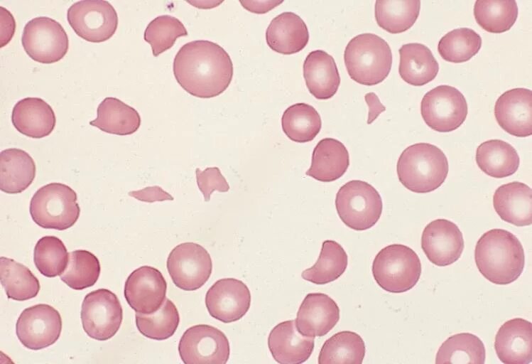
Дефекты эритроцитов