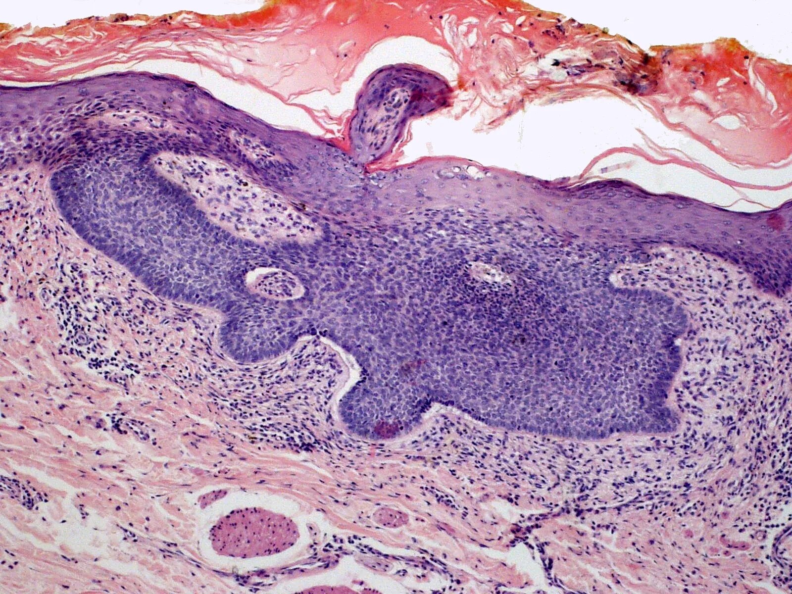
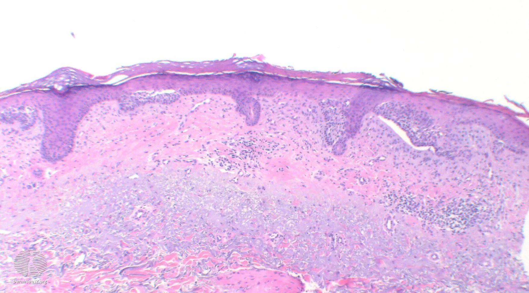
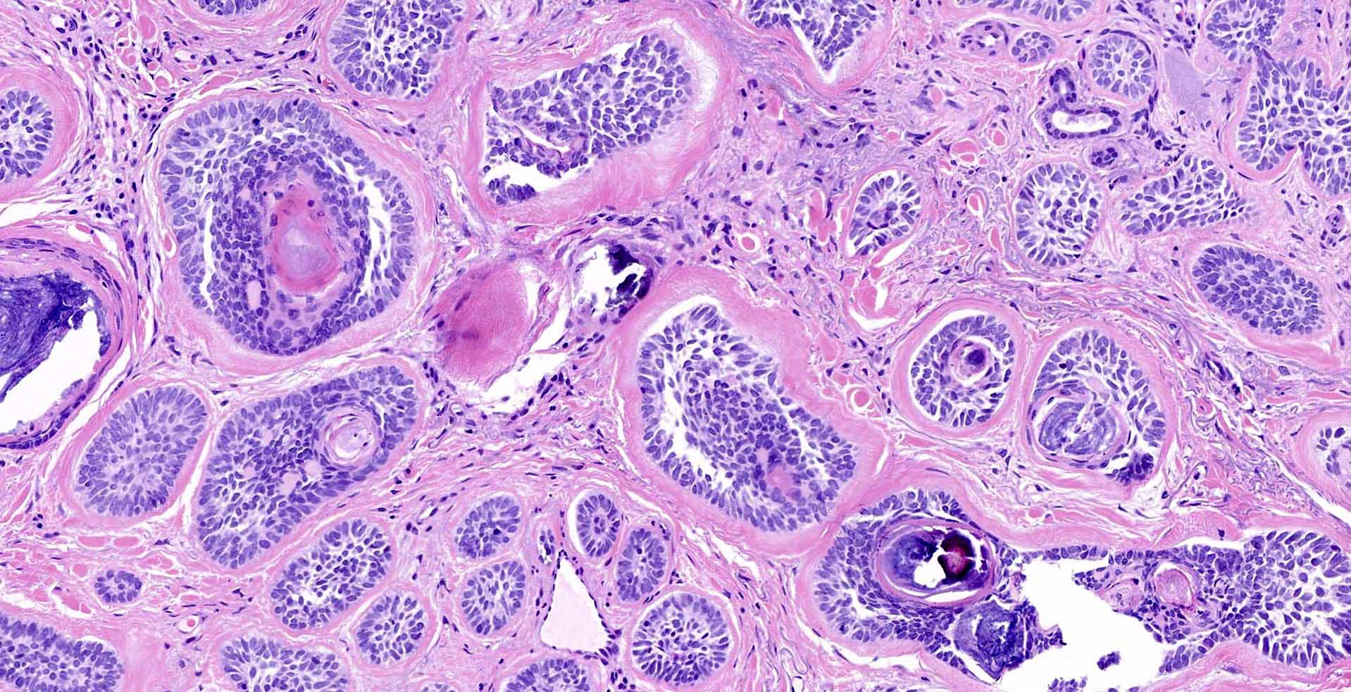
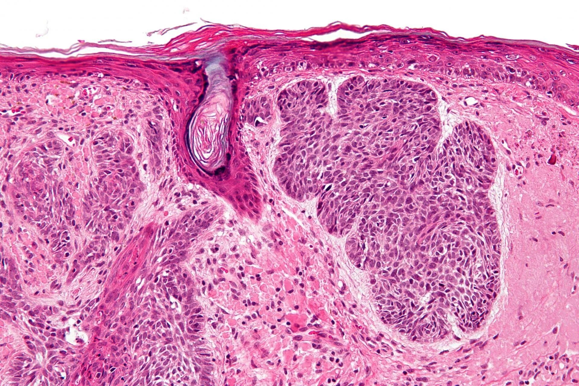
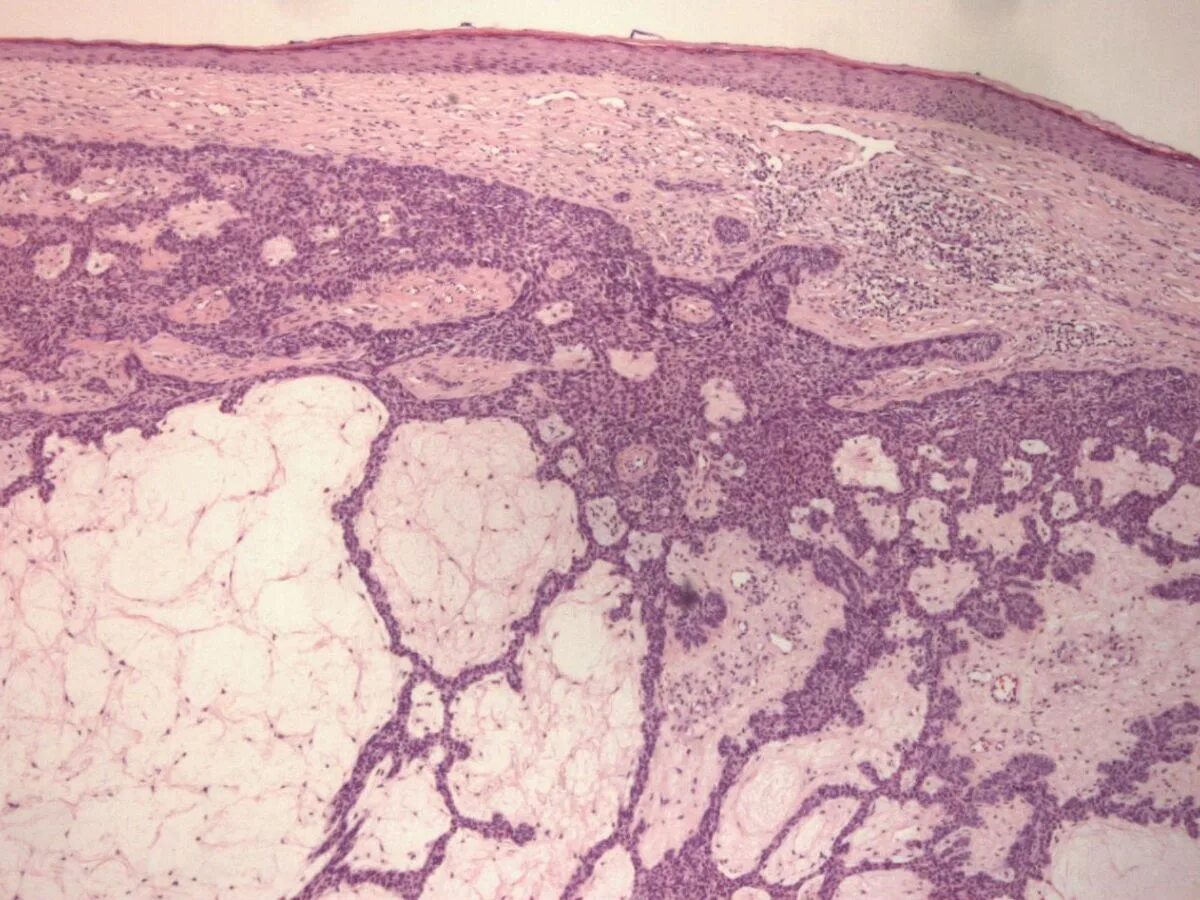
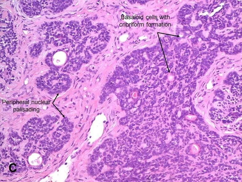
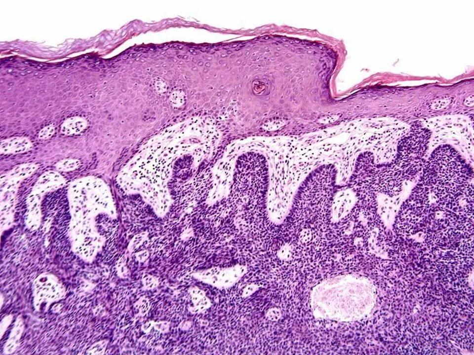
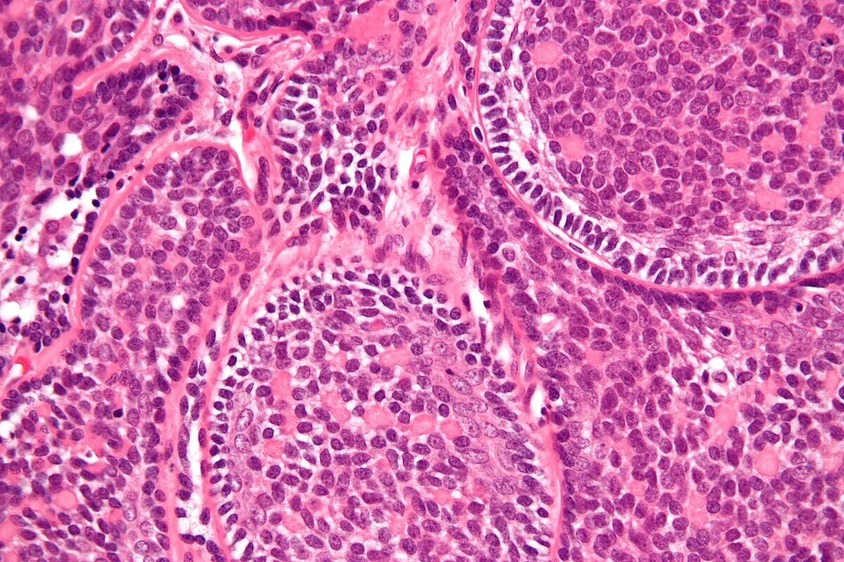
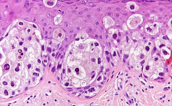
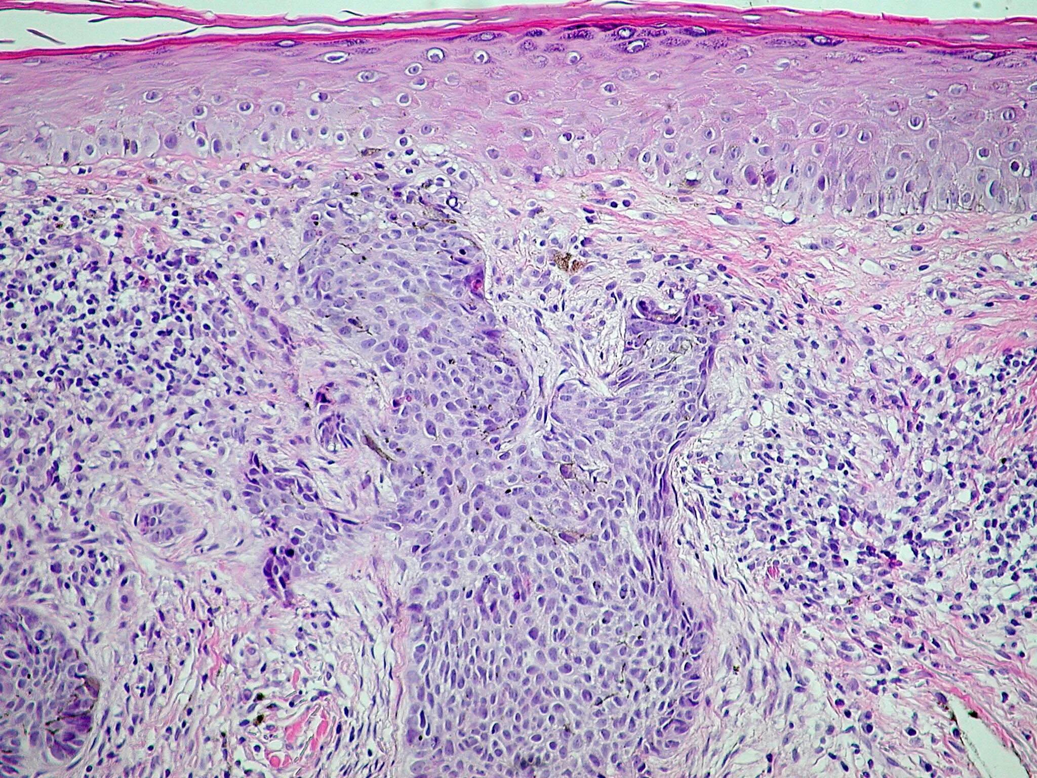
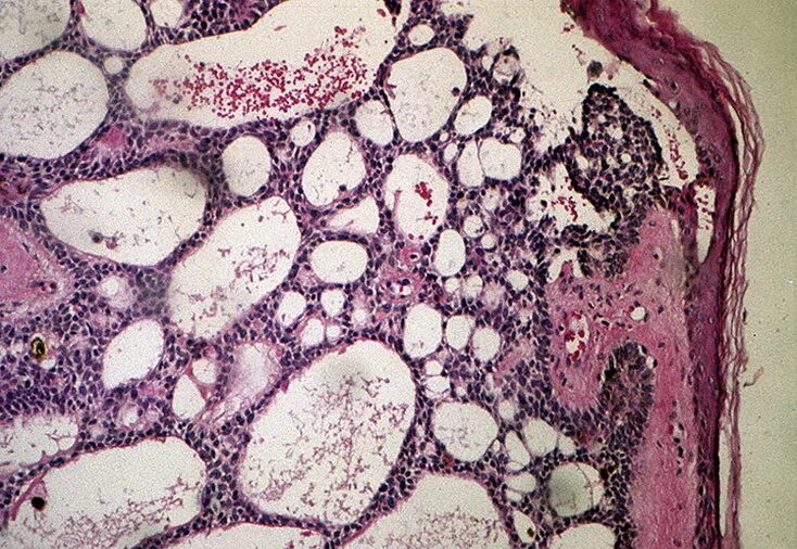
Гистология базалиома