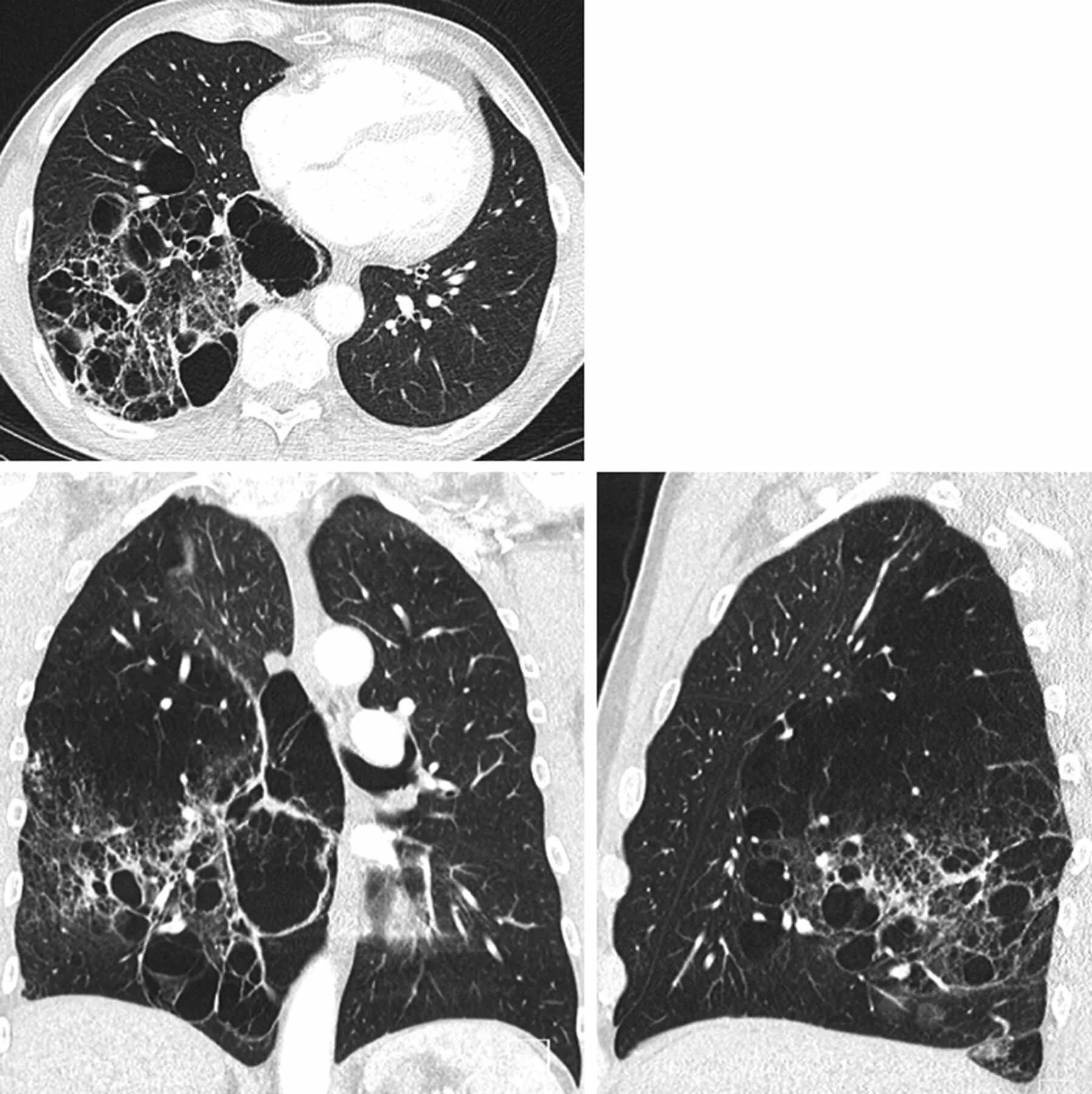
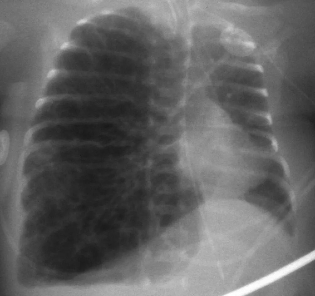
Эмфизема бывает