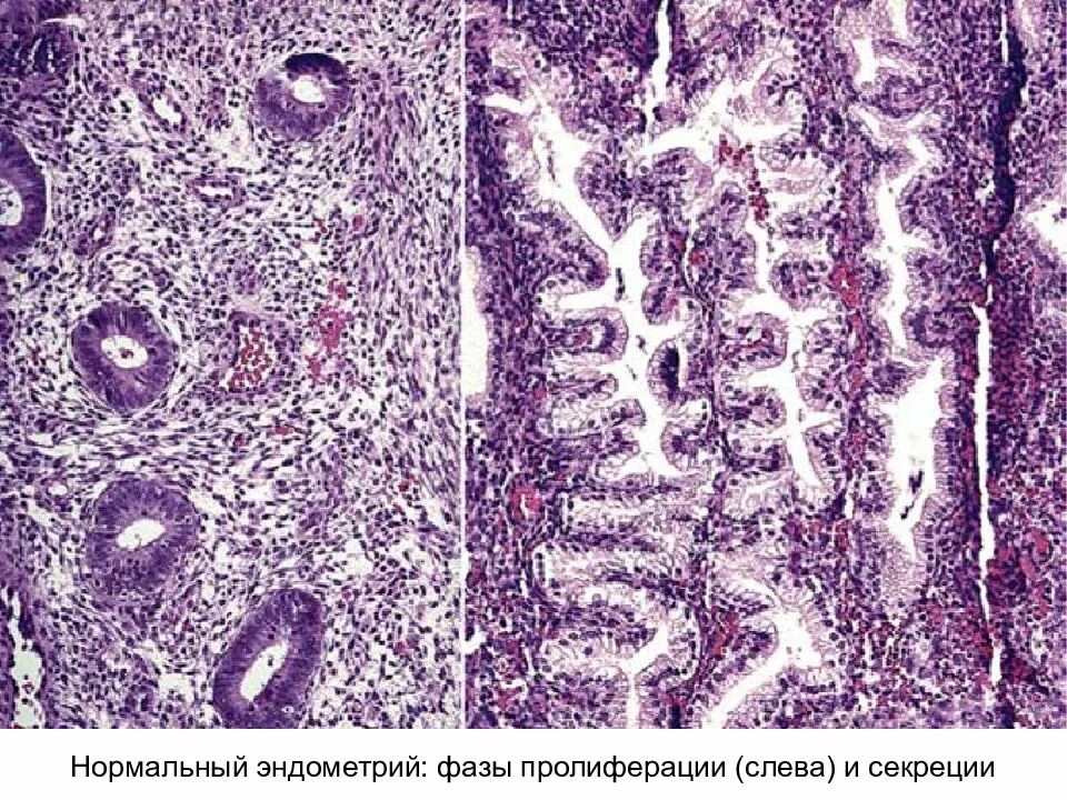
Эндометрий в фазе пролиферации гистология