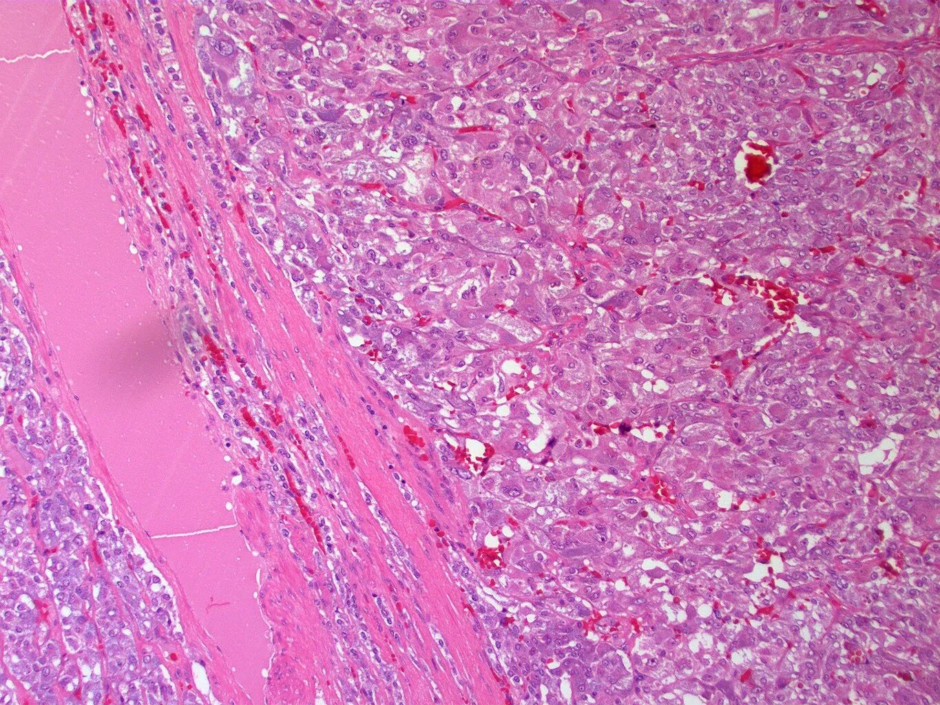
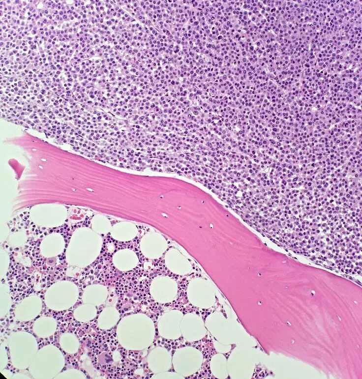
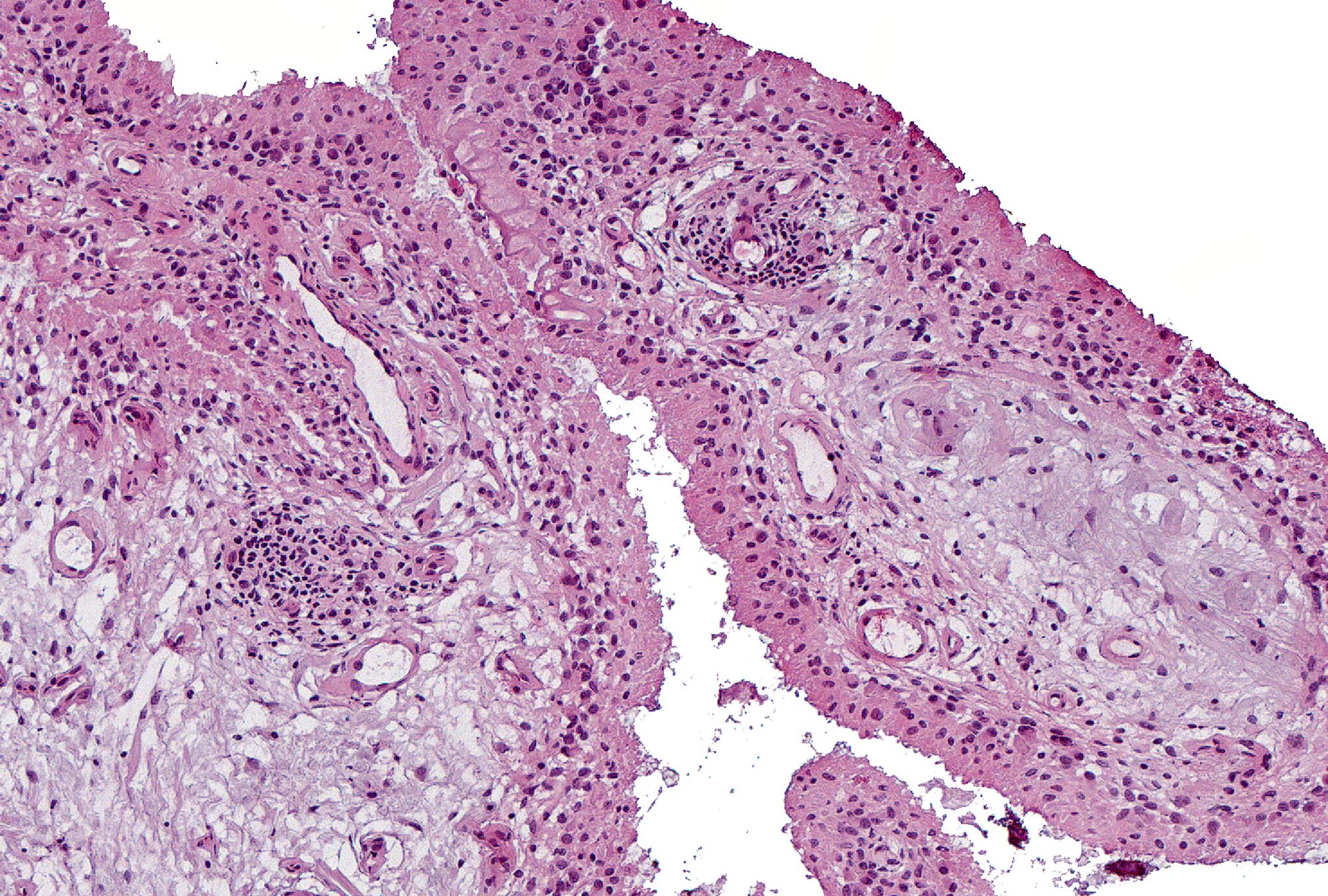
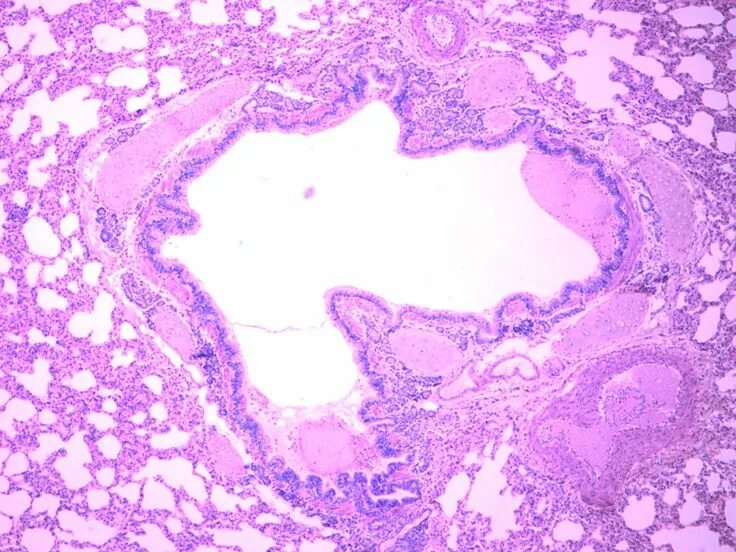
Д гистология