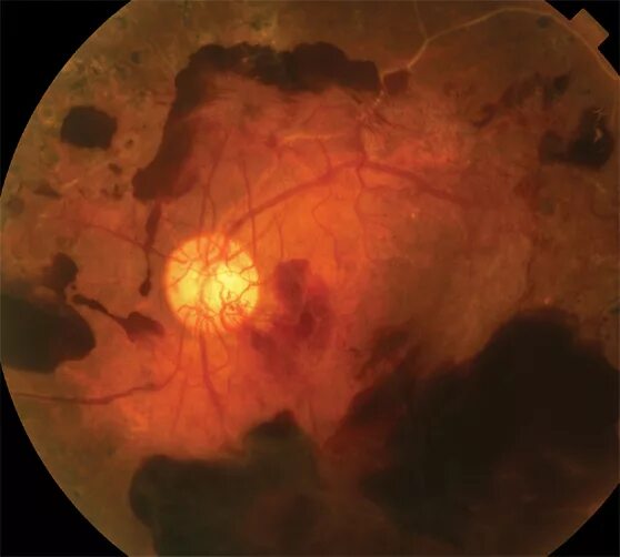
Гемофтальм мкб