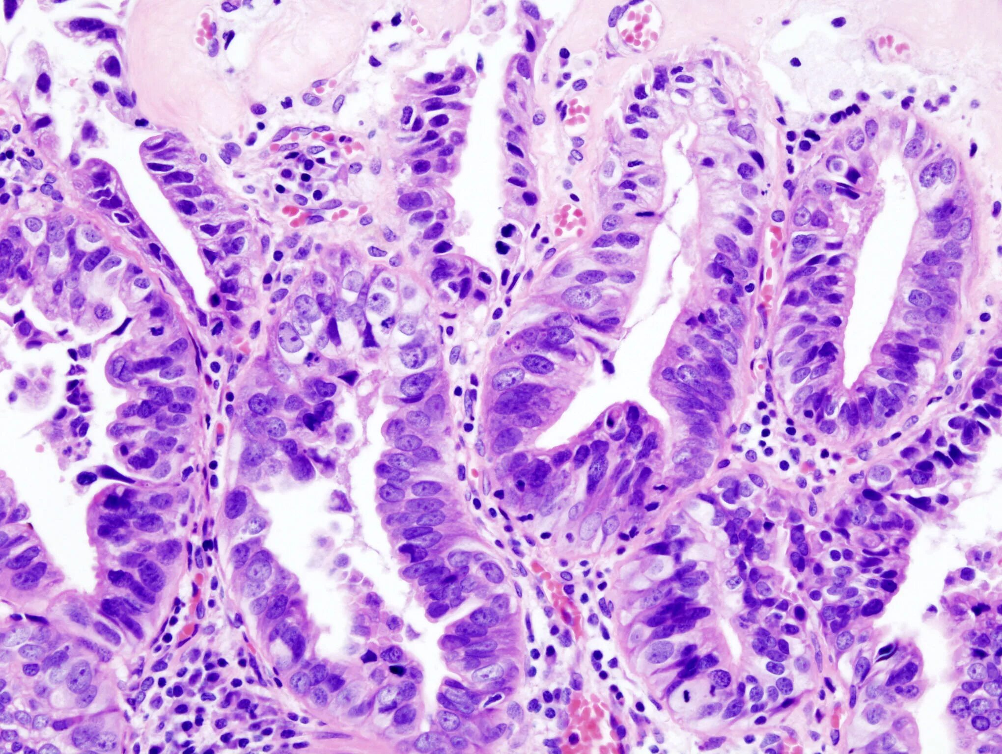
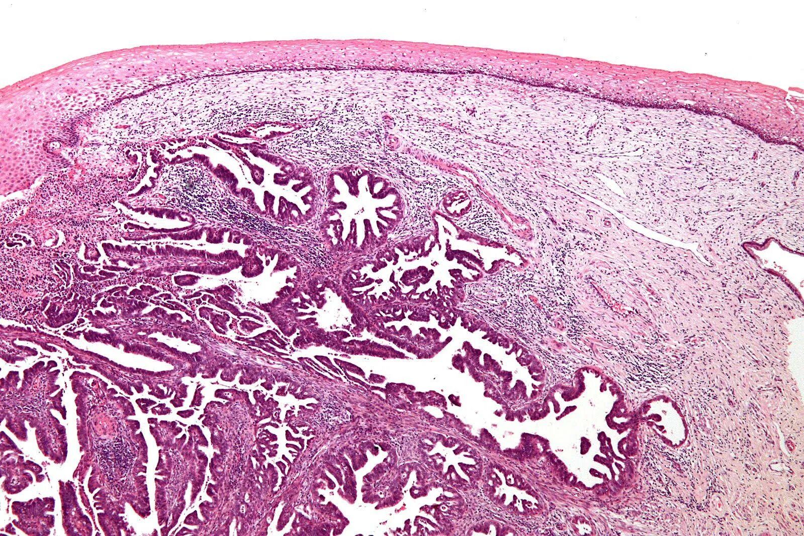
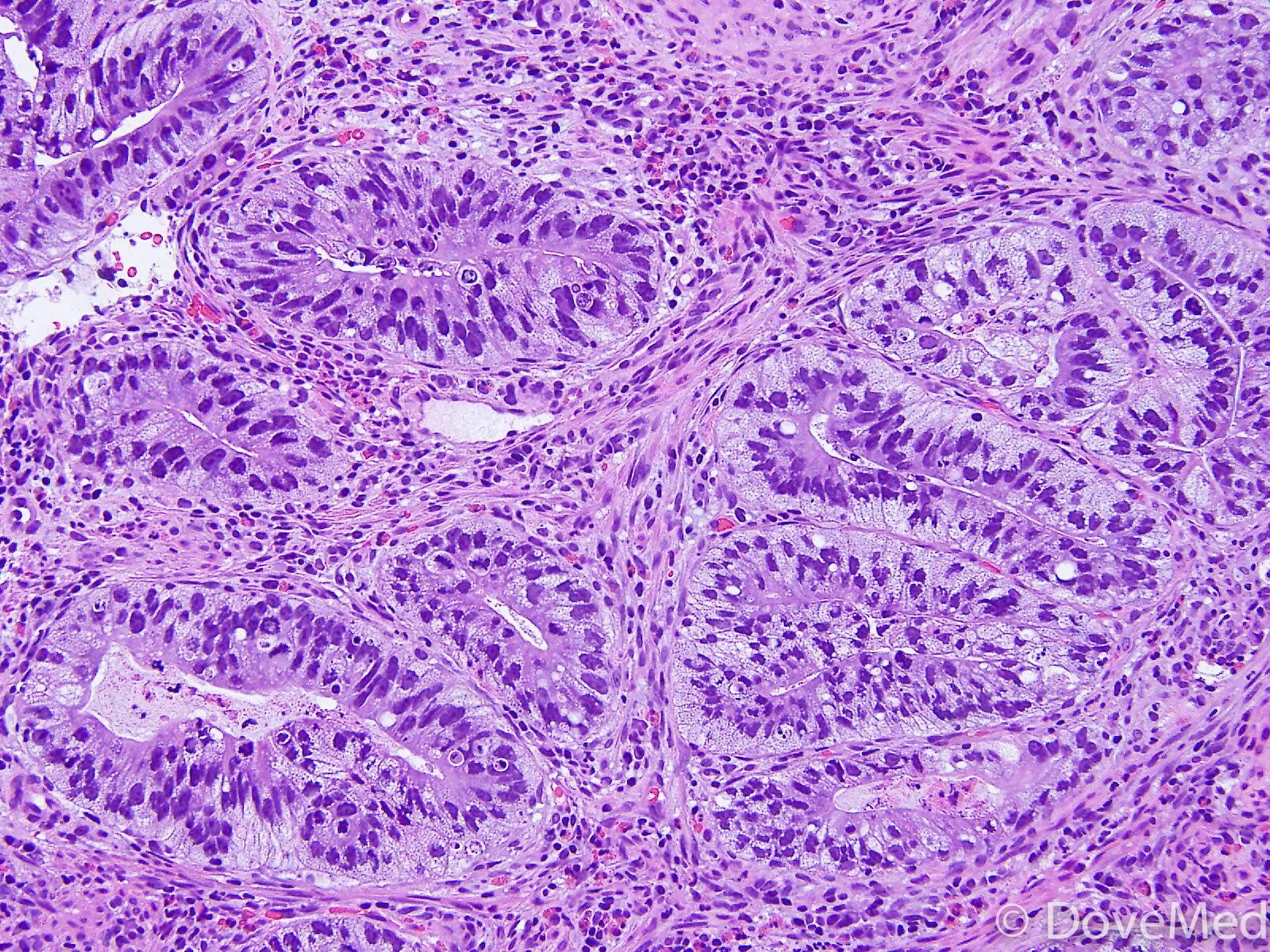
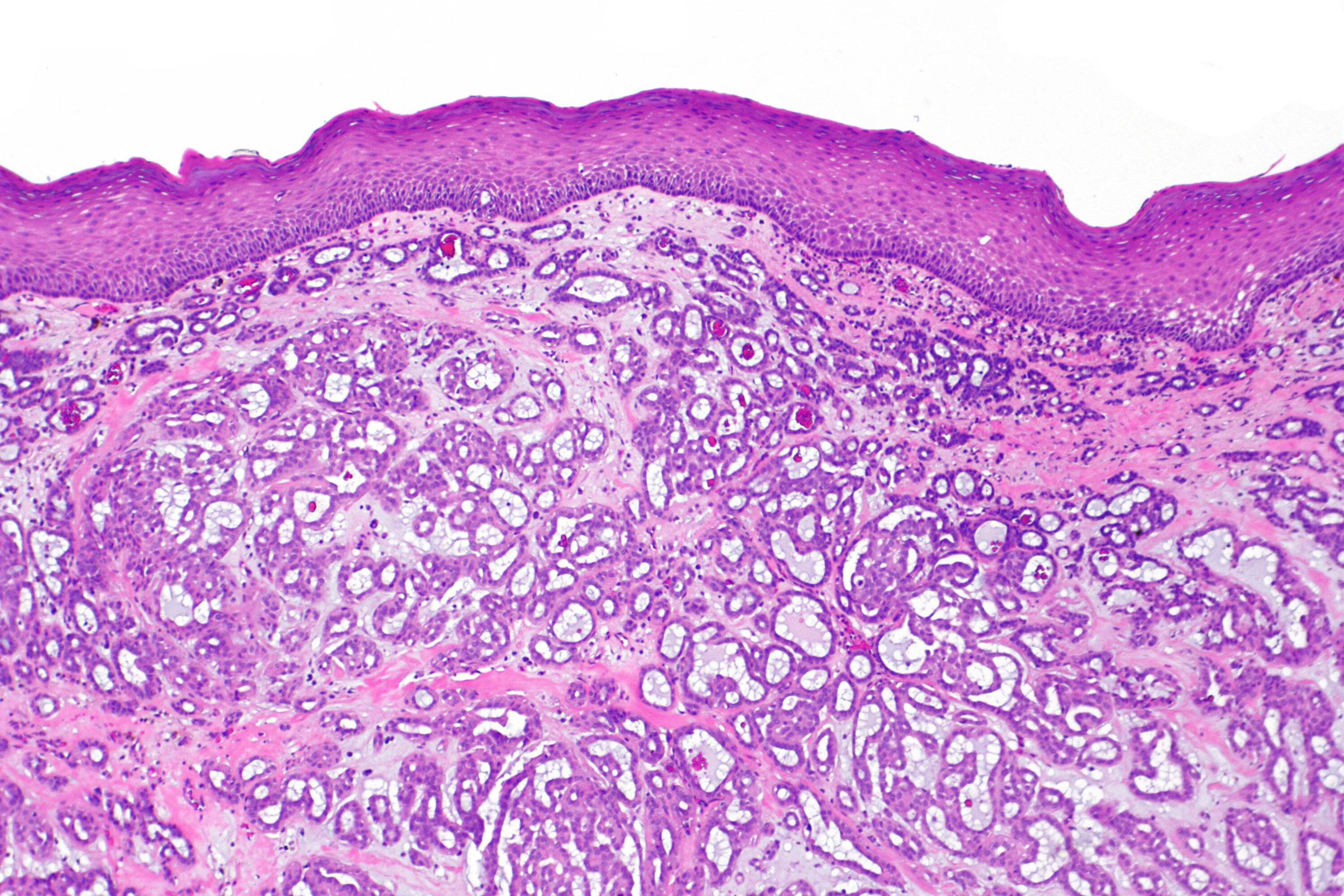
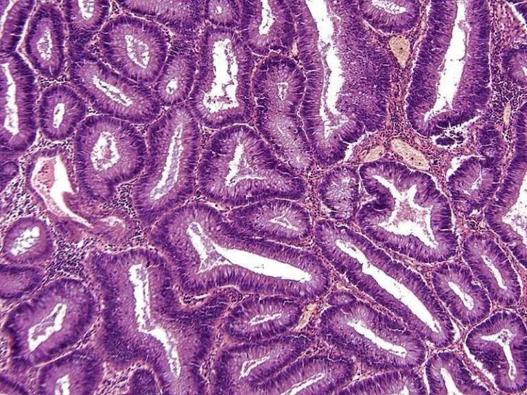
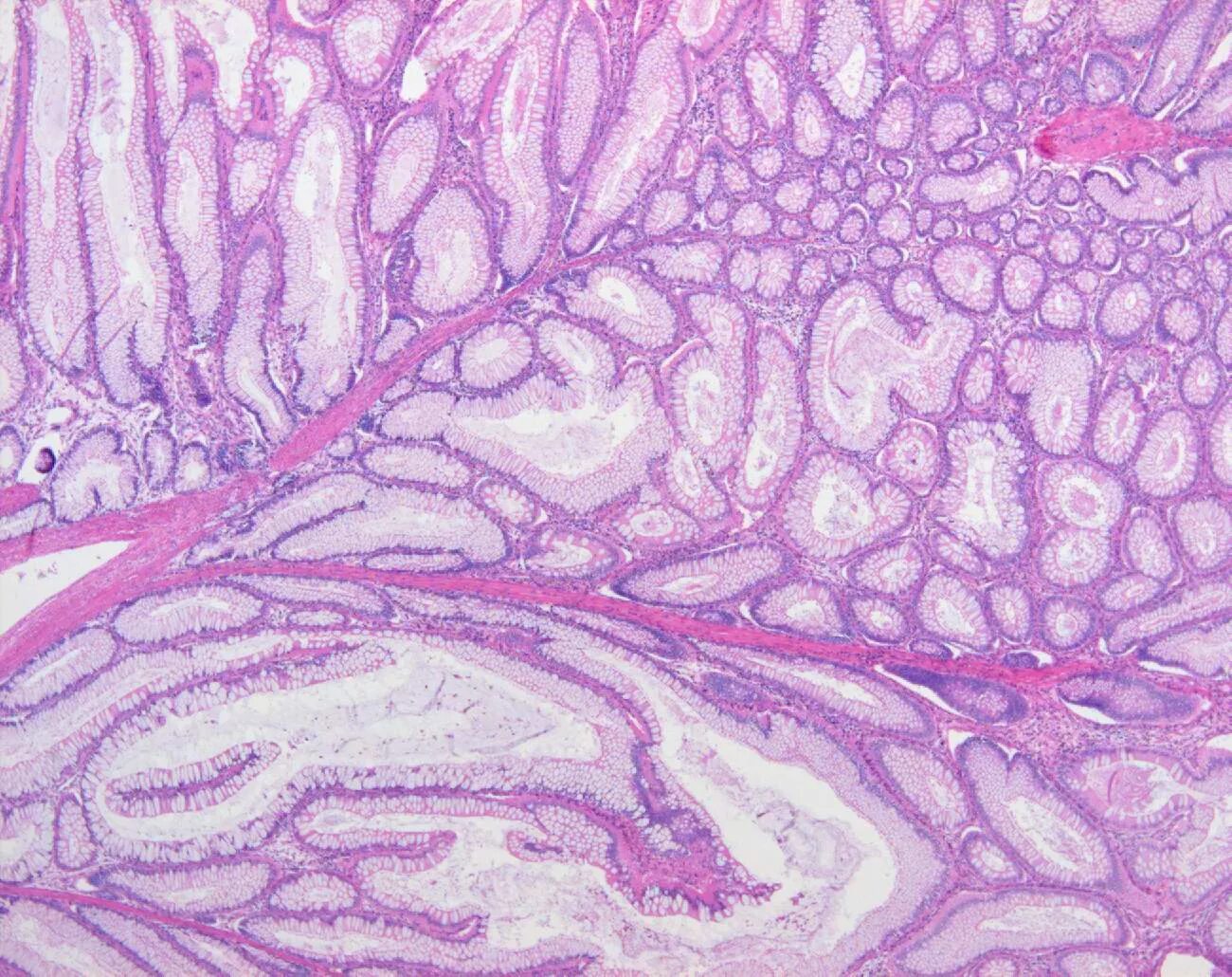
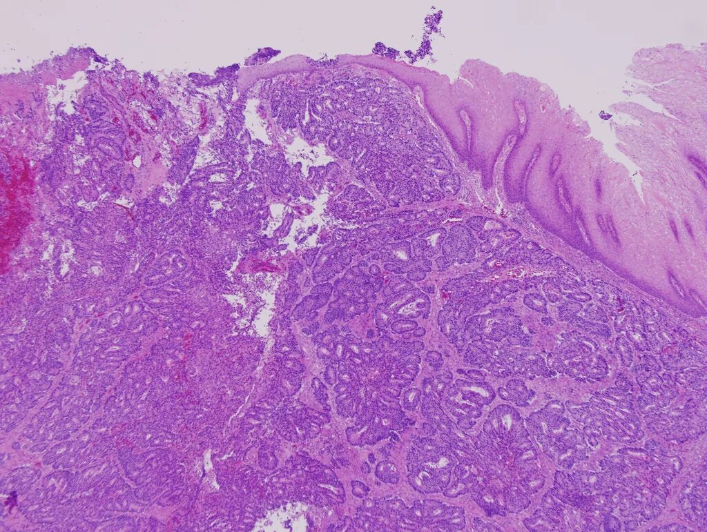
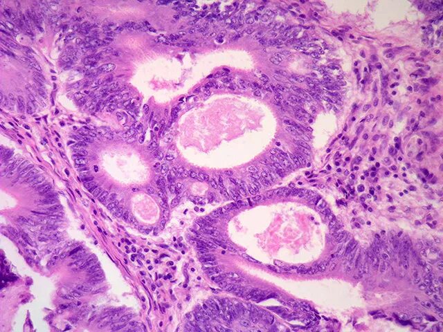
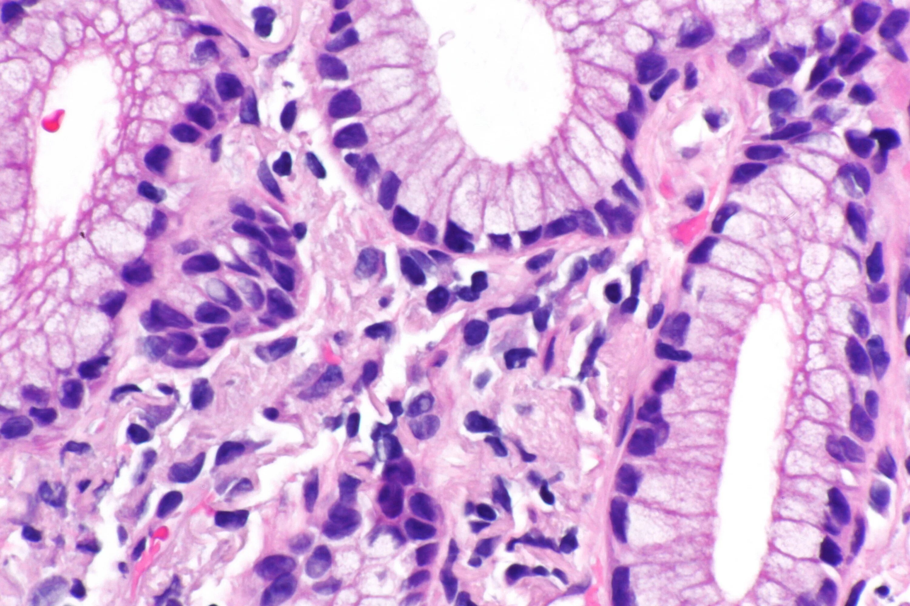
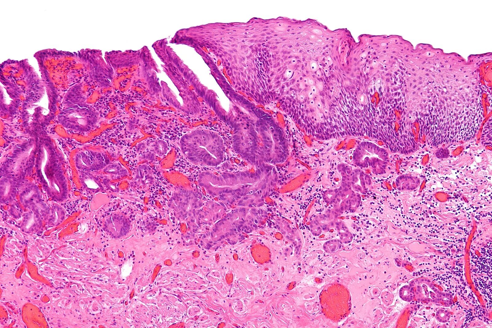
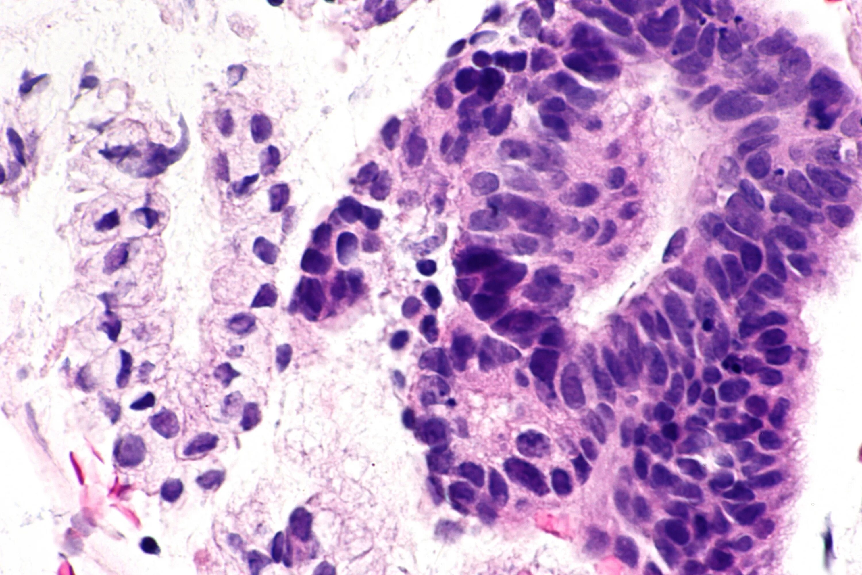
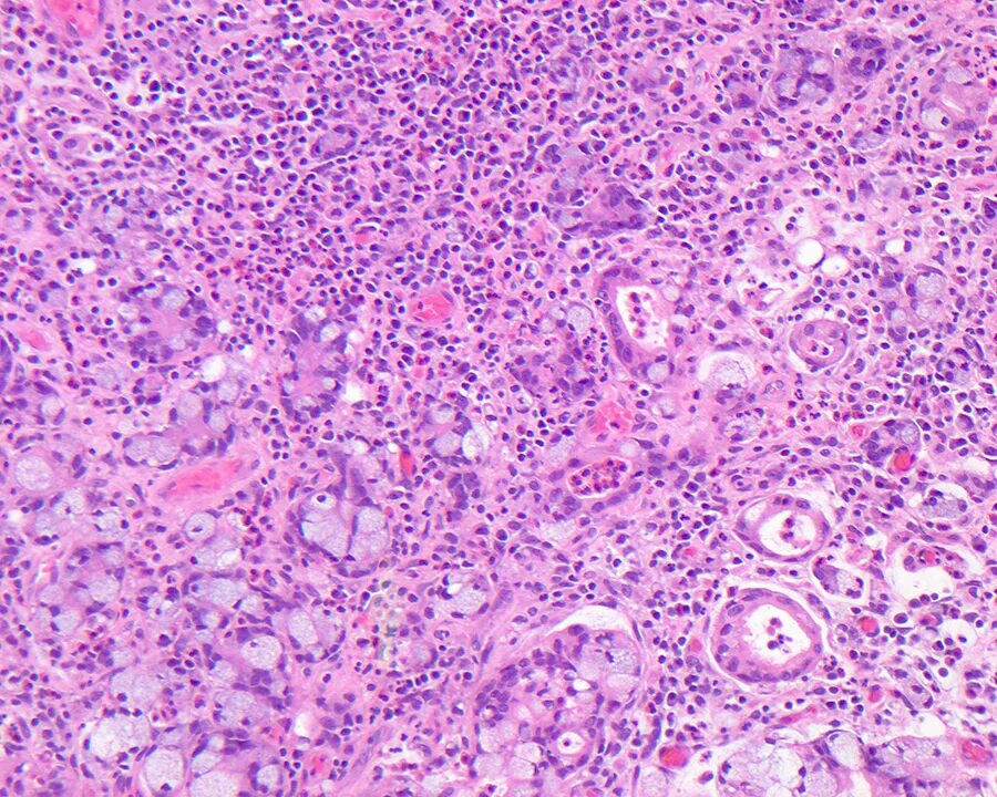
Гистологически аденокарцинома