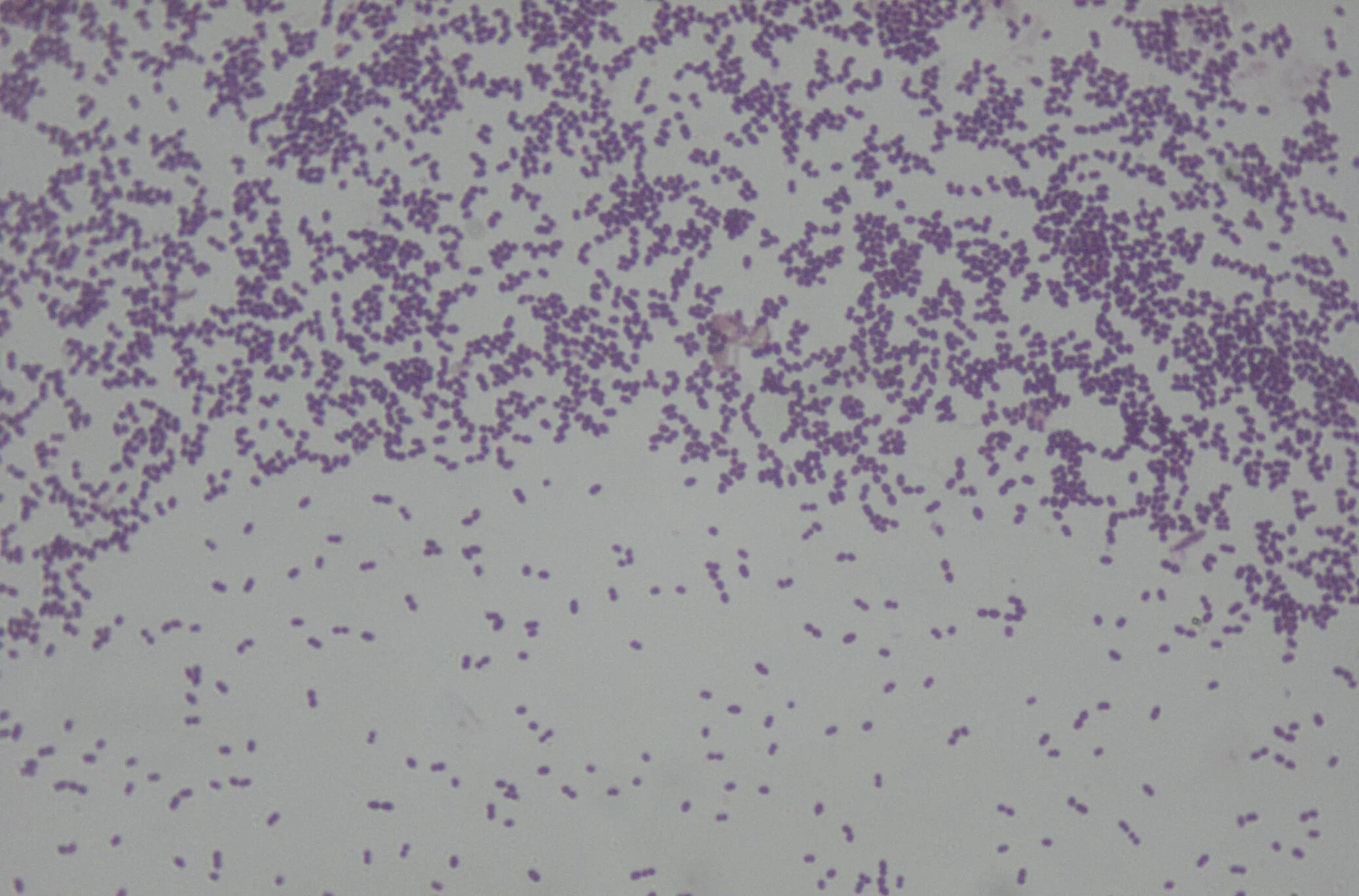
Enterococcus faecalis