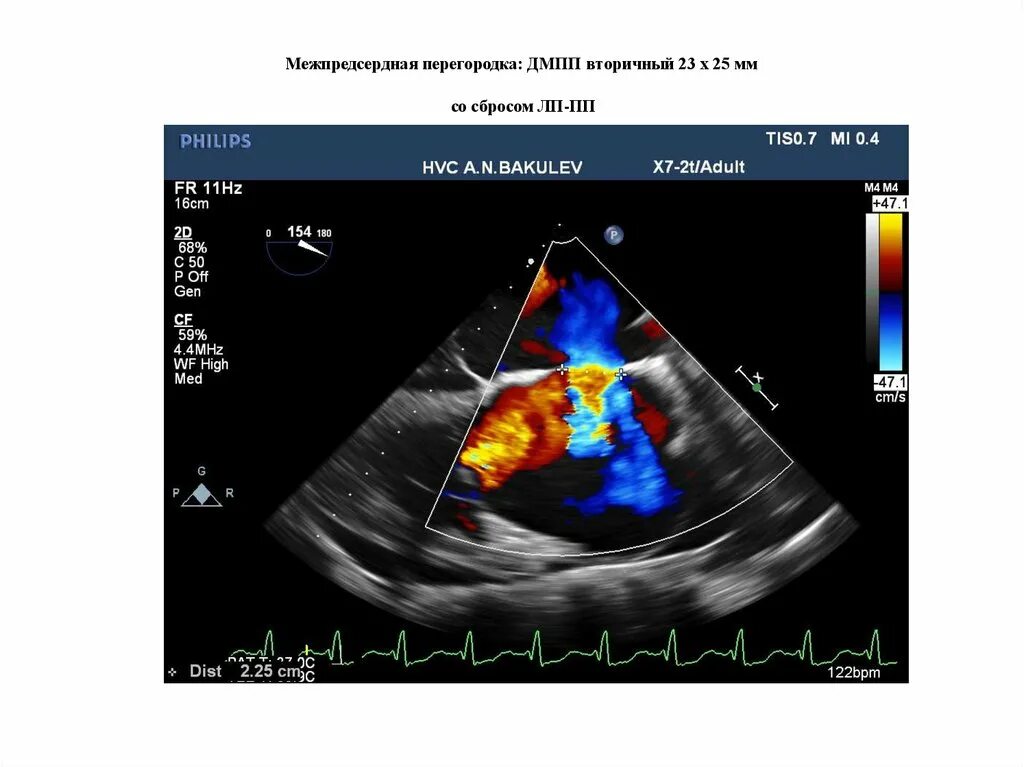
Дефект мпп