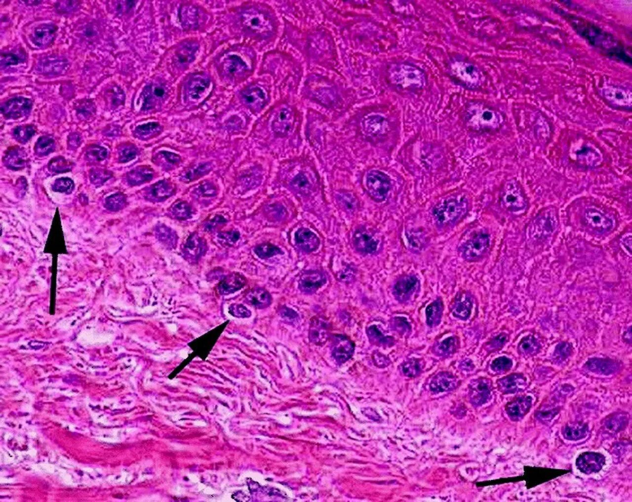
Эпидермис содержит меланин