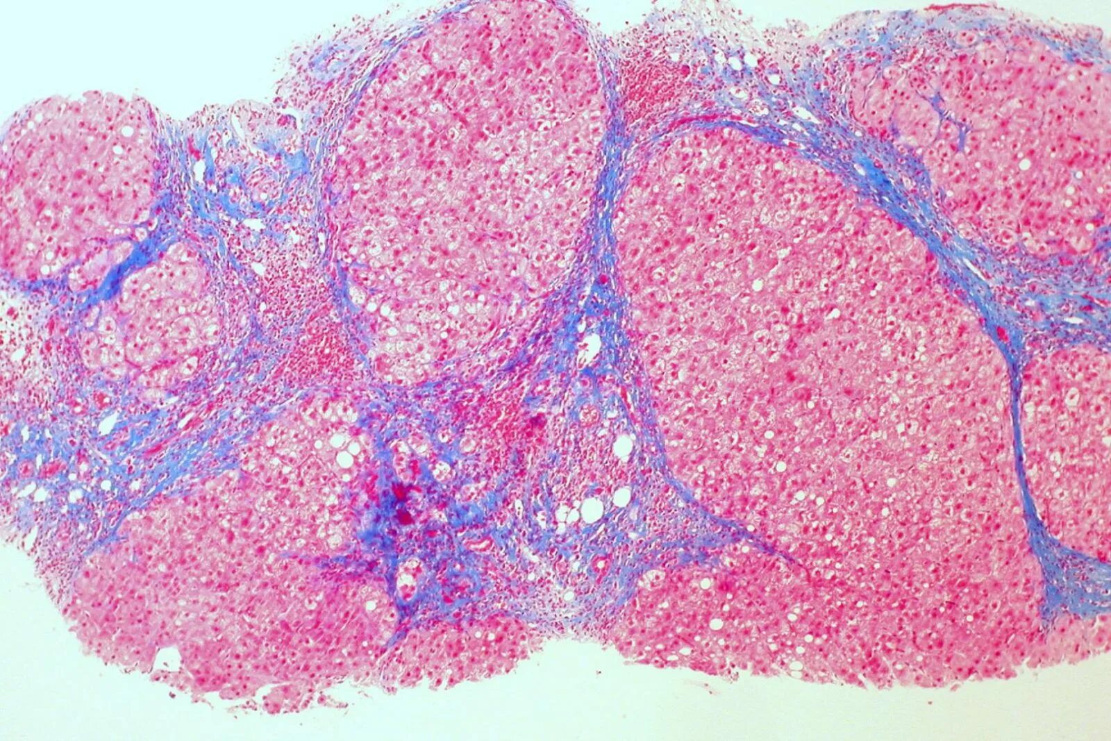
Диффузный фиброз печени