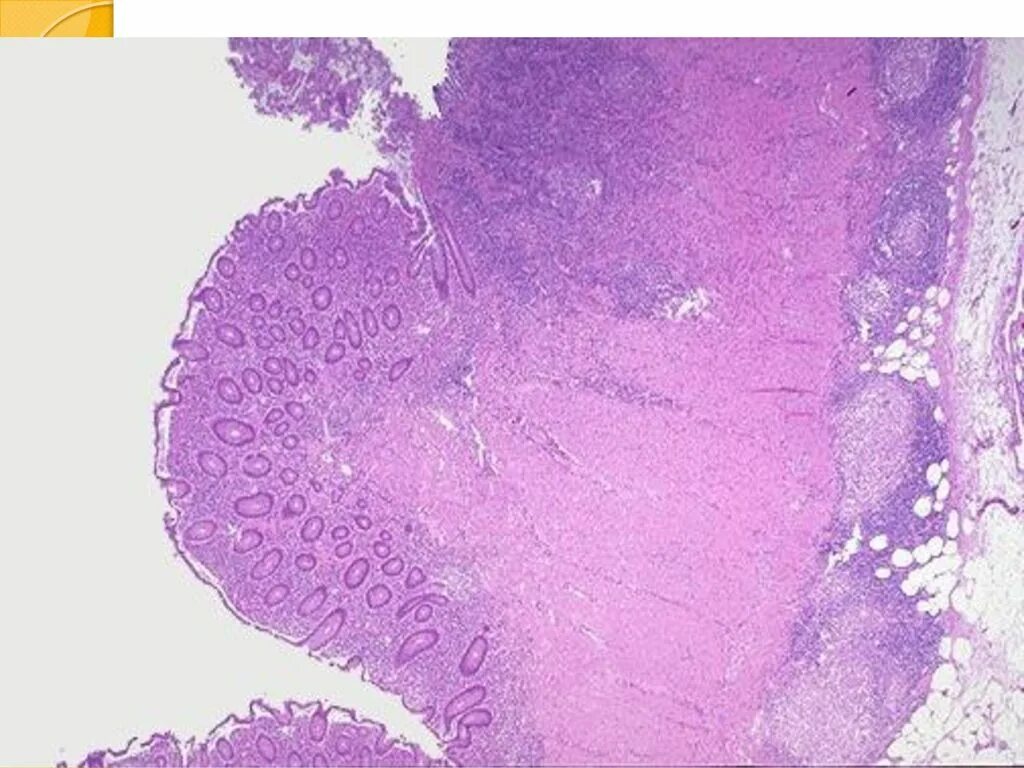
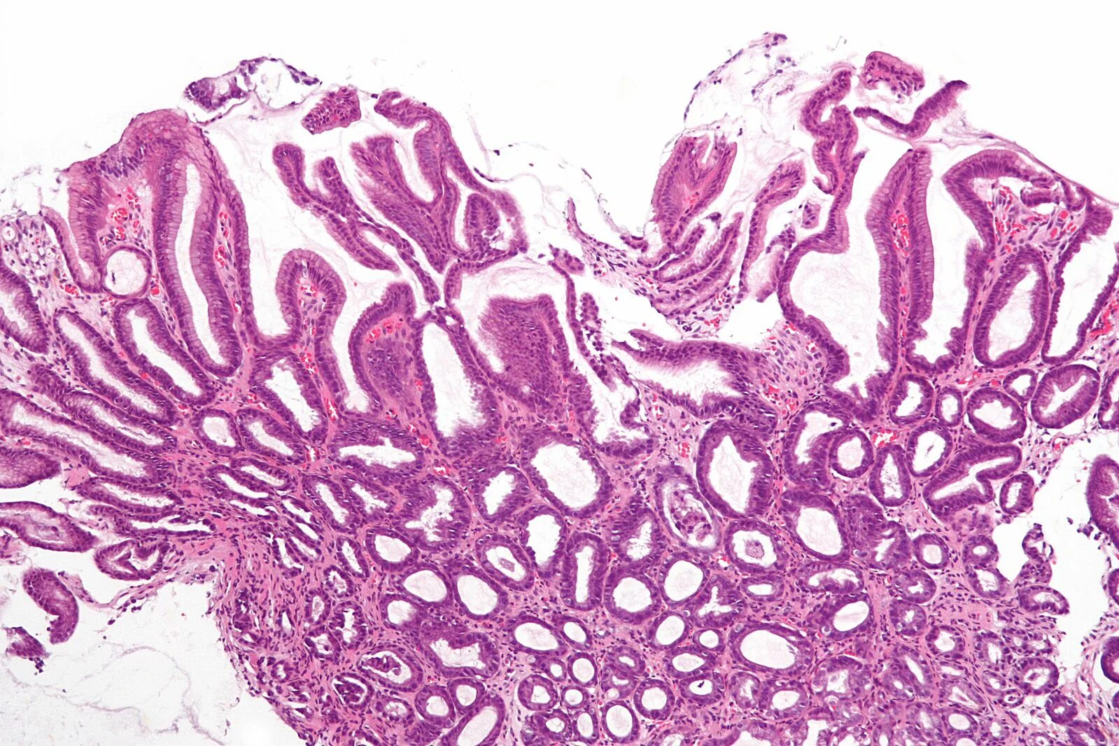
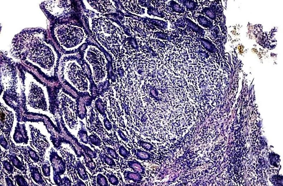
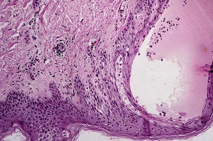
Гистологические заболевания