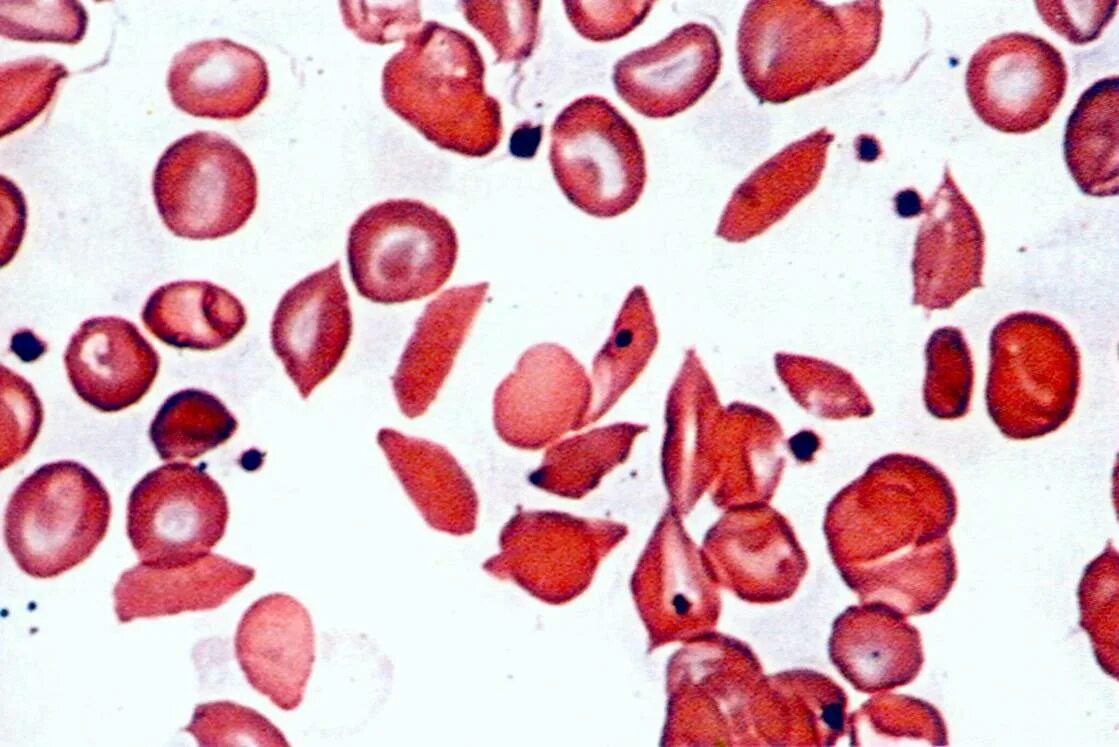
Эритроциты 12