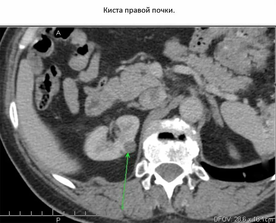
Что значит уплотнение члс почек