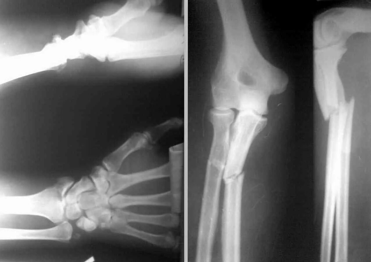
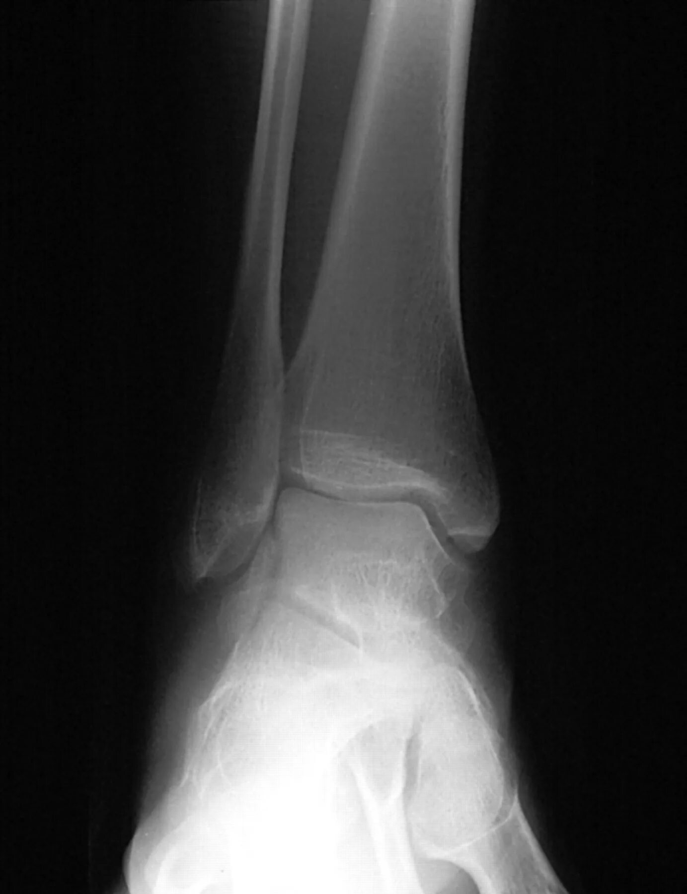
Чтоб кости быстро срослись