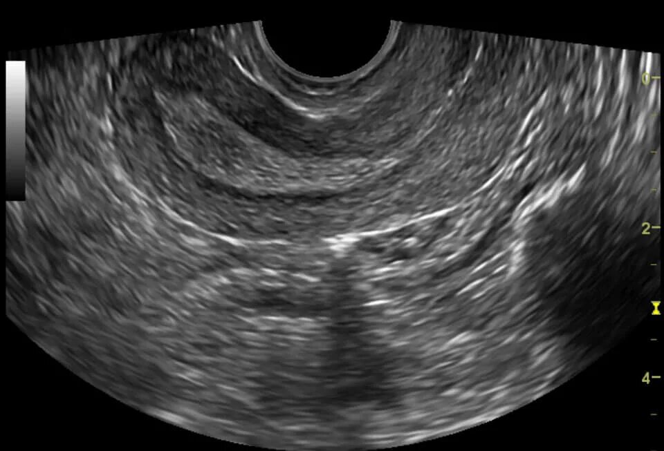
Эндометрий 9 мм