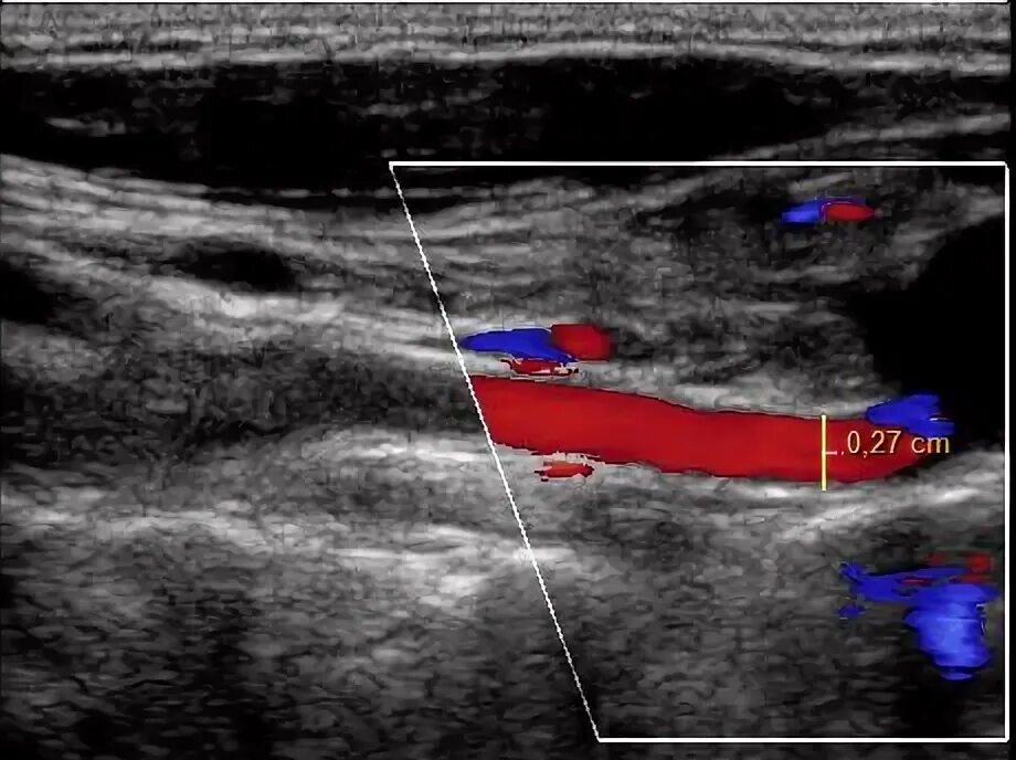
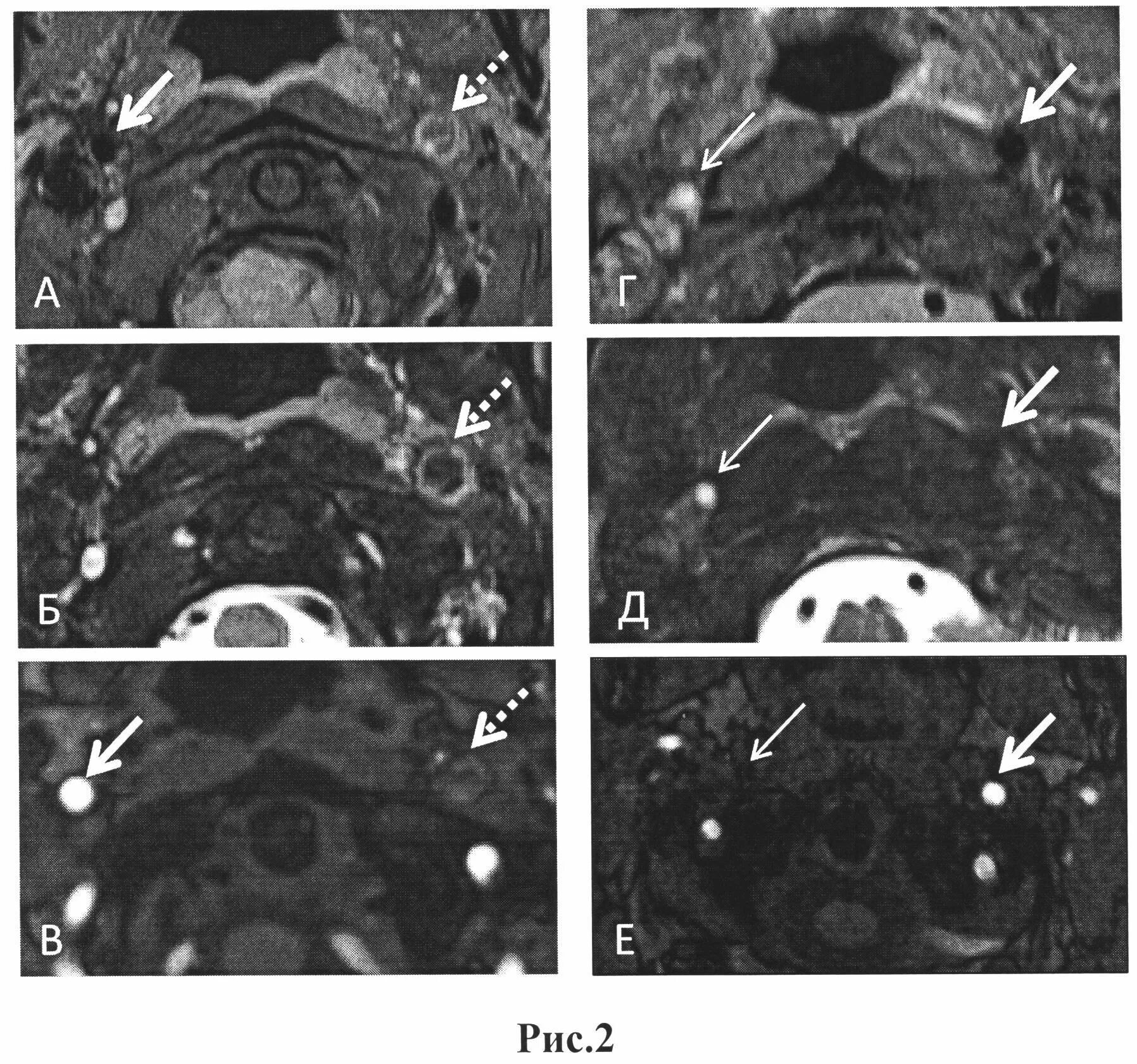
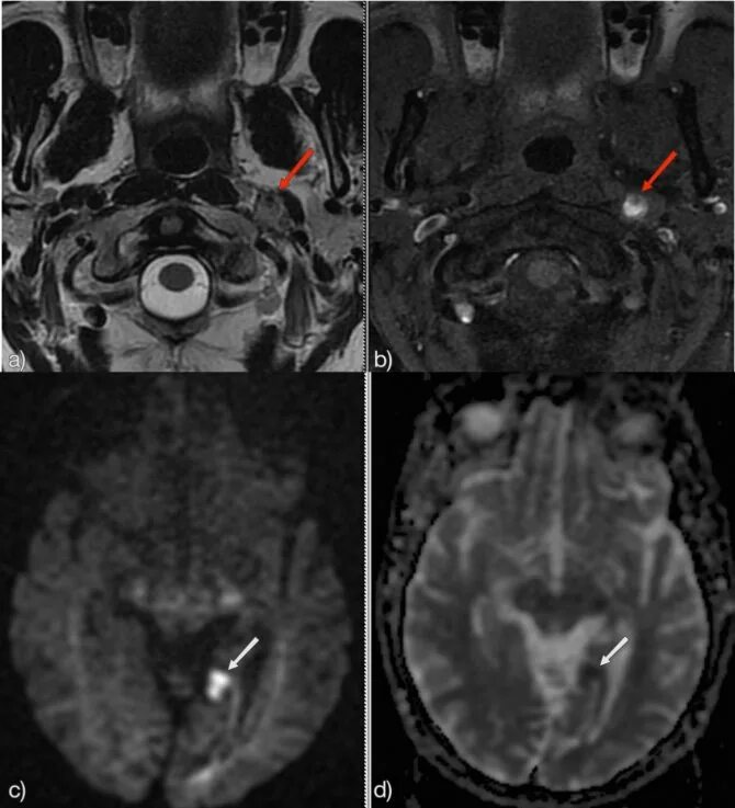
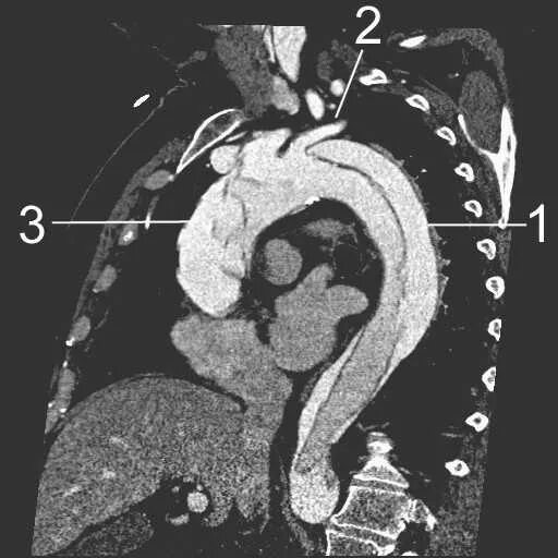
Диссекция вса