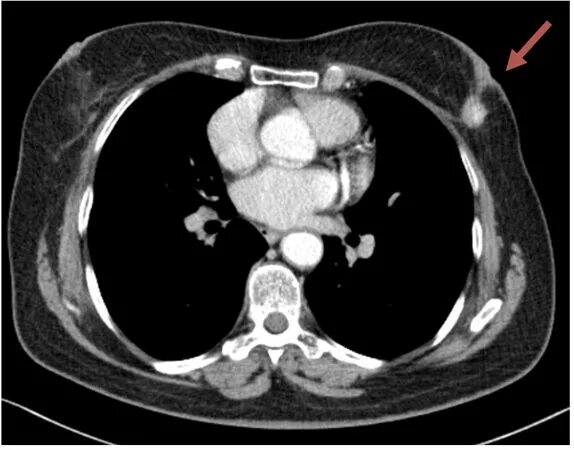
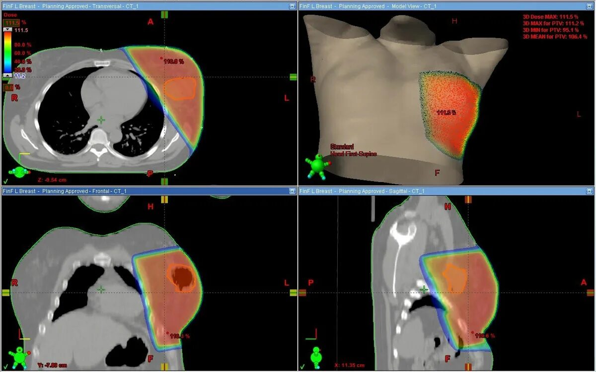
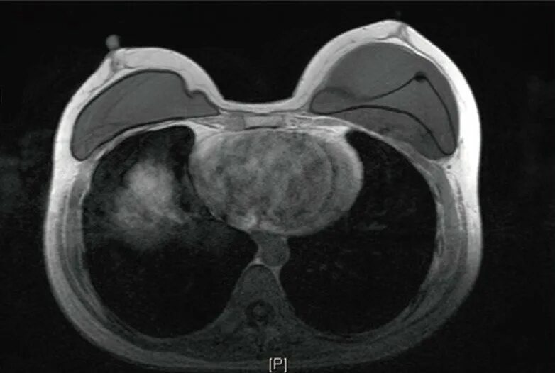
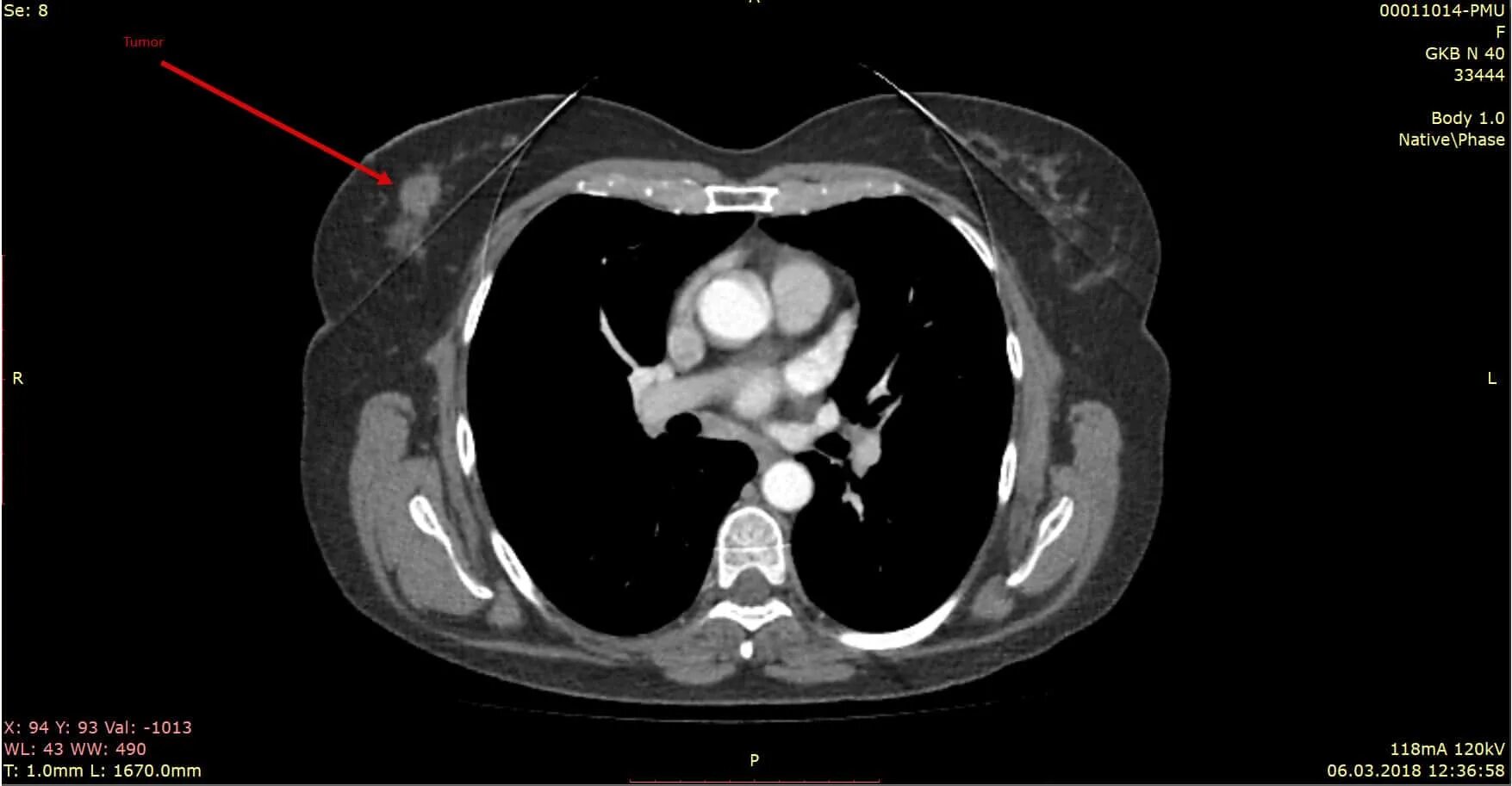
Делают ли кт молочных желез