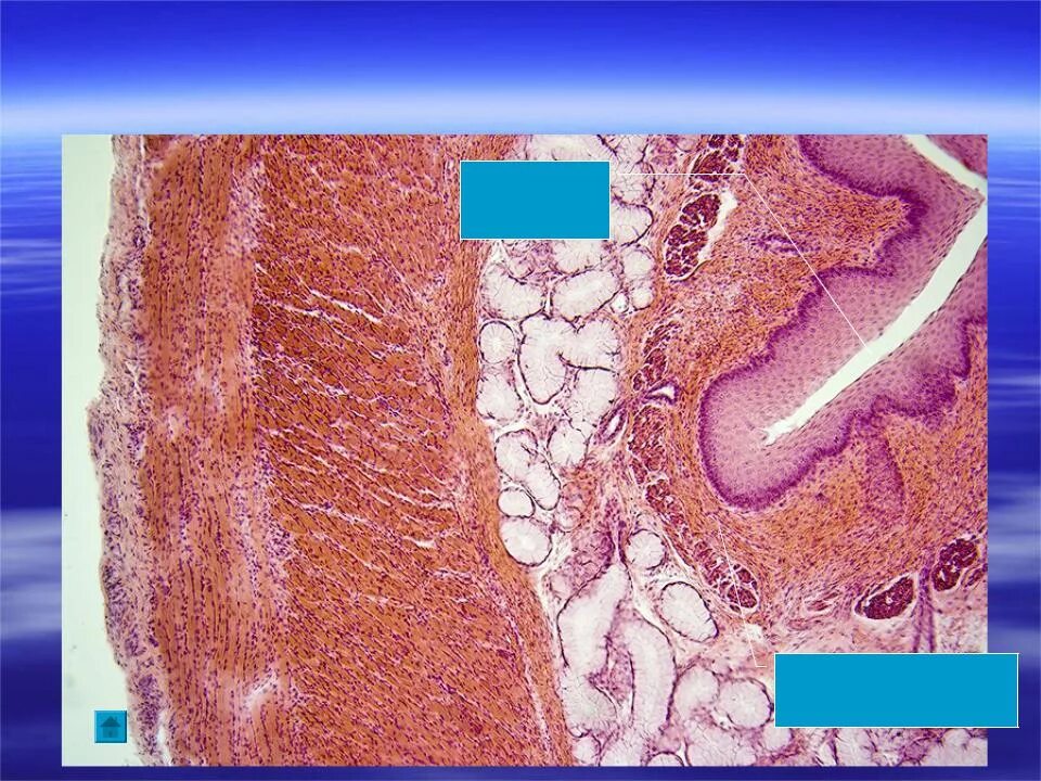
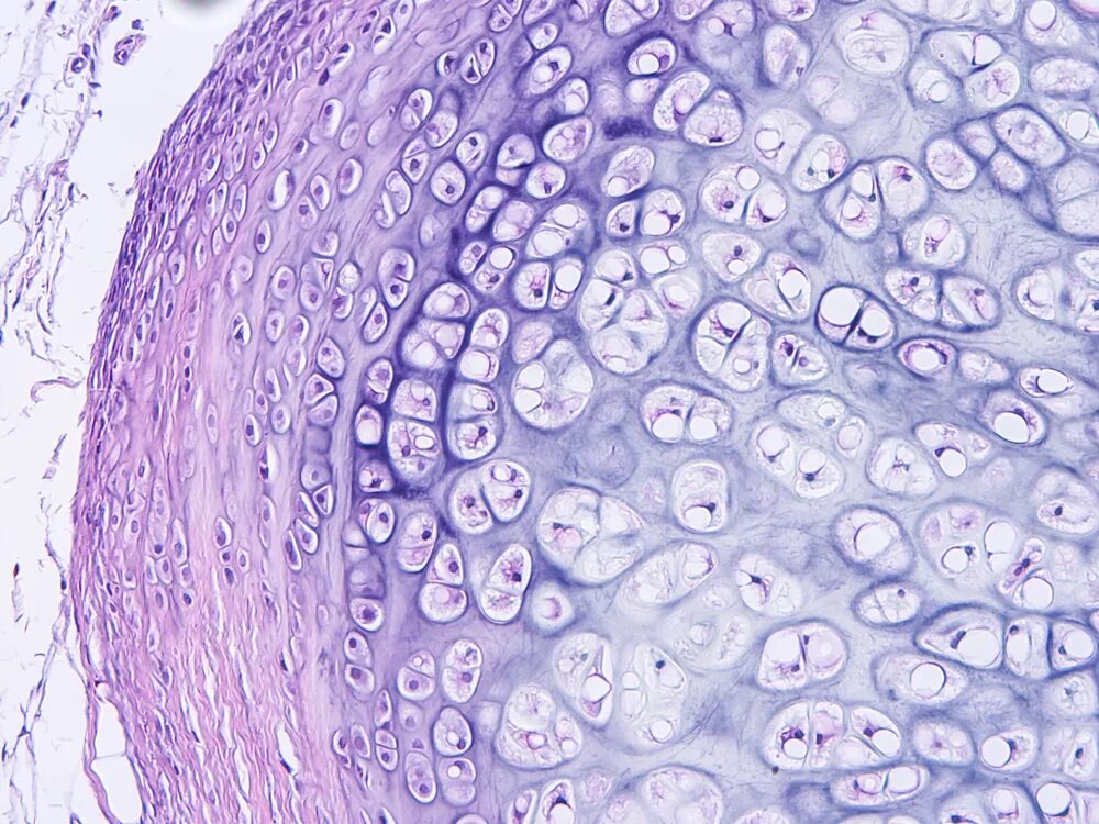
Гистологические препараты соединительная ткань