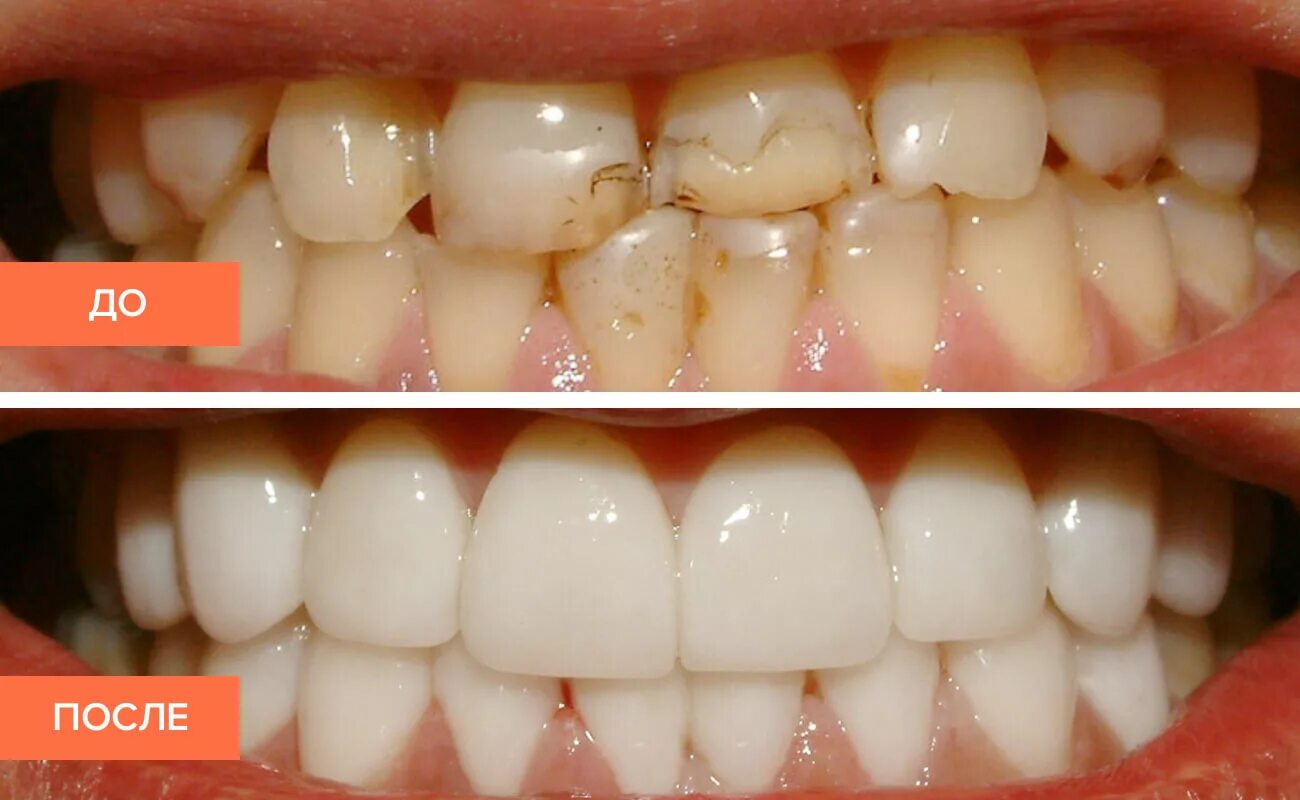
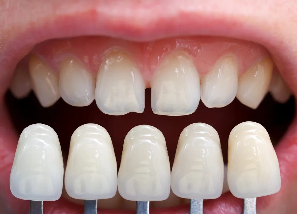
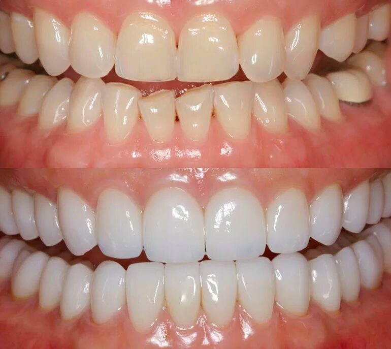
Эстетическая реставрация