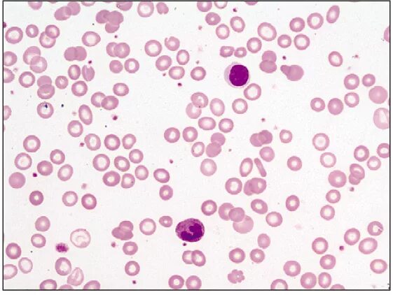
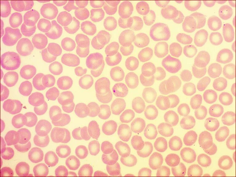
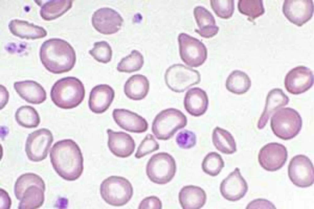
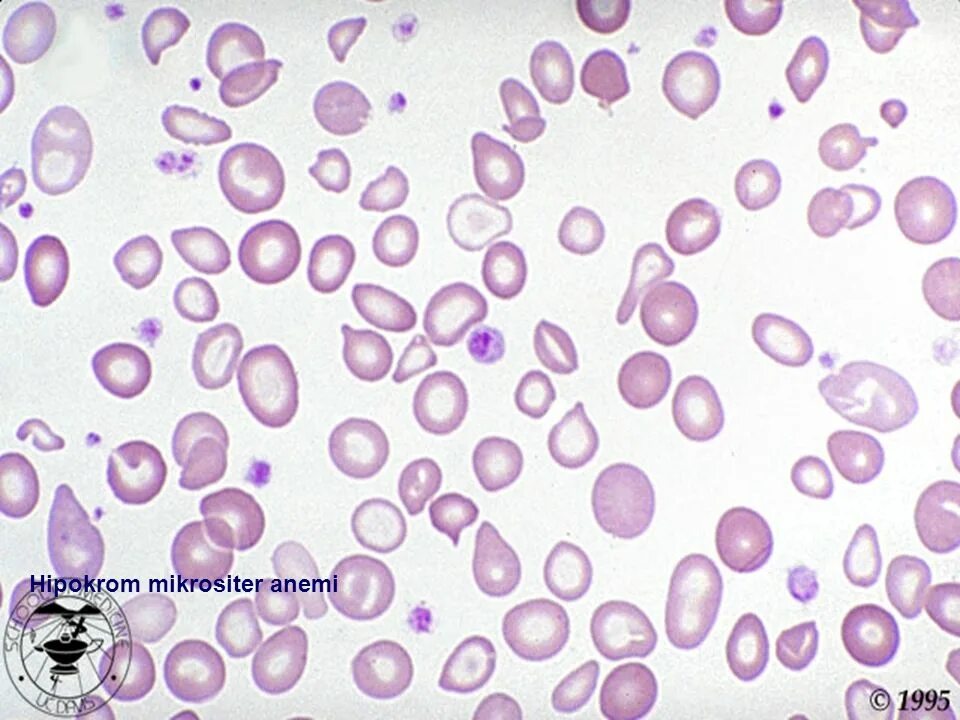
Гипохромия эритроцитов