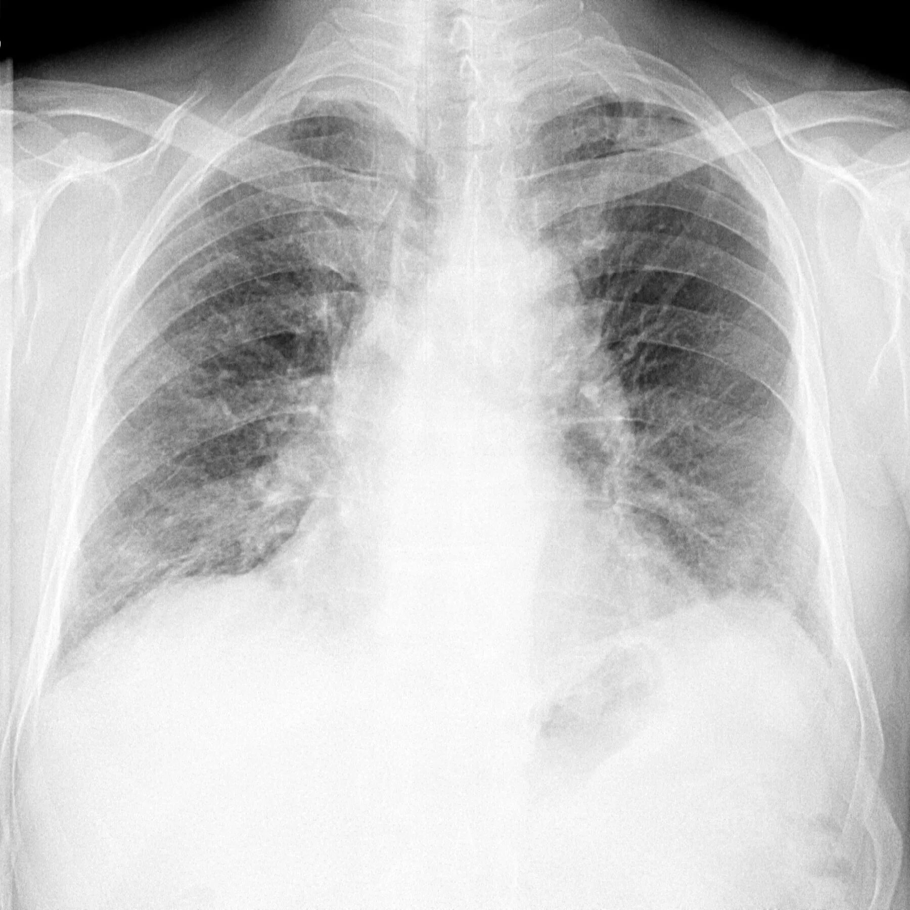
Дыхательная при пневмосклерозе