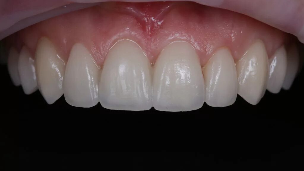
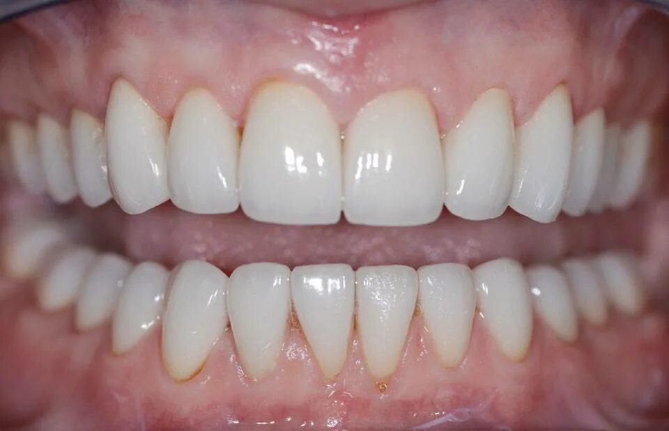
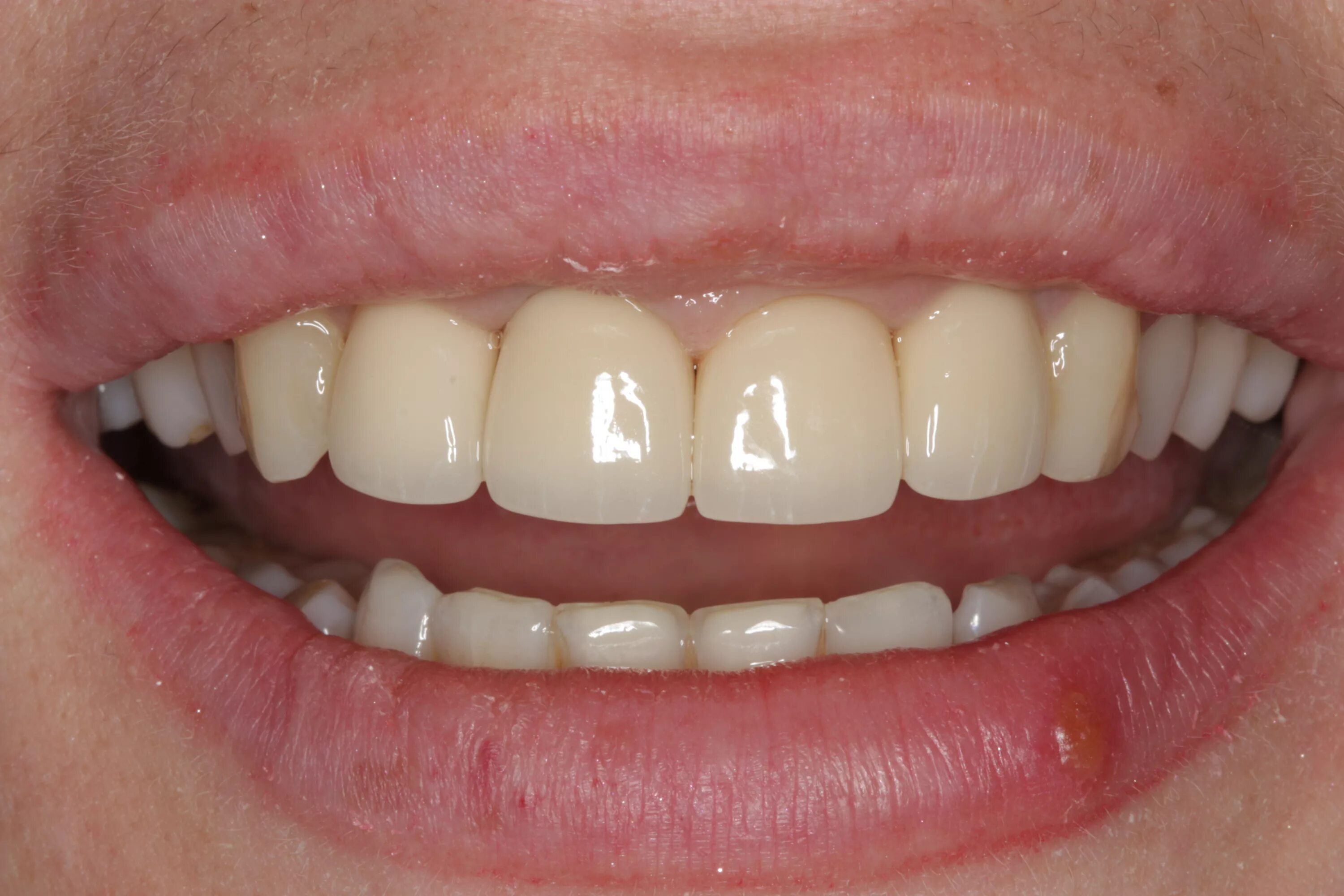
Фронтальные зубы