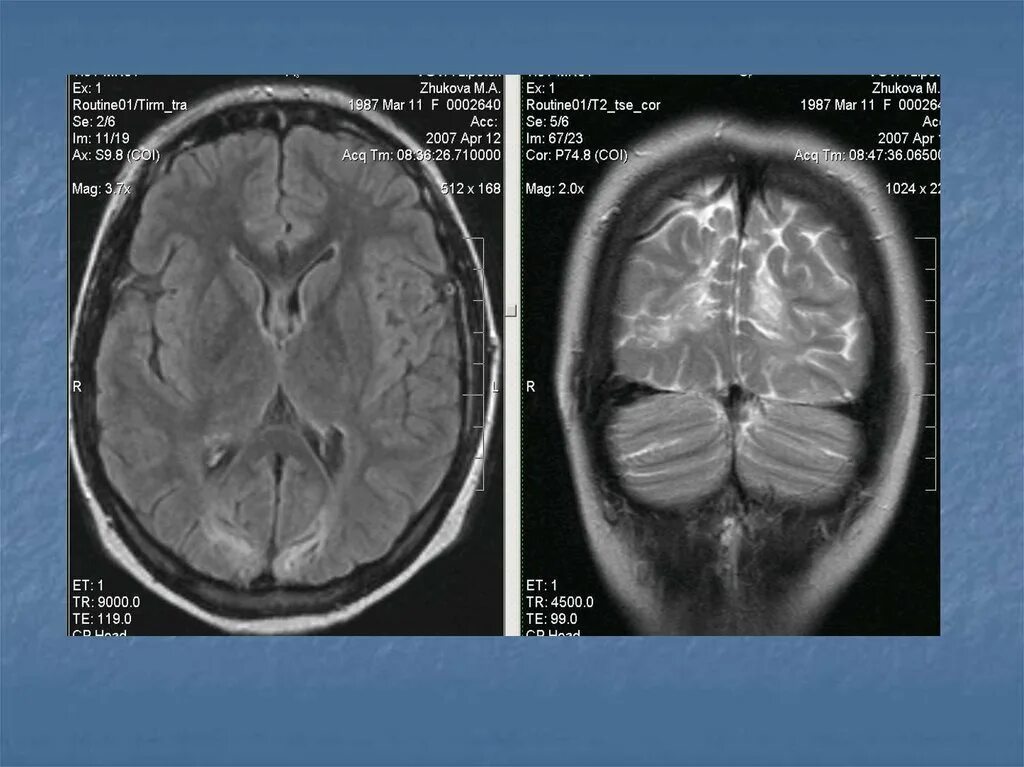
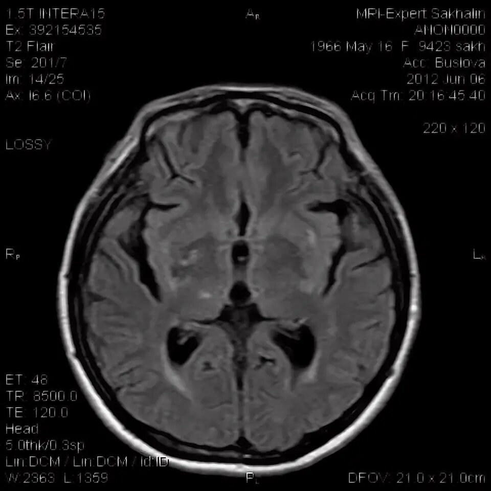
Диффузные изменения вещества головного мозга